电话:
+86 (0512) 65829739
传真:
+86 (010) 6788 5057
电子邮件:
orders@antibodies-online.cn

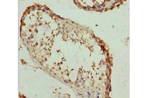
RACGAP1 抗体 (AA 353-632)

The 兔 多克隆 anti-RACGAP1 antibody is suitable to detect RACGAP1 in samples from 人. It has been validated for IHC 和 ELISA.
产品编号 ABIN7167018
发货至: 中国
Contact our Customer Service for availability and price in your country. Contact Info

Our Local Distributor

中国
北京 101111
No. 88 KeChuang 6th Street
Beijing Economic Technological Development Area
Room 801-803
4A Biotech Co.,Ltd.
Tel +86 (0512) 65829739 传真 +86 (010) 6788 5057

Quick Overview for RACGAP1 抗体 (AA 353-632) (ABIN7167018)

抗原

See all RACGAP1 抗体
RACGAP1 (Rac GTPase Activating Protein 1 (RACGAP1))

适用

  • 85
  • 39
  • 33
  • 8
  • 6
  • 5
  • 5
  • 5
  • 5
  • 2
  • 2

宿主

  • 94
  • 4
  • 1
  • 1

克隆类型

  • 84
  • 16
多克隆

标记

  • 48
  • 5
  • 5
  • 4
  • 2
  • 2
  • 2
  • 2
  • 2
  • 2
  • 2
  • 2
  • 2
  • 2
  • 2
  • 2
  • 2
  • 2
  • 2
  • 2
  • 2
  • 1
  • 1
  • 1
  • 1
This RACGAP1 antibody is un-conjugated

应用范围

  • 88
  • 39
  • 39
  • 34
  • 27
  • 26
  • 22
  • 15
  • 12
  • 7
  • 6
  • 2
  • 1
  • 1
Immunohistochemistry (IHC), ELISA
  • 抗原表位

    • 19
    • 15
    • 8
    • 8
    • 5
    • 5
    • 2
    • 2
    • 2
    • 2
    • 1
    • 1
    • 1
    • 1
    • 1
    • 1
    • 1
    • 1
    • 1
    • 1
    • 1
    • 1
    AA 353-632

    原理

    RACGAP1 Antibody

    纯化方法

    Antigen Affinity Purified

    免疫原

    Recombinant Human Rac GTPase-activating protein 1 protein (353-632AA)

    亚型

    IgG
  • 应用备注

    Optimal working dilution should be determined by the investigator.

    限制

    仅限研究用
  • 状态

    Liquid

    缓冲液

    PBS with 0.02 % sodium azide, 50 % glycerol, pH 7.3.

    储存液

    Sodium azide

    注意事项

    This product contains Sodium azide: a POISONOUS AND HAZARDOUS SUBSTANCE which should be handled by trained staff only.

    储存条件

    -20 °C,-80 °C

    储存方法

    Upon receipt, store at -20°C or -80°C. Avoid repeated freeze.
  • 抗原

    RACGAP1 (Rac GTPase Activating Protein 1 (RACGAP1))

    别名

    RACGAP1

    背景

    Background: Component of the centralspindlin complex that serves as a microtubule-dependent and Rho-mediated signaling required for the myosin contractile ring formation during the cell cycle cytokinesis. Required for proper attachment of the midbody to the cell membrane during cytokinesis. Plays key roles in controlling cell growth and differentiation of hematopoietic cells through mechanisms other than regulating Rac GTPase activity. Also involved in the regulation of growth-related processes in adipocytes and myoblasts. May be involved in regulating spermatogenesis and in the RACGAP1 pathway in neuronal proliferation. Shows strong GAP (GTPase activation) activity towards CDC42 and RAC1 and less towards RHOA. Essential for the early stages of embryogenesis. May play a role in regulating cortical activity through RHOA during cytokinesis. May participate in the regulation of sulfate transport in male germ cells.

    Aliases: CYK4 antibody, GAP antibody, Gap1 antibody, GTPase activating protein antibody, HsCYK-4 antibody, ID GAP antibody, KIAA1478 antibody, Male germ cell RacGap antibody, MgcRacGAP antibody, Protein CYK4 homolg antibody, Protein CYK4 homolog antibody, Rac GTPase activating protein 1 antibody, Rac GTPase-activating protein 1 antibody, RACGAP 1 antibody, Racgap1 antibody, RGAP1_HUMAN antibody

    UniProt

    Q9H0H5

    途径

    Regulation of Actin Filament Polymerization, Myometrial Relaxation and Contraction, Regulation of G-Protein Coupled Receptor Protein Signaling, Signaling of Hepatocyte Growth Factor Receptor
You are here: