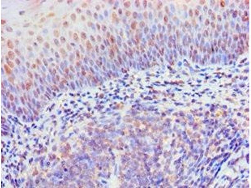
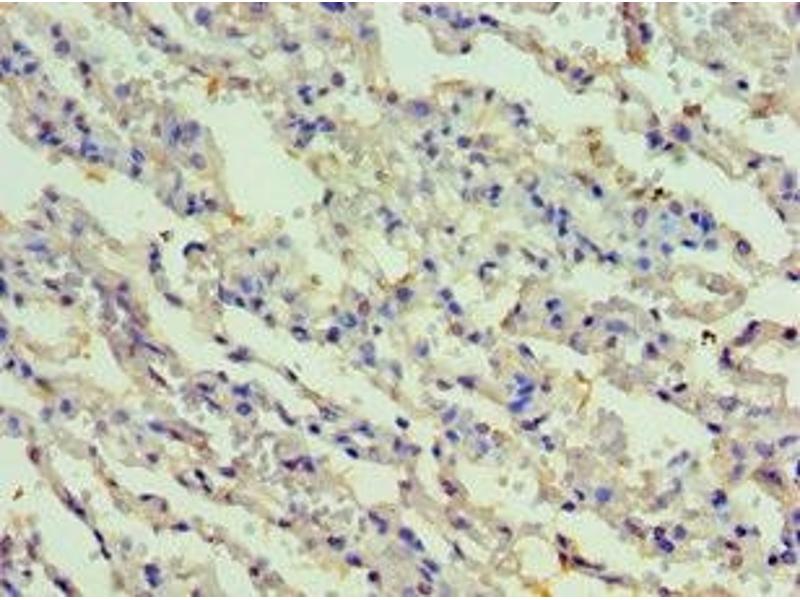
RIPK3 抗体 (AA 1-120)
Our Local Distributor
北京 101111
Quick Overview for RIPK3 抗体 (AA 1-120) (ABIN7167479)
抗原
See all RIPK3 抗体适用
宿主
克隆类型
标记
应用范围
-
-
抗原表位
- AA 1-120
-
原理
- RIPK3 Antibody
-
纯化方法
- Antigen Affinity Purified
-
免疫原
- Recombinant Human Receptor-interacting serine/threonine-protein kinase 3 protein (1-120AA)
-
亚型
- IgG
-
-
-
-
应用备注
- Optimal working dilution should be determined by the investigator.
-
限制
- 仅限研究用
-
-
-
状态
- Liquid
-
缓冲液
- PBS with 0.02 % sodium azide, 50 % glycerol, pH 7.3.
-
储存液
- Sodium azide
-
注意事项
- This product contains Sodium azide: a POISONOUS AND HAZARDOUS SUBSTANCE which should be handled by trained staff only.
-
储存条件
- -20 °C,-80 °C
-
储存方法
- Upon receipt, store at -20°C or -80°C. Avoid repeated freeze.
-
-
- RIPK3 (Receptor-Interacting serine-threonine Kinase 3 (RIPK3))
-
别名
- RIPK3
-
背景
-
Background: Essential for necroptosis, a programmed cell death process in response to death-inducing TNF-alpha family members. Upon induction of necrosis, RIPK3 interacts with, and phosphorylates RIPK1 and MLKL to form a necrosis-inducing complex. RIPK3 binds to and enhances the activity of three metabolic enzymes: GLUL, GLUD1, and PYGL. These metabolic enzymes may eventually stimulate the tricarboxylic acid cycle and oxidative phosphorylation, which could result in enhanced ROS production.
Aliases: Receptor interacting protein 3 antibody, Receptor interacting serine threonine kinase 3 antibody, Receptor interacting serine/threonine protein kinase 3 antibody, Receptor-interacting protein 3 antibody, Receptor-interacting serine/threonine-protein kinase 3 antibody, RIP 3 antibody, RIP like protein kinase 3 antibody, RIP-3 antibody, RIP-like protein kinase 3 antibody, RIPK 3 antibody, RIPK3 antibody, RIPK3_HUMAN antibody
-
UniProt
- Q9Y572
-
途径
- Activation of Innate immune Response, Toll-Like Receptors Cascades
抗原
-