电话:
+86 (0512) 65829739
传真:
+86 (010) 6788 5057
电子邮件:
orders@antibodies-online.cn

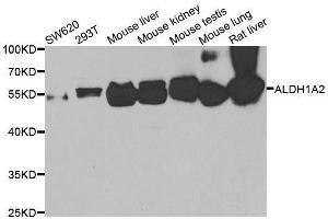
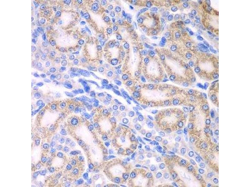
ALDH1A2 抗体 (AA 1-180)

The 兔 多克隆 anti-ALDH1A2 antibody (ABIN6136765) specifically detects ALDH1A2 in WB, IHC 和 IF. The antibody is reactive with 人 samples.
产品编号 ABIN6136765
发货至: 中国
Contact our Customer Service for availability and price in your country. Contact Info

Our Local Distributor

中国
北京 101111
No. 88 KeChuang 6th Street
Beijing Economic Technological Development Area
Room 801-803
4A Biotech Co.,Ltd.
Tel +86 (0512) 65829739 传真 +86 (010) 6788 5057

Quick Overview for ALDH1A2 抗体 (AA 1-180) (ABIN6136765)

抗原

See all ALDH1A2 抗体
ALDH1A2 (Aldehyde Dehydrogenase 1 Family, Member A2 (ALDH1A2))

适用

  • 55
  • 40
  • 36
  • 18
  • 7
  • 7
  • 4
  • 3
  • 3
  • 3
  • 3
  • 1
  • 1

宿主

  • 69
  • 1

克隆类型

  • 66
  • 4
多克隆

标记

  • 32
  • 4
  • 4
  • 3
  • 2
  • 2
  • 2
  • 2
  • 2
  • 2
  • 1
  • 1
  • 1
  • 1
  • 1
  • 1
  • 1
  • 1
  • 1
  • 1
  • 1
  • 1
  • 1
  • 1
  • 1
This ALDH1A2 antibody is un-conjugated

应用范围

  • 52
  • 25
  • 16
  • 13
  • 13
  • 5
  • 4
  • 4
  • 3
  • 2
  • 1
  • 1
  • 1
Western Blotting (WB), Immunohistochemistry (IHC), Immunofluorescence (IF)
  • 抗原表位

    • 15
    • 6
    • 5
    • 3
    • 2
    • 2
    • 2
    • 2
    • 1
    • 1
    • 1
    • 1
    • 1
    • 1
    • 1
    AA 1-180

    序列

    MTSSKIEMPG EVKADPAALM ASLHLLPSPT PNLEIKYTKI FINNEWQNSE SGRVFPVYNP ATGEQVCEVQ EADKADIDKA VQAARLAFSL GSVWRRMDAS ERGRLLDKLA DLVERDRAVL ATMESLNGGK PFLQAFYVDL QGVIKTFRYY AGWADKIHGM TIPVDGDYFT FTRHEPIGVC

    交叉反应

    人, 小鼠, 大鼠

    产品特性

    Polyclonal Antibodies

    纯化方法

    Affinity purification

    免疫原

    Recombinant fusion protein containing a sequence corresponding to amino acids 1-180 of human ALDH1A2 (NP_733797.1).

    亚型

    IgG
  • 应用备注

    WB,1:500 - 1:2000,IHC,1:50 - 1:200,IF,1:50 - 1:200

    说明

    HIGH QUALITY

    限制

    仅限研究用
  • 状态

    Liquid

    缓冲液

    PBS with 0.02 % sodium azide,50 % glycerol, pH 7.3.

    储存液

    Sodium azide

    注意事项

    This product contains Sodium azide: a POISONOUS AND HAZARDOUS SUBSTANCE which should be handled by trained staff only.

    储存条件

    -20 °C

    储存方法

    Store at -20°C. Avoid freeze / thaw cycles.
  • 抗原

    ALDH1A2 (Aldehyde Dehydrogenase 1 Family, Member A2 (ALDH1A2))

    别名

    ALDH1A2

    背景

    This protein belongs to the aldehyde dehydrogenase family of proteins. The product of this gene is an enzyme that catalyzes the synthesis of retinoic acid (RA) from retinaldehyde. Retinoic acid, the active derivative of vitamin A (retinol), is a hormonal signaling molecule that functions in developing and adult tissues. The studies of a similar mouse gene suggest that this enzyme and the cytochrome CYP26A1, concurrently establish local embryonic retinoic acid levels which facilitate posterior organ development and prevent spina bifida. Four transcript variants encoding distinct isoforms have been identified for this gene.,ALDH1A2,RALDH(II),RALDH2,RALDH2-T,Cell Biology & Developmental Biology,Neuroscience,ALDH1A2

    分子量

    46 kDa/53 kDa/54 kDa/56 kDa

    基因ID

    8854

    UniProt

    O94788

    途径

    Retinoic Acid Receptor Signaling Pathway
You are here: