电话:
+86 (0512) 65829739
传真:
+86 (010) 6788 5057
电子邮件:
orders@antibodies-online.cn

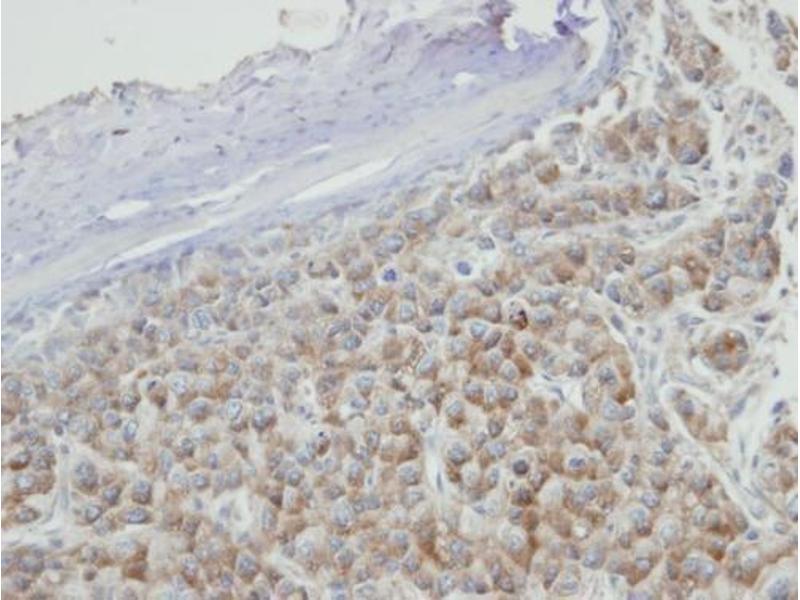
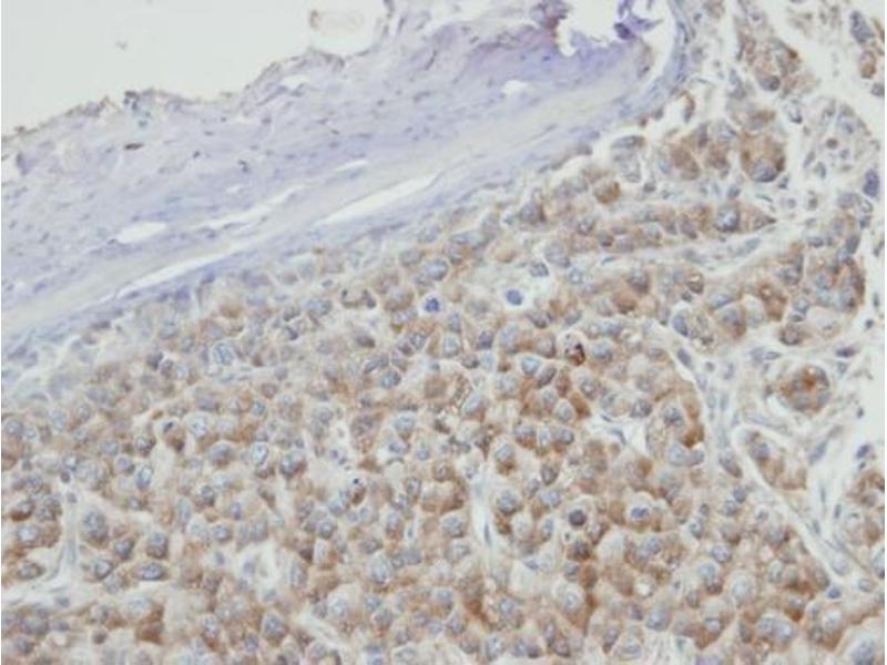
PRPS2 抗体

The 兔 多克隆 anti-PRPS2 antibody is suitable to detect PRPS2 in samples from 人. It has been validated for WB, IF, IHC (p) 和 ICC.
产品编号 ABIN2855756
发货至: 中国
Contact our Customer Service for availability and price in your country. Contact Info

Our Local Distributor

中国
北京 101111
No. 88 KeChuang 6th Street
Beijing Economic Technological Development Area
Room 801-803
4A Biotech Co.,Ltd.
Tel +86 (0512) 65829739 传真 +86 (010) 6788 5057

Quick Overview for PRPS2 抗体 (ABIN2855756)

抗原

See all PRPS2 抗体
PRPS2 (phosphoribosyl Pyrophosphate Synthetase 2 (PRPS2))

适用

  • 37
  • 13
  • 12
  • 9
  • 5
  • 5
  • 5
  • 4
  • 3
  • 3
  • 3
  • 3
  • 3
  • 2
  • 2

宿主

  • 34
  • 3

克隆类型

  • 35
  • 2
多克隆

标记

  • 28
  • 3
  • 2
  • 2
  • 1
  • 1
This PRPS2 antibody is un-conjugated

应用范围

  • 31
  • 18
  • 9
  • 2
  • 2
  • 2
  • 1
  • 1
  • 1
  • 1
Western Blotting (WB), Immunofluorescence (IF), Immunohistochemistry (Paraffin-embedded Sections) (IHC (p)), Immunocytochemistry (ICC)
  • 交叉反应

    产品特性

    Rabbit polyclonal antibody to PRPS2 (phosphoribosyl pyrophosphate synthetase 2)
    PRPS2 antibody [N1C3]

    纯化方法

    Purified by antigen-affinity chromatography.

    免疫原

    Recombinant protein encompassing a sequence within the center region of human PRPS2. The exact sequence is proprietary.

    亚型

    IgG
  • 应用备注

    WB: 1:500-1:3000. ICC/IF: 1:100-1:1000. IHC-P: 1:100-1:1000. Optimal dilutions/concentrations should be determined by the researcher. Not tested in other applications.

    说明

    Positive Control: HepG2

    限制

    仅限研究用
  • 状态

    Liquid

    浓度

    0.91 mg/mL

    缓冲液

    0.1M Tris-Glycine ( pH 7), 10 % Glycerol, 0.01 % Thimerosal

    储存液

    Thimerosal (Merthiolate)

    注意事项

    This product contains Thimerosal (Merthiolate): a POISONOUS AND HAZARDOUS SUBSTANCE which should be handled by trained staff only.

    储存条件

    4 °C,-20 °C

    储存方法

    Store as concentrated solution. Centrifuge briefly prior to opening vial. For short-term storage (1-2 weeks), store at 4°C. For long-term storage, aliquot and store at -20°C or below. Avoid multiple freeze-thaw cycles.
  • 抗原

    PRPS2 (phosphoribosyl Pyrophosphate Synthetase 2 (PRPS2))

    别名

    phosphoribosyl pyrophosphate synthetase 2

    背景

    This gene encodes a phosphoribosyl pyrophosphate synthetase that plays a central role in the synthesis of purines and pyrimidines. The encoded protein catalyzes the synthesis of 5-phosphoribosyl 1-pyrophosphate from ATP and D-ribose 5-phosphate. Alternate splicing results in multiple transcript variants.

    分子量

    35 kDa

    基因ID

    5634

    UniProt

    P11908

    途径

    Ribonucleoside Biosynthetic Process
You are here: