电话:
+86 (0512) 65829739
传真:
+86 (010) 6788 5057
电子邮件:
orders@antibodies-online.cn

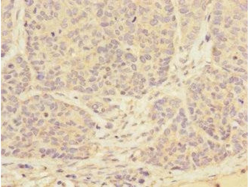
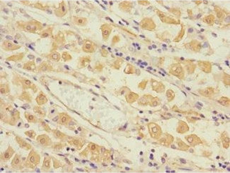
Tropomyosin 4 抗体 (AA 1-248)

The 兔 多克隆 anti-Tropomyosin 4 antibody (ABIN7173562) specifically detects Tropomyosin 4 in ELISA 和 IHC. The antibody is reactive with 人 samples.
产品编号 ABIN7173562
发货至: 中国
Contact our Customer Service for availability and price in your country. Contact Info

Our Local Distributor

中国
北京 101111
No. 88 KeChuang 6th Street
Beijing Economic Technological Development Area
Room 801-803
4A Biotech Co.,Ltd.
Tel +86 (0512) 65829739 传真 +86 (010) 6788 5057

Quick Overview for Tropomyosin 4 抗体 (AA 1-248) (ABIN7173562)

抗原

See all Tropomyosin 4 (TPM4) 抗体
Tropomyosin 4 (TPM4)

适用

  • 25
  • 4
  • 2
  • 1

宿主

  • 23
  • 1
  • 1

克隆类型

  • 24
  • 1
多克隆

标记

  • 13
  • 2
  • 1
  • 1
  • 1
  • 1
  • 1
  • 1
  • 1
  • 1
  • 1
  • 1
This Tropomyosin 4 antibody is un-conjugated

应用范围

  • 16
  • 11
  • 9
  • 4
  • 3
  • 1
  • 1
  • 1
  • 1
ELISA, Immunohistochemistry (IHC)
  • 抗原表位

    • 7
    • 6
    • 2
    • 2
    • 1
    AA 1-248

    原理

    TPM4 Antibody

    纯化方法

    Antigen Affinity Purified

    免疫原

    Recombinant Human Tropomyosin alpha-4 chain protein (1-248AA)

    亚型

    IgG
  • 应用备注

    Optimal working dilution should be determined by the investigator.

    限制

    仅限研究用
  • 状态

    Liquid

    缓冲液

    PBS with 0.02 % sodium azide, 50 % glycerol, pH 7.3.

    储存液

    Sodium azide

    注意事项

    This product contains Sodium azide: a POISONOUS AND HAZARDOUS SUBSTANCE which should be handled by trained staff only.

    储存条件

    -20 °C,-80 °C

    储存方法

    Upon receipt, store at -20°C or -80°C. Avoid repeated freeze.
  • 抗原

    Tropomyosin 4 (TPM4)

    别名

    TPM4

    背景

    Background: Binds to actin filaments in muscle and non-muscle cells. Plays a central role, in association with the troponin complex, in the calcium dependent regulation of vertebrate striated muscle contraction. Smooth muscle contraction is regulated by interaction with caldesmon. In non-muscle cells is implicated in stabilizing cytoskeleton actin filaments. Binds calcium.

    Aliases: epididymis secretory protein Li 108 antibody, HEL-S-108 antibody, TM30p1 antibody, TMP 4 antibody, TPM4 antibody, TPM4_HUMAN antibody, Tropomyosin 4 antibody, Tropomyosin alpha 4 chain antibody, Tropomyosin alpha-4 chain antibody, Tropomyosin-4 antibody, wu:fb06e07 antibody, zgc:103436 antibody, zgc:63909 antibody

    UniProt

    P67936
You are here: