电话:
+86 (0512) 65829739
传真:
+86 (010) 6788 5057
电子邮件:
orders@antibodies-online.cn

TRIM5 抗体 (N-Term)

The 山羊 多克隆 anti-TRIM5 antibody (ABIN184983) specifically detects TRIM5 in WB, ELISA 和 IHC. The antibody is reactive with 人 samples.
产品编号 ABIN184983
发货至: 中国
Contact our Customer Service for availability and price in your country. Contact Info

Our Local Distributor

中国
北京 101111
No. 88 KeChuang 6th Street
Beijing Economic Technological Development Area
Room 801-803
4A Biotech Co.,Ltd.
Tel +86 (0512) 65829739 传真 +86 (010) 6788 5057

Quick Overview for TRIM5 抗体 (N-Term) (ABIN184983)

抗原

See all TRIM5 抗体
TRIM5 (Tripartite Motif Containing 5 (TRIM5))

适用

  • 38
  • 4
  • 2
  • 1
  • 1

宿主

  • 32
  • 6
山羊

克隆类型

  • 32
  • 6
多克隆

标记

  • 29
  • 3
  • 2
  • 2
  • 1
  • 1
This TRIM5 antibody is un-conjugated

应用范围

  • 32
  • 19
  • 8
  • 7
  • 4
  • 4
  • 2
  • 1
  • 1
Western Blotting (WB), ELISA, Immunohistochemistry (IHC)

质量等级

Verified
  • 抗原表位

    • 7
    • 7
    • 6
    • 3
    • 2
    • 2
    • 1
    • 1
    • 1
    • 1
    • 1
    • 1
    • 1
    • 1
    • 1
    • 1
    N-Term

    原理

    TRIM5 / RNF88

    序列

    ASGILVNVKE EVTC

    特异性

    This antibody is expected to recognise all three human isoforms of this protein.

    交叉反应

    纯化方法

    Purified from goat serum by ammonium sulphate precipitation followed by antigen affinity chromatography using the immunizing peptide.

    免疫原

    Peptide with sequence ASGILVNVKEEVTC, from the N Terminus of the protein sequence according to NP_149023.1, NP_149083.1, NP_149084.1.

    亚型

    IgG
  • 应用备注

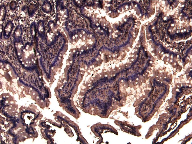
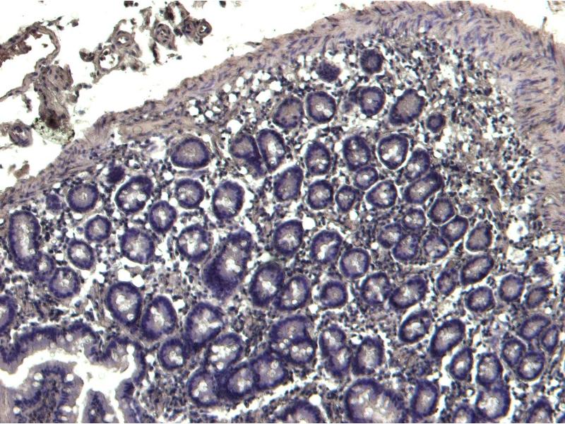
    Immunohistochemistry: Paraffin embedded Human Colon. Recommended concentration: 3 μg/mL.

    Western Blot: Approx 55 and 37 kDa bands observed in Human Thymus lysates (calculated MW of 56.3 kDa according to NP_149023.1 and of 37.7 kDa according to NP_149084.1). Recommended concentration: 1-3 μg/mL. Primary incubation was 1 hour.

    Peptide ELISA: antibody detection limit dilution 1:16000.

    限制

    仅限研究用
  • 状态

    Liquid

    浓度

    0.5 mg/mL

    缓冲液

    Supplied at 0.5 mg/mL in Tris saline, 0.02 % sodium azide, pH 7.3 with 0.5 % bovine serum albumin.

    储存液

    Sodium azide

    注意事项

    This product contains Sodium azide: a POISONOUS AND HAZARDOUS SUBSTANCE which should be handled by trained staff only.

    注意事项

    Minimize freezing and thawing.

    储存条件

    -20 °C

    储存方法

    Aliquot and store at -20°C, with minimal freeze/thawing. A working aliquot may be refrigerated at 4°C for a few weeks and still remain viable.
  • 抗原

    TRIM5 (Tripartite Motif Containing 5 (TRIM5))

    别名

    TRIM5

    背景

    TRIM5, RNF88, tripartite motif-containing 5, TRIM5alpha, tripartite motif protein 5, tripartite motif protein TRIM5, OTTHUMP00000069812, tripartite motif protein TRIM, tripartite motif-containing protein 5 alpha

    基因ID

    85363

    NCBI登录号

    NP_149023, NP_149083, NP_149084

    途径

    Activation of Innate immune Response
You are here: