电话:
+86 (0512) 65829739
传真:
+86 (010) 6788 5057
电子邮件:
orders@antibodies-online.cn

TXNRD1 抗体 (AA 451-550)

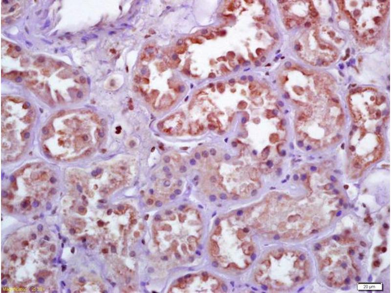
Cited in 1 publication. The 兔 多克隆 anti-TXNRD1 antibody (ABIN1386102) specifically detects TXNRD1 in WB, ELISA, IF (cc), IF (p), IHC (p) 和 IHC (fro). The antibody is reactive with 人, 小鼠 和 大鼠 samples.
产品编号 ABIN1386102
发货至: 中国
Contact our Customer Service for availability and price in your country. Contact Info

Our Local Distributor

中国
北京 101111
No. 88 KeChuang 6th Street
Beijing Economic Technological Development Area
Room 801-803
4A Biotech Co.,Ltd.
Tel +86 (0512) 65829739 传真 +86 (010) 6788 5057

Quick Overview for TXNRD1 抗体 (AA 451-550) (ABIN1386102)

抗原

See all TXNRD1 抗体
TXNRD1 (Thioredoxin Reductase 1 (TXNRD1))

适用

人, 小鼠, 大鼠

宿主

  • 53
  • 5
  • 1

克隆类型

  • 36
  • 23
多克隆

标记

  • 24
  • 5
  • 3
  • 2
  • 2
  • 2
  • 2
  • 2
  • 2
  • 2
  • 1
  • 1
  • 1
  • 1
  • 1
  • 1
  • 1
  • 1
  • 1
  • 1
  • 1
  • 1
  • 1
This TXNRD1 antibody is un-conjugated

应用范围

  • 48
  • 20
  • 15
  • 15
  • 15
  • 14
  • 12
  • 12
  • 12
  • 3
  • 2
  • 2
  • 1
Western Blotting (WB), ELISA, Immunofluorescence (Cultured Cells) (IF (cc)), Immunofluorescence (Paraffin-embedded Sections) (IF (p)), Immunohistochemistry (Paraffin-embedded Sections) (IHC (p)), Immunohistochemistry (Frozen Sections) (IHC (fro))
  • 抗原表位

    • 14
    • 9
    • 2
    • 1
    • 1
    • 1
    • 1
    • 1
    • 1
    • 1
    AA 451-550

    交叉反应

    人, 小鼠, 大鼠

    预测反应

    Dog,Cow,Pig,Horse

    纯化方法

    Purified by Protein A.

    免疫原

    KLH conjugated synthetic peptide derived from human TXNRD1

    亚型

    IgG
  • 应用备注

    WB 1:300-5000
    ELISA 1:500-1000
    IHC-P 1:200-400
    IHC-F 1:100-500
    IF(IHC-P) 1:50-200
    IF(IHC-F) 1:50-200
    IF(ICC) 1:50-200

    限制

    仅限研究用
  • 状态

    Liquid

    浓度

    1 μg/μL

    缓冲液

    0.01M TBS( pH 7.4) with 1 % BSA, 0.02 % Proclin300 and 50 % Glycerol.

    储存液

    ProClin

    注意事项

    This product contains ProClin: a POISONOUS AND HAZARDOUS SUBSTANCE, which should be handled by trained staff only.

    储存条件

    4 °C,-20 °C

    储存方法

    Shipped at 4°C. Store at -20°C for one year. Avoid repeated freeze/thaw cycles.

    有效期

    12 months
  • Kaya, Çiçek, Erdi, Findik, Karatas, Esen, Keskin, Kalkan: "Intratumoral hemorrhage-related differences in the expression of vascular endothelial growth factor, basic fibroblast growth factor and thioredoxin reductase 1 in human glioblastoma." in: Molecular and clinical oncology, Vol. 5, Issue 4, pp. 343-346, (2016) (PubMed).

  • 抗原

    TXNRD1 (Thioredoxin Reductase 1 (TXNRD1))

    别名

    Txnrd1

    背景

    Synonyms: TR, TR1, TXNR, TRXR1, GRIM-12, Thioredoxin reductase 1, cytoplasmic, Gene associated with retinoic and interferon-induced mortality 12 protein, Gene associated with retinoic and IFN-induced mortality 12 protein, KM-12-derived reductase-like factor, Thioredoxin reductase TR1, TXNRD1, GRIM12, KDRF

    Background: Isoform 1 may possess glutaredoxin activity as well as thioredoxin reductase activity and induces actin and tubulin polymerization, leading to formation of cell membrane protrusions. Isoform 4 enhances the transcriptional activity of estrogen receptors alpha and beta while isoform 5 enhances the transcriptional activity of the beta receptor only. Isoform 5 also mediates cell death induced by a combination of interferon-beta and retinoic acid.

    基因ID

    7296

    UniProt

    Q16881

    途径

    Regulation of Lipid Metabolism by PPARalpha, Regulation of Carbohydrate Metabolic Process, Cell RedoxHomeostasis
You are here: