电话:
+86 (0512) 65829739
传真:
+86 (010) 6788 5057
电子邮件:
orders@antibodies-online.cn

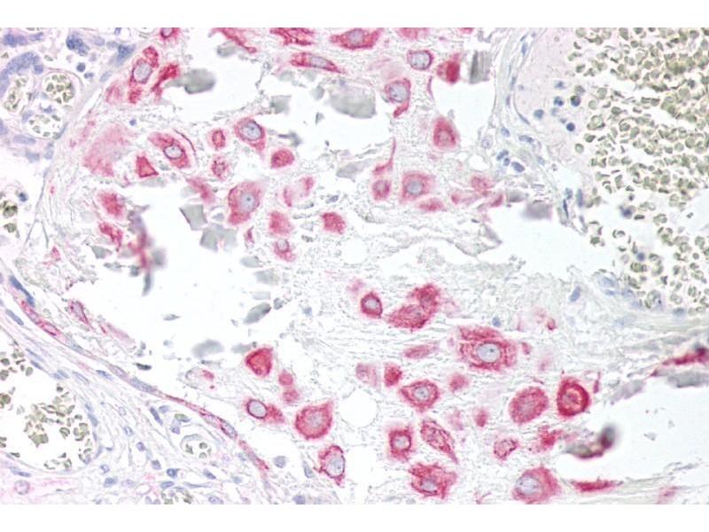
VPS45 抗体 (C-Term)

The 山羊 多克隆 anti-VPS45 antibody is suitable to detect VPS45 in samples from 人. It has been validated for ELISA, WB 和 IHC.
产品编号 ABIN185111
发货至: 中国
Contact our Customer Service for availability and price in your country. Contact Info

Our Local Distributor

中国
北京 101111
No. 88 KeChuang 6th Street
Beijing Economic Technological Development Area
Room 801-803
4A Biotech Co.,Ltd.
Tel +86 (0512) 65829739 传真 +86 (010) 6788 5057

Quick Overview for VPS45 抗体 (C-Term) (ABIN185111)

抗原

See all VPS45 抗体
VPS45 (Vacuolar Protein Sorting 45 (VPS45))

适用

  • 37
  • 25
  • 8
  • 3
  • 3
  • 3
  • 3
  • 2
  • 1
  • 1
  • 1
  • 1
  • 1
  • 1

宿主

  • 50
  • 2
山羊

克隆类型

  • 53
多克隆

标记

  • 24
  • 4
  • 3
  • 3
  • 1
  • 1
  • 1
  • 1
  • 1
  • 1
  • 1
  • 1
  • 1
  • 1
  • 1
  • 1
  • 1
  • 1
  • 1
  • 1
  • 1
  • 1
  • 1
This VPS45 antibody is un-conjugated

应用范围

  • 25
  • 16
  • 13
  • 13
  • 6
  • 3
  • 3
  • 1
  • 1
  • 1
ELISA, Western Blotting (WB), Immunohistochemistry (IHC)

质量等级

Verified
  • 抗原表位

    • 15
    • 11
    • 9
    • 6
    • 2
    • 2
    • 1
    • 1
    C-Term

    原理

    VPS45 (C Terminus)

    序列

    ESSQVTSRSA SRR

    交叉反应

    Cow, 犬, 人, 小鼠

    纯化方法

    Purified from goat serum by ammonium sulphate precipitation followed by antigen affinity chromatography using the immunizing peptide.

    免疫原

    Peptide with sequence C-ESSQVTSRSASRR, from the C Terminus of the protein sequence according to NP_009190.2.

    亚型

    IgG
  • 应用备注

    Immunohistochemistry: Paraffin embedded Human Brain (Cortex), Placenta and Small Intestine. Recommended concentration: 5 μg/mL.

    Western Blot: Approx 60 kDa band observed in Human Testis and Peripheral Blood Mononucleocyte lysates (calculated MW of 65.1 kDa according to NP_009190.2). Recommended concentration: 0.3-1 μg/mL. Primary incubation was 1 hour.

    Peptide ELISA: antibody detection limit dilution 1:32000.

    限制

    仅限研究用
  • 状态

    Liquid

    浓度

    0.5 mg/mL

    缓冲液

    Supplied at 0.5 mg/mL in Tris saline, 0.02 % sodium azide, pH 7.3 with 0.5 % bovine serum albumin.

    储存液

    Sodium azide

    注意事项

    This product contains Sodium azide: a POISONOUS AND HAZARDOUS SUBSTANCE which should be handled by trained staff only.

    注意事项

    Minimize freezing and thawing.

    储存条件

    -20 °C

    储存方法

    Aliquot and store at -20°C, with minimal freeze/thawing. A working aliquot may be refrigerated at 4°C for a few weeks and still remain viable.
  • 抗原

    VPS45 (Vacuolar Protein Sorting 45 (VPS45))

    别名

    VPS45

    背景

    VPS45, VPS45A, VPS45B, VSP45, VSP45A, H1, H1VPS45, leucocyte vacuolar protein sorting 45, vacuolar protein sorting 45A, vacuolar protein sorting 45A (yeast homolog), vacuolar protein sorting 45 homolog (S. cerevisiae), vacuolar protein sorting 45A (yeast)

    基因ID

    11311, 22365

    NCBI登录号

    NP_009190

    途径

    Transition Metal Ion Homeostasis, Synaptic Vesicle Exocytosis
You are here: