电话:
+86 (0512) 65829739
传真:
+86 (010) 6788 5057
电子邮件:
orders@antibodies-online.cn

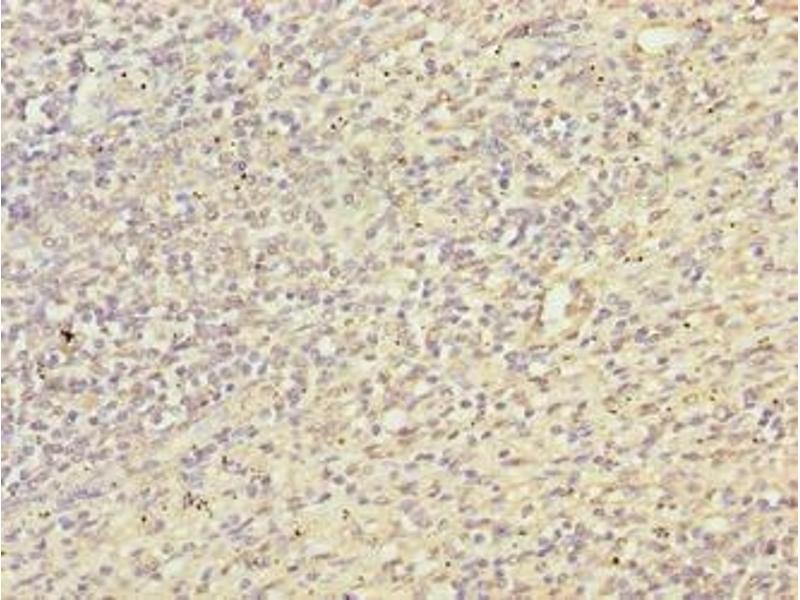
TXNRD1 抗体 (AA 1-497)

This 兔 多克隆 antibody specifically detects TXNRD1 in WB, IHC 和 ELISA. It exhibits reactivity toward 人.
产品编号 ABIN7172018
发货至: 中国
Contact our Customer Service for availability and price in your country. Contact Info

Our Local Distributor

中国
北京 101111
No. 88 KeChuang 6th Street
Beijing Economic Technological Development Area
Room 801-803
4A Biotech Co.,Ltd.
Tel +86 (0512) 65829739 传真 +86 (010) 6788 5057

Quick Overview for TXNRD1 抗体 (AA 1-497) (ABIN7172018)

抗原

See all TXNRD1 抗体
TXNRD1 (Thioredoxin Reductase 1 (TXNRD1))

适用

  • 56
  • 39
  • 37

宿主

  • 53
  • 5
  • 1

克隆类型

  • 36
  • 23
多克隆

标记

  • 24
  • 5
  • 3
  • 2
  • 2
  • 2
  • 2
  • 2
  • 2
  • 2
  • 1
  • 1
  • 1
  • 1
  • 1
  • 1
  • 1
  • 1
  • 1
  • 1
  • 1
  • 1
  • 1
This TXNRD1 antibody is un-conjugated

应用范围

  • 48
  • 19
  • 15
  • 15
  • 15
  • 14
  • 13
  • 13
  • 12
  • 4
  • 3
  • 2
  • 1
Western Blotting (WB), Immunohistochemistry (IHC), ELISA
  • 抗原表位

    • 15
    • 8
    • 2
    • 1
    • 1
    • 1
    • 1
    • 1
    • 1
    • 1
    AA 1-497

    原理

    TXNRD1 Antibody

    纯化方法

    Protein G purified

    纯度

    >95 %

    免疫原

    Recombinant Human Thioredoxin reductase 1, cytoplasmic protein (1-497AA)

    亚型

    IgG
  • 应用备注

    Optimal working dilution should be determined by the investigator.

    限制

    仅限研究用
  • 状态

    Liquid

    缓冲液

    Preservative: 0.03 % Proclin 300
    Constituents: 50 % Glycerol, 0.01M PBS, PH 7.4

    储存液

    ProClin

    注意事项

    This product contains ProClin: a POISONOUS AND HAZARDOUS SUBSTANCE which should be handled by trained staff only.

    储存条件

    -20 °C,-80 °C

    储存方法

    Upon receipt, store at -20°C or -80°C. Avoid repeated freeze.
  • 抗原

    TXNRD1 (Thioredoxin Reductase 1 (TXNRD1))

    别名

    TXNRD1

    背景

    Background: Isoform 1 may possess glutaredoxin activity as well as thioredoxin reductase activity and induces actin and tubulin polymerization, leading to formation of cell membrane protrusions. Isoform 4 enhances the transcriptional activity of estrogen receptors alpha and beta while isoform 5 enhances the transcriptional activity of the beta receptor only. Isoform 5 also mediates cell death induced by a combination of interferon-beta and retinoic acid.

    Aliases: cytoplasmic antibody, Gene associated with retinoic and IFN-induced mortality 12 protein antibody, Gene associated with retinoic and interferon-induced mortality 12 protein antibody, Gene associated with retinoid IFN induced mortality 12 protein antibody, GRIM 12 antibody, GRIM-12 antibody, GRIM12 antibody, KDRF antibody, KM 102 derived reductase like factor antibody, KM-102-derived reductase-like factor antibody, MGC9145 antibody, Oxidoreductase antibody, Thioredoxin reductase 1 antibody, Thioredoxin reductase 1 cytoplasmic antibody, Thioredoxin reductase GRIM 12 antibody, Thioredoxin reductase TR1 antibody, TR 1 antibody, TR antibody, TR1 antibody, TRXR 1 antibody, TRXR1 antibody, TRXR1_HUMAN antibody, TXNR antibody, TXNRD 1 antibody, Txnrd1 antibody

    UniProt

    Q16881

    途径

    Regulation of Lipid Metabolism by PPARalpha, Regulation of Carbohydrate Metabolic Process, Cell RedoxHomeostasis
You are here: