电话:
+86 (0512) 65829739
传真:
+86 (010) 6788 5057
电子邮件:
orders@antibodies-online.cn

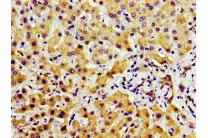
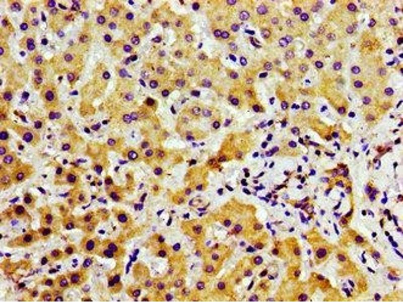
TAO Kinase 2 抗体 (AA 719-880)

The 兔 多克隆 anti-TAO Kinase 2 antibody (ABIN7169191) specifically detects TAO Kinase 2 in ELISA 和 IHC. The antibody is reactive with 人 samples.
产品编号 ABIN7169191
发货至: 中国
Contact our Customer Service for availability and price in your country. Contact Info

Our Local Distributor

中国
北京 101111
No. 88 KeChuang 6th Street
Beijing Economic Technological Development Area
Room 801-803
4A Biotech Co.,Ltd.
Tel +86 (0512) 65829739 传真 +86 (010) 6788 5057

Quick Overview for TAO Kinase 2 抗体 (AA 719-880) (ABIN7169191)

抗原

See all TAO Kinase 2 (TAOK2) 抗体
TAO Kinase 2 (TAOK2)

适用

  • 34
  • 17
  • 15
  • 2
  • 2
  • 1
  • 1

宿主

  • 32
  • 3

克隆类型

  • 32
  • 3
多克隆

标记

  • 19
  • 3
  • 3
  • 2
  • 1
  • 1
  • 1
  • 1
  • 1
  • 1
  • 1
  • 1
This TAO Kinase 2 antibody is un-conjugated

应用范围

  • 24
  • 15
  • 4
  • 3
  • 2
  • 1
  • 1
  • 1
  • 1
ELISA, Immunohistochemistry (IHC)
  • 抗原表位

    • 8
    • 4
    • 4
    • 3
    • 2
    • 2
    • 1
    • 1
    • 1
    • 1
    • 1
    • 1
    AA 719-880

    原理

    TAOK2 Antibody

    纯化方法

    Protein G purified

    纯度

    >95 %

    免疫原

    Recombinant Human Serine/threonine-protein kinase TAO2 protein (719-880AA)

    亚型

    IgG
  • 应用备注

    Optimal working dilution should be determined by the investigator.

    限制

    仅限研究用
  • 状态

    Liquid

    缓冲液

    Preservative: 0.03 % Proclin 300
    Constituents: 50 % Glycerol, 0.01M PBS, pH 7.4

    储存液

    ProClin

    注意事项

    This product contains ProClin: a POISONOUS AND HAZARDOUS SUBSTANCE which should be handled by trained staff only.

    储存条件

    -20 °C,-80 °C

    储存方法

    Upon receipt, store at -20°C or -80°C. Avoid repeated freeze.
  • 抗原

    TAO Kinase 2 (TAOK2)

    别名

    TAOK2

    背景

    Background: Serine/threonine-protein kinase involved in different processes such as membrane blebbing and apoptotic bodies formation DNA damage response and MAPK14/p38 MAPK stress-activated MAPK cascade. Phosphorylates itself, MBP, activated MAPK8, MAP2K3, MAP2K6 and tubulins. Activates the MAPK14/p38 MAPK signaling pathway through the specific activation and phosphorylation of the upstream MAP2K3 and MAP2K6 kinases. In response to DNA damage, involved in the G2/M transition DNA damage checkpoint by activating the p38/MAPK14 stress-activated MAPK cascade, probably by mediating phosphorylation of upstream MAP2K3 and MAP2K6 kinases. Isoform 1, but not isoform 2, plays a role in apoptotic morphological changes, including cell contraction, membrane blebbing and apoptotic bodies formation. This function, which requires the activation of MAPK8/JNK and nuclear localization of C-terminally truncated isoform 1, may be linked to the mitochondrial CASP9-associated death pathway. Isoform 1 binds to microtubules and affects their organization and stability independently of its kinase activity. Prevents MAP3K7-mediated activation of CHUK, and thus NF-kappa-B activation, but not that of MAPK8/JNK. May play a role in the osmotic stress-MAPK8 pathway. Isoform 2, but not isoform 1, is required for PCDH8 endocytosis. Following homophilic interactions between PCDH8 extracellular domains, isoform 2 phosphorylates and activates MAPK14/p38 MAPK which in turn phosphorylates isoform 2. This process leads to PCDH8 endocytosis and CDH2 cointernalization. Both isoforms are involved in MAPK14 phosphorylation.

    Aliases: 1110033K02Rik antibody, B230344N16 antibody, hKFC C antibody, hKFC-C antibody, KIAA0881 antibody, Kinase from chicken homolog C antibody, MAP3K17 antibody, mKIAA0881 antibody, Prostate derived STE20 like kinase 1 antibody, Prostate derived STE20 like kinase PSK antibody, Prostate derived sterile 20 like kinase 1 antibody, Prostate-derived STE20-like kinase 1 antibody, PSK 1 antibody, PSK antibody, PSK-1 antibody, PSK1 antibody, PSK1 beta antibody, Serine/threonine protein kinase TAO2 antibody, Serine/threonine-protein kinase TAO2 antibody, TAO 1 antibody, TAO 2 antibody, TAO kinase 2 antibody, TAO1 antibody, TAO2 antibody, TAOK 2 antibody, Taok2 antibody, TAOK2_HUMAN antibody, Thousand and one amino acid protein 2 antibody, Thousand and one amino acid protein kinase antibody, UNQ2971/PRO7431 antibody

    UniProt

    Q9UL54

    途径

    Cell-Cell Junction Organization
You are here: