电话:
+86 (0512) 65829739
传真:
+86 (010) 6788 5057
电子邮件:
orders@antibodies-online.cn

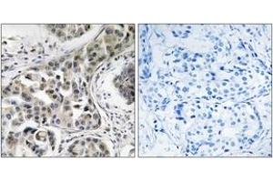
USP6NL 抗体 (AA 451-500)

The 兔 多克隆 anti-USP6NL antibody is suitable to detect USP6NL in samples from 人. It has been validated for IHC 和 ELISA.
产品编号 ABIN1535452
发货至: 中国
Contact our Customer Service for availability and price in your country. Contact Info

Our Local Distributor

中国
北京 101111
No. 88 KeChuang 6th Street
Beijing Economic Technological Development Area
Room 801-803
4A Biotech Co.,Ltd.
Tel +86 (0512) 65829739 传真 +86 (010) 6788 5057

Quick Overview for USP6NL 抗体 (AA 451-500) (ABIN1535452)

抗原

See all USP6NL 抗体
USP6NL (USP6 N-terminal Like (USP6NL))

适用

  • 17
  • 2
  • 1

宿主

  • 17

克隆类型

  • 17
多克隆

标记

  • 7
  • 2
  • 1
  • 1
  • 1
  • 1
  • 1
  • 1
  • 1
  • 1
This USP6NL antibody is un-conjugated

应用范围

  • 6
  • 5
  • 5
  • 1
  • 1
  • 1
Immunohistochemistry (IHC), ELISA
  • 抗原表位

    • 6
    • 5
    • 1
    • 1
    • 1
    • 1
    AA 451-500

    特异性

    USP6NL Antibody detects endogenous levels of total USP6NL protein.

    纯化方法

    The antibody was purified from rabbit antiserum by affinity-chromatography using immunogen.

    纯度

    > 95 %

    免疫原

    The antiserum was produced against synthesized peptide derived from human USP6NL.

    亚型

    IgG
  • 应用备注

    IHC: 1:50~1:100 ELISA: 1:10000

    说明

    Unigene-Number: Hs.498661 (NCBI Gene Symbol: USP6NL)

    限制

    仅限研究用
  • 状态

    Liquid

    浓度

    1 mg/mL

    缓冲液

    phosphate buffered saline (without Mg2+ and Ca2+), pH 7.4, 150 mM NaCl, 0.02 % sodium azide and 50 % glycerol.

    储存液

    Sodium azide

    注意事项

    This product contains sodium azide: a POISONOUS AND HAZARDOUS SUBSTANCE which should be handled by trained staff only.

    储存条件

    -20 °C

    储存方法

    Stable at -20°C for at least 1 year.

    有效期

    12 months
  • 抗原

    USP6NL (USP6 N-terminal Like (USP6NL))

    别名

    USP6NL

    背景

    Synonyms: USP6 N-terminal-like protein, Related to the N-terminus of tre, RN-tre, USP6NL, KIAA0019,

    NCBI Gene Symbol: USP6NL

    分子量

    94 kDa

    基因ID

    9712

    OMIM

    605405

    UniProt

    Q92738
You are here: