电话:
+86 (0512) 65829739
传真:
+86 (010) 6788 5057
电子邮件:
orders@antibodies-online.cn

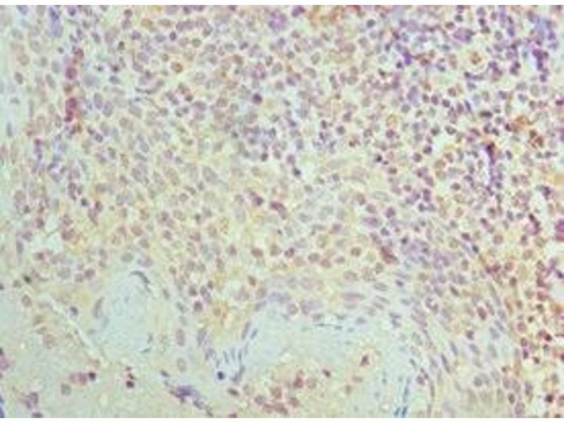
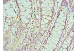
SMC1A 抗体 (AA 1-130)

This 兔 多克隆 antibody specifically detects SMC1A in IHC 和 ELISA. It exhibits reactivity toward 人.
产品编号 ABIN7170857
发货至: 中国
Contact our Customer Service for availability and price in your country. Contact Info

Our Local Distributor

中国
北京 101111
No. 88 KeChuang 6th Street
Beijing Economic Technological Development Area
Room 801-803
4A Biotech Co.,Ltd.
Tel +86 (0512) 65829739 传真 +86 (010) 6788 5057

Quick Overview for SMC1A 抗体 (AA 1-130) (ABIN7170857)

抗原

See all SMC1A 抗体
SMC1A (Structural Maintenance of Chromosomes 1A (SMC1A))

适用

  • 160
  • 67
  • 33
  • 7
  • 7
  • 6
  • 5
  • 4
  • 4
  • 3
  • 3
  • 2
  • 2
  • 1
  • 1

宿主

  • 138
  • 17
  • 4
  • 1

克隆类型

  • 98
  • 62
多克隆

标记

  • 77
  • 9
  • 6
  • 6
  • 6
  • 6
  • 6
  • 6
  • 3
  • 3
  • 3
  • 3
  • 3
  • 2
  • 2
  • 2
  • 2
  • 2
  • 2
  • 2
  • 2
  • 2
  • 2
  • 2
  • 1
This SMC1A antibody is un-conjugated

应用范围

  • 133
  • 57
  • 41
  • 38
  • 36
  • 29
  • 28
  • 24
  • 23
  • 11
  • 7
  • 4
  • 4
  • 1
  • 1
  • 1
Immunohistochemistry (IHC), ELISA
  • 抗原表位

    • 38
    • 16
    • 16
    • 14
    • 13
    • 8
    • 8
    • 3
    • 2
    • 2
    • 2
    • 2
    • 1
    • 1
    • 1
    • 1
    • 1
    • 1
    • 1
    • 1
    • 1
    • 1
    • 1
    AA 1-130

    原理

    SMC1A Antibody

    纯化方法

    Antigen Affinity Purified

    免疫原

    Recombinant Human Structural maintenance of chromosomes protein 1A protein (1-130AA)

    亚型

    IgG
  • 应用备注

    Optimal working dilution should be determined by the investigator.

    限制

    仅限研究用
  • 状态

    Liquid

    缓冲液

    PBS with 0.02 % sodium azide, 50 % glycerol, pH 7.3.

    储存液

    Sodium azide

    注意事项

    This product contains Sodium azide: a POISONOUS AND HAZARDOUS SUBSTANCE which should be handled by trained staff only.

    储存条件

    -20 °C,-80 °C

    储存方法

    Upon receipt, store at -20°C or -80°C. Avoid repeated freeze.
  • 抗原

    SMC1A (Structural Maintenance of Chromosomes 1A (SMC1A))

    别名

    SMC1A

    背景

    Background: Involved in chromosome cohesion during cell cycle and in DNA repair. Central component of cohesin complex. The cohesin complex is required for the cohesion of sister chromatids after DNA replication. The cohesin complex apparently forms a large proteinaceous ring within which sister chromatids can be trapped. At anaphase, the complex is cleaved and dissociates from chromatin, allowing sister chromatids to segregate. The cohesin complex may also play a role in spindle pole assembly during mitosis. Involved in DNA repair via its interaction with BRCA1 and its related phosphorylation by ATM, or via its phosphorylation by ATR. Works as a downstream effector both in the ATM/NBS1 branch and in the ATR/MSH2 branch of S-phase checkpoint.

    Aliases: Chromosome segregation protein SmcB antibody, DXS423E antibody, KIAA0178 antibody, MGC138332 antibody, Sb1.8 antibody, Segregation of mitotic chromosomes 1 antibody, SMC protein 1A antibody, SMC-1-alpha antibody, SMC-1A antibody, SMC1 (structural maintenance of chromosomes 1 yeast) like 1 antibody, SMC1 antibody, SMC1 structural maintenance of chromosomes 1 like 1 antibody, SMC1A antibody, SMC1A_HUMAN antibody, SMC1alpha antibody, SMC1L1 antibody, SMCB antibody, Structural maintenance of chromosomes 1A antibody, Structural maintenance of chromosomes protein 1A antibody

    UniProt

    Q14683

    途径

    Stem Cell Maintenance
You are here: