电话:
+86 (0512) 65829739
传真:
+86 (010) 6788 5057
电子邮件:
orders@antibodies-online.cn

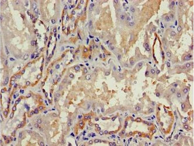
TGFB3 抗体 (AA 301-412)

This 兔 多克隆 antibody specifically detects TGFB3 in IHC 和 ELISA. It exhibits reactivity toward 人.
产品编号 ABIN7172834
发货至: 中国
Contact our Customer Service for availability and price in your country. Contact Info

Our Local Distributor

中国
北京 101111
No. 88 KeChuang 6th Street
Beijing Economic Technological Development Area
Room 801-803
4A Biotech Co.,Ltd.
Tel +86 (0512) 65829739 传真 +86 (010) 6788 5057

Quick Overview for TGFB3 抗体 (AA 301-412) (ABIN7172834)

抗原

See all TGFB3 抗体
TGFB3 (Transforming Growth Factor, beta 3 (TGFB3))

适用

  • 49
  • 21
  • 21
  • 6
  • 6
  • 6
  • 5
  • 5
  • 5
  • 4
  • 4
  • 2
  • 2
  • 1
  • 1
  • 1

宿主

  • 42
  • 14

克隆类型

  • 42
  • 14
多克隆

标记

  • 34
  • 5
  • 5
  • 3
  • 1
  • 1
  • 1
  • 1
  • 1
  • 1
  • 1
  • 1
  • 1
This TGFB3 antibody is un-conjugated

应用范围

  • 36
  • 25
  • 13
  • 13
  • 12
  • 6
  • 3
  • 1
Immunohistochemistry (IHC), ELISA
  • 抗原表位

    • 9
    • 5
    • 3
    • 3
    • 2
    • 1
    • 1
    • 1
    • 1
    • 1
    • 1
    • 1
    • 1
    • 1
    • 1
    AA 301-412

    原理

    TGFB3 Antibody

    纯化方法

    Protein G purified

    纯度

    >95 %

    免疫原

    Recombinant Human Transforming growth factor beta-3 proprotein protein (301-412AA)

    亚型

    IgG
  • 应用备注

    Optimal working dilution should be determined by the investigator.

    限制

    仅限研究用
  • 状态

    Liquid

    缓冲液

    Preservative: 0.03 % Proclin 300
    Constituents: 50 % Glycerol, 0.01M PBS, PH 7.4

    储存液

    ProClin

    注意事项

    This product contains ProClin: a POISONOUS AND HAZARDOUS SUBSTANCE which should be handled by trained staff only.

    储存条件

    -20 °C,-80 °C

    储存方法

    Upon receipt, store at -20°C or -80°C. Avoid repeated freeze.
  • 抗原

    TGFB3 (Transforming Growth Factor, beta 3 (TGFB3))

    别名

    TGFB3

    背景

    Background: Transforming growth factor beta-3 proprotein: Precursor of the Latency-associated peptide (LAP) and Transforming growth factor beta-3 (TGF-beta-3) chains, which constitute the regulatory and active subunit of TGF-beta-3, respectively.Latency-associated peptide: Required to maintain the Transforming growth factor beta-3 (TGF-beta-3) chain in a latent state during storage in extracellular matrix (By similarity). Associates non-covalently with TGF-beta-3 and regulates its activation via interaction with \\\'milieu molecules\\\', such as LTBP1 and LRRC32/GARP, that control activation of TGF-beta-3 (By similarity). Interaction with integrins results in distortion of the Latency-associated peptide chain and subsequent release of the active TGF-beta-3.Transforming growth factor beta-3: Multifunctional protein that regulates embryogenesis and cell differentiation and is required in various processes such as secondary palate development (By similarity). Activation into mature form follows different steps: following cleavage of the proprotein in the Golgi apparatus, Latency-associated peptide (LAP) and Transforming growth factor beta-3 (TGF-beta-3) chains remain non-covalently linked rendering TGF-beta-3 inactive during storage in extracellular matrix (By similarity). At the same time, LAP chain interacts with \\\'milieu molecules\\\', such as LTBP1 and LRRC32/GARP that control activation of TGF-beta-3 and maintain it in a latent state during storage in extracellular milieus (By similarity). TGF-beta-3 is released from LAP by integrins: integrin-binding results in distortion of the LAP chain and subsequent release of the active TGF-beta-3 (By similarity). Once activated following release of LAP, TGF-beta-3 acts by binding to TGF-beta receptors (TGFBR1 and TGFBR2), which transduce signal (By similarity).

    Aliases: ARVD antibody, ARVD1 antibody, FLJ16571 antibody, LDS5 antibody, MGC105479 antibody, MGC118722 antibody, prepro-transforming growth factor beta-3 antibody, RNHF antibody, TGF beta 3 antibody, TGF beta3 antibody, TGF-beta-3 antibody, TGFB 3 antibody, Tgfb3 antibody, TGFB3_HUMAN antibody, transforming growth factor beta 3 antibody, Transforming growth factor beta-3 antibody

    UniProt

    P10600

    途径

    Cell-Cell Junction Organization, Production of Molecular Mediator of Immune Response, Protein targeting to Nucleus
You are here: