电话:
+86 (0512) 65829739
传真:
+86 (010) 6788 5057
电子邮件:
orders@antibodies-online.cn

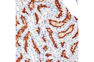
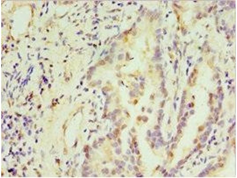
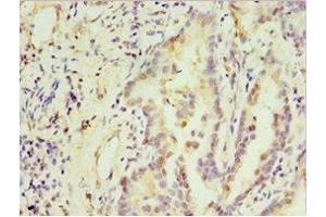
STX3 抗体 (AA 1-263)

The 兔 多克隆 anti-STX3 antibody (ABIN7171237) specifically detects STX3 in IHC 和 ELISA. The antibody is reactive with 人 samples.
产品编号 ABIN7171237
发货至: 中国
Contact our Customer Service for availability and price in your country. Contact Info

Our Local Distributor

中国
北京 101111
No. 88 KeChuang 6th Street
Beijing Economic Technological Development Area
Room 801-803
4A Biotech Co.,Ltd.
Tel +86 (0512) 65829739 传真 +86 (010) 6788 5057

Quick Overview for STX3 抗体 (AA 1-263) (ABIN7171237)

抗原

See all STX3 抗体
STX3 (Syntaxin 3 (STX3))

适用

  • 41
  • 27
  • 25

宿主

  • 42

克隆类型

  • 23
  • 19
多克隆

标记

  • 14
  • 4
  • 3
  • 3
  • 3
  • 3
  • 3
  • 3
  • 1
  • 1
  • 1
  • 1
  • 1
  • 1
This STX3 antibody is un-conjugated

应用范围

  • 21
  • 17
  • 16
  • 15
  • 14
  • 3
  • 3
  • 2
  • 2
  • 1
  • 1
Immunohistochemistry (IHC), ELISA
  • 抗原表位

    • 6
    • 1
    • 1
    • 1
    • 1
    • 1
    • 1
    • 1
    AA 1-263

    原理

    STX3 Antibody

    纯化方法

    Antigen Affinity Purified

    免疫原

    Recombinant Human Syntaxin-3 protein (1-263AA)

    亚型

    IgG
  • 应用备注

    Optimal working dilution should be determined by the investigator.

    限制

    仅限研究用
  • 状态

    Liquid

    缓冲液

    PBS with 0.02 % sodium azide, 50 % glycerol, pH 7.3.

    储存液

    Sodium azide

    注意事项

    This product contains Sodium azide: a POISONOUS AND HAZARDOUS SUBSTANCE which should be handled by trained staff only.

    储存条件

    -20 °C,-80 °C

    储存方法

    Upon receipt, store at -20°C or -80°C. Avoid repeated freeze.
  • 抗原

    STX3 (Syntaxin 3 (STX3))

    别名

    STX3

    背景

    Background: Potentially involved in docking of synaptic vesicles at presynaptic active zones.

    Aliases: FLJ30906 antibody, Stx3 antibody, STX3_HUMAN antibody, STX3A antibody, Syntaxin 3A antibody, Syntaxin-3 antibody

    UniProt

    Q13277

    途径

    Synaptic Vesicle Exocytosis
You are here: