电话:
+86 (0512) 65829739
传真:
+86 (010) 6788 5057
电子邮件:
orders@antibodies-online.cn

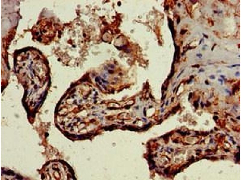
SKIL 抗体 (AA 359-579)

The 兔 多克隆 anti-SKIL antibody (ABIN7169773) specifically detects SKIL in WB, ELISA, IHC 和 IF. The antibody is reactive with 人 samples.
产品编号 ABIN7169773
发货至: 中国
Contact our Customer Service for availability and price in your country. Contact Info

Our Local Distributor

中国
北京 101111
No. 88 KeChuang 6th Street
Beijing Economic Technological Development Area
Room 801-803
4A Biotech Co.,Ltd.
Tel +86 (0512) 65829739 传真 +86 (010) 6788 5057

Quick Overview for SKIL 抗体 (AA 359-579) (ABIN7169773)

抗原

See all SKIL 抗体
SKIL (SKI-Like Oncogene (SKIL))

适用

  • 47
  • 41
  • 17
  • 8
  • 8
  • 8
  • 6
  • 6
  • 5
  • 3
  • 2
  • 2
  • 2
  • 2
  • 1

宿主

  • 57
  • 5

克隆类型

  • 58
  • 4
多克隆

标记

  • 32
  • 3
  • 2
  • 2
  • 2
  • 2
  • 2
  • 2
  • 2
  • 2
  • 1
  • 1
  • 1
  • 1
  • 1
  • 1
  • 1
  • 1
  • 1
  • 1
  • 1
This SKIL antibody is un-conjugated

应用范围

  • 45
  • 19
  • 13
  • 13
  • 10
  • 9
  • 3
  • 3
  • 2
  • 1
  • 1
  • 1
  • 1
Western Blotting (WB), ELISA, Immunohistochemistry (IHC), Immunofluorescence (IF)
  • 抗原表位

    • 15
    • 7
    • 5
    • 3
    • 2
    • 2
    • 1
    • 1
    • 1
    • 1
    • 1
    • 1
    • 1
    • 1
    • 1
    • 1
    • 1
    • 1
    • 1
    • 1
    • 1
    AA 359-579

    原理

    SKIL Antibody

    交叉反应

    小鼠, 大鼠

    纯化方法

    Protein G purified

    纯度

    >95 %

    免疫原

    Recombinant Human Ski-like protein (359-579AA)

    亚型

    IgG
  • 应用备注

    Optimal working dilution should be determined by the investigator.

    限制

    仅限研究用
  • 状态

    Liquid

    缓冲液

    Preservative: 0.03 % Proclin 300
    Constituents: 50 % Glycerol, 0.01M PBS, pH 7.4

    储存液

    ProClin

    注意事项

    This product contains ProClin: a POISONOUS AND HAZARDOUS SUBSTANCE which should be handled by trained staff only.

    储存条件

    -20 °C,-80 °C

    储存方法

    Upon receipt, store at -20°C or -80°C. Avoid repeated freeze.
  • 抗原

    SKIL (SKI-Like Oncogene (SKIL))

    别名

    SKIL

    背景

    Background: May have regulatory role in cell division or differentiation in response to extracellular signals.

    Aliases: OTTHUMP00000213557 antibody, OTTHUMP00000213591 antibody, OTTHUMP00000213592 antibody, OTTHUMP00000213595 antibody, SKI like antibody, SKI like oncogene antibody, Ski like protein antibody, SKI like proto oncogene antibody, Ski related oncogene antibody, Ski related oncogene snoN antibody, Ski related protein antibody, Ski-like protein antibody, Ski-related oncogene antibody, Ski-related protein antibody, SKIL antibody, SKIL_HUMAN antibody, SNO antibody, SnoA antibody, SnoI antibody, SnoN antibody

    UniProt

    P12757

    途径

    Positive Regulation of Response to DNA Damage Stimulus
You are here: