电话:
+86 (0512) 65829739
传真:
+86 (010) 6788 5057
电子邮件:
orders@antibodies-online.cn

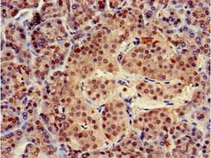
TRIM5 抗体 (AA 1-493)

This 兔 多克隆 antibody specifically detects TRIM5 in WB, ELISA 和 IHC. It exhibits reactivity toward 人.
产品编号 ABIN7173455
发货至: 中国
Contact our Customer Service for availability and price in your country. Contact Info

Our Local Distributor

中国
北京 101111
No. 88 KeChuang 6th Street
Beijing Economic Technological Development Area
Room 801-803
4A Biotech Co.,Ltd.
Tel +86 (0512) 65829739 传真 +86 (010) 6788 5057

Quick Overview for TRIM5 抗体 (AA 1-493) (ABIN7173455)

抗原

See all TRIM5 抗体
TRIM5 (Tripartite Motif Containing 5 (TRIM5))

适用

  • 38
  • 4
  • 2
  • 1
  • 1

宿主

  • 31
  • 6
  • 1

克隆类型

  • 32
  • 6
多克隆

标记

  • 29
  • 3
  • 2
  • 2
  • 1
  • 1
This TRIM5 antibody is un-conjugated

应用范围

  • 32
  • 19
  • 8
  • 7
  • 4
  • 4
  • 2
  • 1
  • 1
Western Blotting (WB), ELISA, Immunohistochemistry (IHC)
  • 抗原表位

    • 7
    • 7
    • 5
    • 4
    • 2
    • 2
    • 1
    • 1
    • 1
    • 1
    • 1
    • 1
    • 1
    • 1
    • 1
    • 1
    AA 1-493

    原理

    TRIM5 Antibody

    交叉反应

    小鼠

    纯化方法

    Protein G purified

    纯度

    >95 %

    免疫原

    Recombinant Human Tripartite motif-containing protein 5 protein (1-493AA)

    亚型

    IgG
  • 应用备注

    Optimal working dilution should be determined by the investigator.

    限制

    仅限研究用
  • 状态

    Liquid

    缓冲液

    Preservative: 0.03 % Proclin 300
    Constituents: 50 % Glycerol, 0.01M PBS, pH 7.4

    储存液

    ProClin

    注意事项

    This product contains ProClin: a POISONOUS AND HAZARDOUS SUBSTANCE which should be handled by trained staff only.

    储存条件

    -20 °C,-80 °C

    储存方法

    Upon receipt, store at -20°C or -80°C. Avoid repeated freeze.
  • 抗原

    TRIM5 (Tripartite Motif Containing 5 (TRIM5))

    别名

    TRIM5

    背景

    Background: Capsid-specific restriction factor that prevents infection from non-host-adapted retroviruses. Blocks viral replication early in the life cycle, after viral entry but before reverse transcription. In addition to acting as a capsid-specific restriction factor, also acts as a pattern recognition receptor that activates innate immune signaling in response to the retroviral capsid lattice. Binding to the viral capsid triggers its E3 ubiquitin ligase activity, and in concert with the heterodimeric ubiquitin conjugating enzyme complex UBE2V1-UBE2N (also known as UBC13-UEV1A complex) generates \\\'Lys-63\\\'-linked polyubiquitin chains, which in turn are catalysts in the autophosphorylation of the MAP3K7/TAK1 complex (includes TAK1, TAB2, and TAB3). Activation of the MAP3K7/TAK1 complex by autophosphorylation results in the induction and expression of NF-kappa-B and MAPK-responsive inflammatory genes, thereby leading to an innate immune response in the infected cell. Restricts infection by N-tropic murine leukemia virus (N-MLV), equine infectious anemia virus (EIAV), simian immunodeficiency virus of macaques (SIVmac), feline immunodeficiency virus (FIV), and bovine immunodeficiency virus (BIV) (PubMed:17156811). Plays a role in regulating autophagy through activation of autophagy regulator BECN1 by causing its dissociation from its inhibitors BCL2 and TAB2 (PubMed:25127057). Also plays a role in autophagy by acting as a selective autophagy receptor which recognizes and targets HIV-1 capsid protein p24 for autophagic destruction (PubMed:25127057).

    Aliases: RING finger protein 88 antibody, RNF88 antibody, TRIM5 antibody, TRIM5_HUMAN antibody, TRIM5alpha antibody, Tripartite motif containing 5 antibody, tripartite motif protein TRIM5 antibody, Tripartite motif-containing protein 5 antibody

    UniProt

    Q9C035

    途径

    Activation of Innate immune Response
You are here: