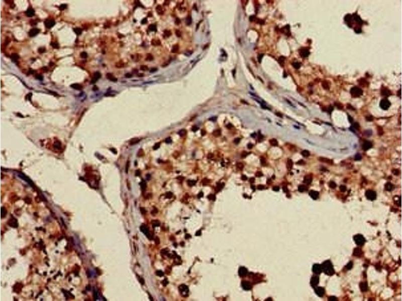
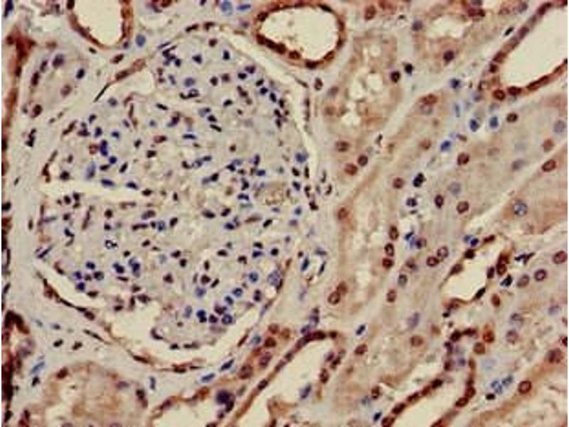
PRPS2 抗体 (AA 11-106)
Our Local Distributor
北京 101111
Quick Overview for PRPS2 抗体 (AA 11-106) (ABIN7168160)
抗原
See all PRPS2 抗体适用
宿主
克隆类型
标记
应用范围
-
-
抗原表位
- AA 11-106
-
原理
- PRPS2 Antibody
-
交叉反应
- 大鼠
-
纯化方法
- Protein G purified
-
纯度
- >95 %
-
免疫原
- Recombinant Human Ribose-phosphate pyrophosphokinase 2 protein (11-106AA)
-
亚型
- IgG
-
-
-
-
应用备注
- Optimal working dilution should be determined by the investigator.
-
限制
- 仅限研究用
-
-
-
状态
- Liquid
-
缓冲液
-
Preservative: 0.03 % Proclin 300
Constituents: 50 % Glycerol, 0.01M PBS, pH 7.4 -
储存液
- ProClin
-
注意事项
- This product contains ProClin: a POISONOUS AND HAZARDOUS SUBSTANCE which should be handled by trained staff only.
-
储存条件
- -20 °C,-80 °C
-
储存方法
- Upon receipt, store at -20°C or -80°C. Avoid repeated freeze.
-
-
- PRPS2 (phosphoribosyl Pyrophosphate Synthetase 2 (PRPS2))
-
别名
- PRPS2
-
背景
-
Background: Catalyzes the synthesis of phosphoribosylpyrophosphate (PRPP) that is essential for nucleotide synthesis.
Aliases: EC 2.7.6.1 antibody, Phosphoribosyl pyrophosphate synthase II antibody, phosphoribosyl pyrophosphate synthetase 2 antibody, Phosphoribosyl pyrophosphate synthetase II antibody, PPRibP antibody, Prps2 antibody, PRPS2_HUMAN antibody, PRS II antibody, PRS-II antibody, Ribose phosphate pyrophosphokinase II antibody, Ribose-phosphate pyrophosphokinase 2 antibody
-
UniProt
- P11908
-
途径
- Ribonucleoside Biosynthetic Process
抗原
-