TGFB3 抗体 (C-Term)
Our Local Distributor
北京 101111
Quick Overview for TGFB3 抗体 (C-Term) (ABIN490085)
抗原
See all TGFB3 抗体适用
宿主
克隆类型
标记
应用范围
-
-
抗原表位
- C-Term
-
特异性
- Recognizes human Transforming Growth Factor beta3 at ~47kD.
-
纯化方法
- Immunoaffinity purified
-
免疫原
-
A synthetic peptide derived from the C-terminus of the precursor form of human TGF beta 3.
Type of Immunogen: Synthetic peptide -
亚型
- IgG
-
-
-
-
应用备注
-
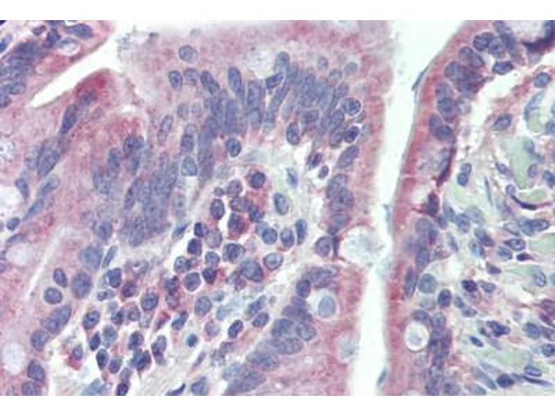
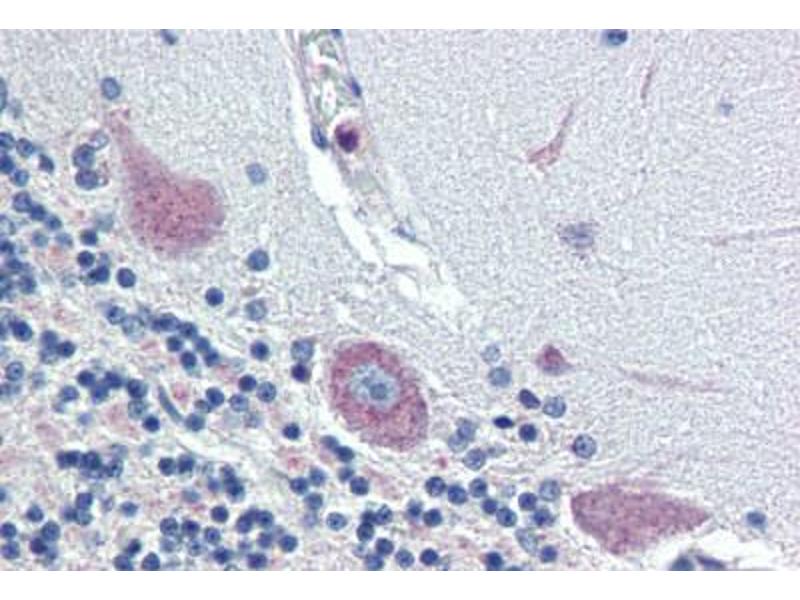
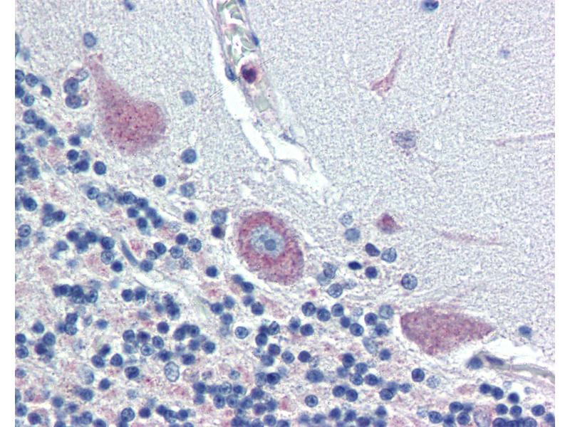
Approved: IHC, IHC-P (5 μg/mL), IP, WB
Usage: Immunohistochemistry: This antibody was validated for use in immunohistochemistry on a panel of 21 formalin-fixed, paraffin-embedded (FFPE) human tissues after heat induced antigen retrieval in pH 6.0 citrate buffer. After incubation with the primary antibody, slides were incubated with biotinylated secondary antibody, followed by alkaline phosphatase-streptavidin and chromogen. The stained slides were evaluated by a pathologist to confirm staining specificity. The optimal working concentration for this antibody was determined to be 5 μg/mL. -
说明
-
Target Species of Antibody: Human
-
限制
- 仅限研究用
-
-
-
状态
- Liquid
-
浓度
- Lot specific
-
缓冲液
- 10 mM PBS, pH 7.4, BSA, 0.05 % sodium azide.
-
储存液
- Sodium azide
-
注意事项
- This product contains Sodium azide: a POISONOUS AND HAZARDOUS SUBSTANCE which should be handled by trained staff only.
-
注意事项
- avoid freeze thaw cycles.
-
储存条件
- 4 °C,-20 °C
-
储存方法
- Short term 4°C, long term aliquot and store at -20°C, avoid freeze-thaw cycles.
-
-
- TGFB3 (Transforming Growth Factor, beta 3 (TGFB3))
-
别名
- TGFB3
-
背景
-
Name/Gene ID: TGFB3
Family: TGF beta
Synonyms: TGFB3, ARVD, TGF Beta 3, TGF-beta-3, TGF-beta3 -
基因ID
- 7043
-
UniProt
- P10600
-
途径
- Cell-Cell Junction Organization, Production of Molecular Mediator of Immune Response, Protein targeting to Nucleus
抗原
-