电话:
+86 (0512) 65829739
传真:
+86 (010) 6788 5057
电子邮件:
orders@antibodies-online.cn

USP6NL 抗体 (N-Term)

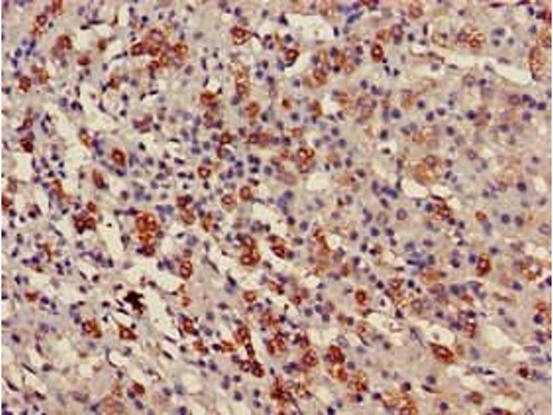
The 兔 多克隆 anti-USP6NL antibody (ABIN7175158) specifically detects USP6NL in IHC 和 ELISA. The antibody is reactive with 人 samples.
产品编号 ABIN7175158
发货至: 中国
Contact our Customer Service for availability and price in your country. Contact Info

Our Local Distributor

中国
北京 101111
No. 88 KeChuang 6th Street
Beijing Economic Technological Development Area
Room 801-803
4A Biotech Co.,Ltd.
Tel +86 (0512) 65829739 传真 +86 (010) 6788 5057

Quick Overview for USP6NL 抗体 (N-Term) (ABIN7175158)

抗原

See all USP6NL 抗体
USP6NL (USP6 N-terminal Like (USP6NL))

适用

  • 17
  • 2
  • 1

宿主

  • 17

克隆类型

  • 17
多克隆

标记

  • 7
  • 2
  • 1
  • 1
  • 1
  • 1
  • 1
  • 1
  • 1
  • 1
This USP6NL antibody is un-conjugated

应用范围

  • 6
  • 5
  • 5
  • 1
  • 1
  • 1
Immunohistochemistry (IHC), ELISA
  • 抗原表位

    • 5
    • 4
    • 1
    • 1
    • 1
    • 1
    • 1
    AA 387-693, N-Term

    原理

    USP6NL Antibody

    纯化方法

    Protein G purified

    纯度

    >95 %

    免疫原

    Recombinant Human USP6 N-terminal-like protein (387-693AA)

    亚型

    IgG
  • 应用备注

    Optimal working dilution should be determined by the investigator.

    限制

    仅限研究用
  • 状态

    Liquid

    缓冲液

    Preservative: 0.03 % Proclin 300
    Constituents: 50 % Glycerol, 0.01M PBS, pH 7.4

    储存液

    ProClin

    注意事项

    This product contains ProClin: a POISONOUS AND HAZARDOUS SUBSTANCE which should be handled by trained staff only.

    储存条件

    -20 °C,-80 °C

    储存方法

    Upon receipt, store at -20°C or -80°C. Avoid repeated freeze.
  • 抗原

    USP6NL (USP6 N-terminal Like (USP6NL))

    别名

    USP6NL

    背景

    Background: Acts as a GTPase-activating protein for RAB5A and RAB43. Involved in receptor trafficking. In complex with EPS8 inhibits internalization of EGFR. Involved in retrograde transport from the endocytic pathway to the Golgi apparatus. Involved in the transport of Shiga toxin from early and recycling endosomes to the trans-Golgi network. Required for structural integrity of the Golgi complex.

    Aliases: KIAA0019 antibody, Related to the N terminus of tre antibody, Related to the N-terminus of tre antibody, RN tre antibody, RN-tre antibody, RNTRE antibody, TRE2NL antibody, US6NL_HUMAN antibody, USP6 N terminal like antibody, USP6 N terminal like protein antibody, USP6 N-terminal-like protein antibody, USP6NL antibody

    UniProt

    Q92738
You are here: