电话:
+86 (0512) 65829739
传真:
+86 (010) 6788 5057
电子邮件:
orders@antibodies-online.cn

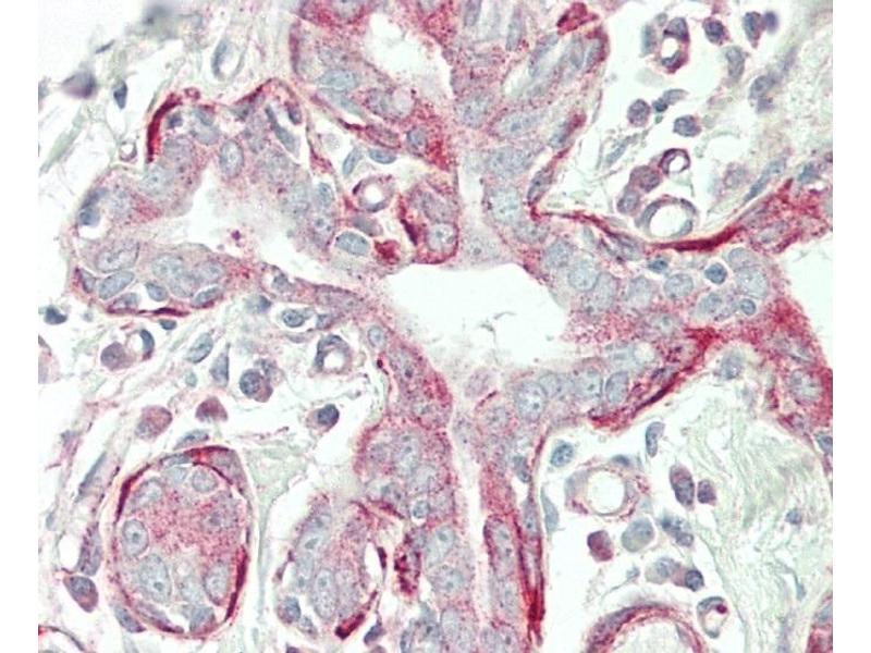
Tropomyosin 4 抗体 (N-Term)

The 兔 多克隆 anti-Tropomyosin 4 antibody is suitable to detect Tropomyosin 4 in samples from 人. It has been validated for WB, FACS 和 IHC (p).
产品编号 ABIN656684
发货至: 中国
Contact our Customer Service for availability and price in your country. Contact Info

Our Local Distributor

中国
北京 101111
No. 88 KeChuang 6th Street
Beijing Economic Technological Development Area
Room 801-803
4A Biotech Co.,Ltd.
Tel +86 (0512) 65829739 传真 +86 (010) 6788 5057

Quick Overview for Tropomyosin 4 抗体 (N-Term) (ABIN656684)

抗原

See all Tropomyosin 4 (TPM4) 抗体
Tropomyosin 4 (TPM4)

适用

  • 25
  • 4
  • 2
  • 1

宿主

  • 23
  • 1
  • 1

克隆类型

  • 24
  • 1
多克隆

标记

  • 13
  • 2
  • 1
  • 1
  • 1
  • 1
  • 1
  • 1
  • 1
  • 1
  • 1
  • 1
This Tropomyosin 4 antibody is un-conjugated

应用范围

  • 15
  • 12
  • 8
  • 5
  • 2
  • 1
  • 1
  • 1
  • 1
Western Blotting (WB), Flow Cytometry (FACS), Immunohistochemistry (Paraffin-embedded Sections) (IHC (p))

克隆位点

RB32711
  • 抗原表位

    • 6
    • 5
    • 2
    • 2
    • 2
    AA 26-54, N-Term

    预测反应

    Hs, Pig

    纯化方法

    This antibody is purified through a protein A column, followed by peptide affinity purification.

    免疫原

    This TPM4 antibody is generated from rabbits immunized with a KLH conjugated synthetic peptide between 26-54 amino acids from the N-terminal region of human TPM4.

    亚型

    Ig Fraction
  • 应用备注

    WB: 1:1000. IHC-P: 1:100. IHC-P: 1:100. FC: 1:10~50

    限制

    仅限研究用
  • 状态

    Liquid

    缓冲液

    Purified polyclonal antibody supplied in PBS with 0.09 % (W/V) sodium azide.

    储存液

    Sodium azide

    注意事项

    This product contains Sodium azide: a POISONOUS AND HAZARDOUS SUBSTANCE which should be handled by trained staff only.

    储存条件

    4 °C,-20 °C

    储存方法

    TPM4 Antibody (N-term) can be refrigerated at 2-8 °C for up to 6 months. For long term storage, place the at -20 °C.

    有效期

    6 months
  • 抗原

    Tropomyosin 4 (TPM4)

    别名

    TPM4

    背景

    This gene encodes a member of the tropomyosin family of actin-binding proteins involved in the contractile system of striated and smooth muscles and the cytoskeleton of non-muscle cells. Tropomyosins are dimers of coiled-coil proteins that polymerize end-to-end along the major groove in most actin filaments. They provide stability to the filaments and regulate access of other actin-binding proteins. In muscle cells, they regulate muscle contraction by controlling the binding of myosin heads to the actin filament. Multiple transcript variants encoding different isoforms have been found for this gene. [provided by RefSeq].

    分子量

    28522

    基因ID

    7171

    NCBI登录号

    NP_001138632, NP_003281

    UniProt

    P67936
You are here: