电话:
+86 (0512) 65829739
传真:
+86 (010) 6788 5057
电子邮件:
orders@antibodies-online.cn

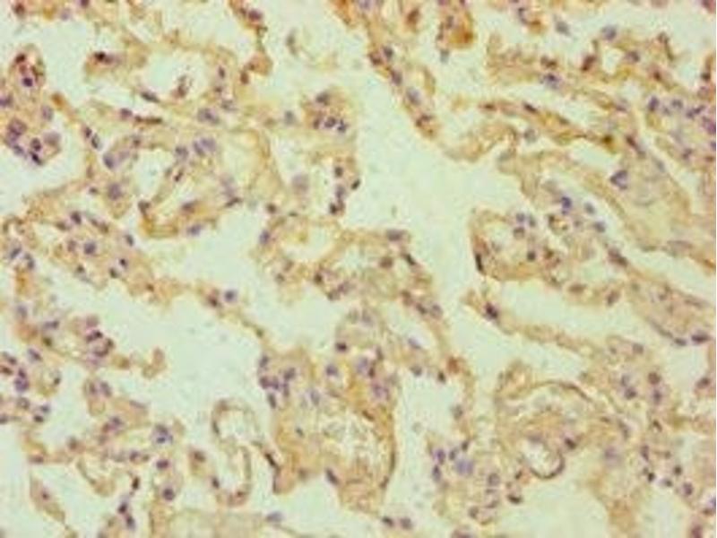
ALDH1A2 抗体 (AA 1-180)

The 兔 多克隆 anti-ALDH1A2 antibody (ABIN7167766) specifically detects ALDH1A2 in WB, ELISA 和 IHC. The antibody is reactive with 人 samples.
产品编号 ABIN7167766
发货至: 中国
Contact our Customer Service for availability and price in your country. Contact Info

Our Local Distributor

中国
北京 101111
No. 88 KeChuang 6th Street
Beijing Economic Technological Development Area
Room 801-803
4A Biotech Co.,Ltd.
Tel +86 (0512) 65829739 传真 +86 (010) 6788 5057

Quick Overview for ALDH1A2 抗体 (AA 1-180) (ABIN7167766)

抗原

See all ALDH1A2 抗体
ALDH1A2 (Aldehyde Dehydrogenase 1 Family, Member A2 (ALDH1A2))

适用

  • 55
  • 40
  • 36
  • 18
  • 7
  • 7
  • 4
  • 3
  • 3
  • 3
  • 3
  • 1
  • 1

宿主

  • 69
  • 1

克隆类型

  • 66
  • 4
多克隆

标记

  • 32
  • 4
  • 4
  • 3
  • 2
  • 2
  • 2
  • 2
  • 2
  • 2
  • 1
  • 1
  • 1
  • 1
  • 1
  • 1
  • 1
  • 1
  • 1
  • 1
  • 1
  • 1
  • 1
  • 1
  • 1
This ALDH1A2 antibody is un-conjugated

应用范围

  • 52
  • 24
  • 16
  • 13
  • 13
  • 5
  • 5
  • 4
  • 3
  • 2
  • 1
  • 1
  • 1
Western Blotting (WB), ELISA, Immunohistochemistry (IHC)
  • 抗原表位

    • 15
    • 6
    • 5
    • 3
    • 2
    • 2
    • 2
    • 2
    • 1
    • 1
    • 1
    • 1
    • 1
    • 1
    • 1
    AA 1-180

    原理

    ALDH1A2 Antibody

    交叉反应

    小鼠

    纯化方法

    Antigen Affinity Purified

    免疫原

    Recombinant Human Retinal dehydrogenase 2 protein (1-180AA)

    亚型

    IgG
  • 应用备注

    Optimal working dilution should be determined by the investigator.

    限制

    仅限研究用
  • 状态

    Liquid

    缓冲液

    PBS with 0.02 % sodium azide, 50 % glycerol, pH 7.3.

    储存液

    Sodium azide

    注意事项

    This product contains Sodium azide: a POISONOUS AND HAZARDOUS SUBSTANCE which should be handled by trained staff only.

    储存条件

    -20 °C,-80 °C

    储存方法

    Upon receipt, store at -20°C or -80°C. Avoid repeated freeze.
  • 抗原

    ALDH1A2 (Aldehyde Dehydrogenase 1 Family, Member A2 (ALDH1A2))

    别名

    ALDH1A2

    背景

    Background: Recognizes as substrates free retinal and cellular retinol-binding protein-bound retinal. Does metabolize octanal and decanal but does not metabolize citral, benzaldehyde, acetaldehyde and propanal efficiently .

    Aliases: AL1A2_HUMAN antibody, Aldehyde dehydrogenase family 1 member A2 antibody, ALDH1A2 aldehyde dehydrogenase 1 family, member A2 antibody, ALDH1A2 antibody, Aldh1a7 antibody, AV116159 antibody, MGC26444 antibody, RALDH 2 antibody, RALDH(II) antibody, Raldh1 antibody, RalDH2 antibody, RALDH2 T antibody, Retinal dehydrogenase 2 antibody, Retinaldehyde dehydrogenase 2 antibody, Retinaldehyde specific dehydrogenase type 2 antibody, Retinaldehyde-specific dehydrogenase type 2 antibody

    UniProt

    O94788

    途径

    Retinoic Acid Receptor Signaling Pathway
You are here: