电话:
+86 (0512) 65829739
传真:
+86 (010) 6788 5057
电子邮件:
orders@antibodies-online.cn

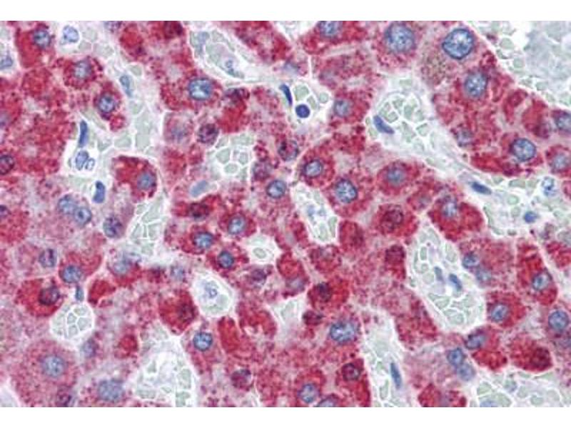
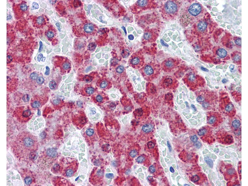
TAO Kinase 2 抗体 (AA 831-931)

The 小鼠 单克隆 anti-TAO Kinase 2 antibody is suitable to detect TAO Kinase 2 in samples from 人. It has been validated for WB, ELISA, IHC 和 IHC (p).
产品编号 ABIN574409
发货至: 中国
Contact our Customer Service for availability and price in your country. Contact Info

Our Local Distributor

中国
北京 101111
No. 88 KeChuang 6th Street
Beijing Economic Technological Development Area
Room 801-803
4A Biotech Co.,Ltd.
Tel +86 (0512) 65829739 传真 +86 (010) 6788 5057

Quick Overview for TAO Kinase 2 抗体 (AA 831-931) (ABIN574409)

抗原

See all TAO Kinase 2 (TAOK2) 抗体
TAO Kinase 2 (TAOK2)

适用

  • 34
  • 17
  • 15
  • 2
  • 2
  • 1
  • 1

宿主

  • 33
  • 2
小鼠

克隆类型

  • 33
  • 2
单克隆

标记

  • 19
  • 3
  • 3
  • 2
  • 1
  • 1
  • 1
  • 1
  • 1
  • 1
  • 1
  • 1
This TAO Kinase 2 antibody is un-conjugated

应用范围

  • 23
  • 15
  • 4
  • 3
  • 1
  • 1
  • 1
  • 1
  • 1
Western Blotting (WB), ELISA, Immunohistochemistry (IHC), Immunohistochemistry (Paraffin-embedded Sections) (IHC (p))

克隆位点

2E2
  • 抗原表位

    • 8
    • 5
    • 4
    • 3
    • 2
    • 2
    • 1
    • 1
    • 1
    • 1
    • 1
    AA 831-931

    纯化方法

    Purified from ascites by Protein A

    免疫原

    TAOK2 (AAH51798, 831 a.a. ~ 931 a.a) partial recombinant protein with GST tag. MW of the GST tag alone is 26 KDa.

    Type of Immunogen: Recombinant protein

    亚型

    IgG2a kappa
  • 应用备注

    Approved: ELISA, IHC, IHC-P (5 μg/mL), WB

    Usage: Western blot performed with the recombinant protein used as the immunogen as the protein source. Sandwich ELISA (Recombinant protein).

    说明

    Target Species of Antibody: Human

    限制

    仅限研究用
  • 状态

    Liquid

    浓度

    Lot specific

    缓冲液

    PBS,  pH 7.4.

    注意事项

    Aliquot to Avoid freeze/thaw cycles.

    储存条件

    -20 °C

    储存方法

    Store at -20°C. Aliquot to avoid freeze/thaw cycles.
  • 抗原

    TAO Kinase 2 (TAOK2)

    别名

    TAOK2 / TAO2

    背景

    Name/Gene ID: TAOK2
    Subfamily: TAO
    Family: Protein Kinase

    Synonyms: TAOK2, Kinase from chicken homolog C, HKFC-C, PSK, PSK-1, PSK1-BETA, TAO1, TAO kinase 2, TAO2, PSK1, KIAA0881, MAP3K17

    基因ID

    9344

    UniProt

    Q9UL54

    途径

    Cell-Cell Junction Organization
You are here: