电话:
+86 (0512) 65829739
传真:
+86 (010) 6788 5057
电子邮件:
orders@antibodies-online.cn

Recombinant SMC1A 抗体

This 兔 单克隆 antibody specifically detects SMC1A in WB, IHC 和 ELISA. It exhibits reactivity toward 人.
产品编号 ABIN7127813
发货至: 中国
Contact our Customer Service for availability and price in your country. Contact Info

Our Local Distributor

中国
北京 101111
No. 88 KeChuang 6th Street
Beijing Economic Technological Development Area
Room 801-803
4A Biotech Co.,Ltd.
Tel +86 (0512) 65829739 传真 +86 (010) 6788 5057

Quick Overview for Recombinant SMC1A 抗体 (ABIN7127813)

抗原

See all SMC1A 抗体
SMC1A (Structural Maintenance of Chromosomes 1A (SMC1A))

抗体类型

Recombinant Antibody

适用

  • 161
  • 68
  • 34
  • 7
  • 7
  • 6
  • 5
  • 4
  • 4
  • 3
  • 3
  • 2
  • 2
  • 1
  • 1

宿主

  • 139
  • 17
  • 4
  • 1

克隆类型

  • 100
  • 61
单克隆

标记

  • 78
  • 9
  • 6
  • 6
  • 6
  • 6
  • 6
  • 6
  • 3
  • 3
  • 3
  • 3
  • 3
  • 2
  • 2
  • 2
  • 2
  • 2
  • 2
  • 2
  • 2
  • 2
  • 2
  • 2
  • 1
This SMC1A antibody is un-conjugated

应用范围

  • 133
  • 57
  • 42
  • 38
  • 36
  • 29
  • 28
  • 24
  • 23
  • 11
  • 7
  • 4
  • 4
  • 1
  • 1
  • 1
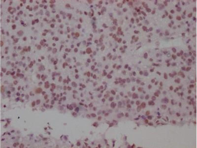
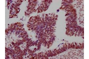
Western Blotting (WB), Immunohistochemistry (IHC), ELISA

克隆位点

8C11
  • 原理

    SMC1A Recombinant Monoclonal Antibody

    纯化方法

    Affinity-chromatography

    免疫原

    A synthesized peptide derived from human SMC1

    亚型

    IgG
  • 应用备注

    WB:1:500-1:5000, IHC:1:50-1:200

    限制

    仅限研究用
  • 状态

    Liquid

    缓冲液

    phosphate buffered saline, pH 7.4, 150 mM NaCl, 0.02 % sodium azide and 50 % glycerol.

    储存液

    Sodium azide

    注意事项

    This product contains Sodium azide: a POISONOUS AND HAZARDOUS SUBSTANCE which should be handled by trained staff only.

    储存条件

    -20 °C,-80 °C

    储存方法

    Upon receipt, store at -20°C or -80°C. Avoid repeated freeze.
  • 抗原

    SMC1A (Structural Maintenance of Chromosomes 1A (SMC1A))

    别名

    SMC1A

    背景

    Background: Involved in chromosome cohesion during cell cycle and in DNA repair. Central component of cohesin complex. The cohesin complex is required for the cohesion of sister chromatids after DNA replication. The cohesin complex apparently forms a large proteinaceous ring within which sister chromatids can be trapped. At anaphase, the complex is cleaved and dissociates from chromatin, allowing sister chromatids to segregate. The cohesin complex may also play a role in spindle pole assembly during mitosis. Involved in DNA repair via its interaction with BRCA1 and its related phosphorylation by ATM, or via its phosphorylation by ATR. Works as a downstream effector both in the ATM/NBS1 branch and in the ATR/MSH2 branch of S-phase checkpoint.

    Aliases: Structural maintenance of chromosomes protein 1A (SMC protein 1A) (SMC-1-alpha) (SMC-1A) (Sb1.8), SMC1A, DXS423E KIAA0178 SB1.8 SMC1 SMC1L1

    UniProt

    Q14683

    途径

    Stem Cell Maintenance
You are here: