电话:
+86 (0512) 65829739
传真:
+86 (010) 6788 5057
电子邮件:
orders@antibodies-online.cn

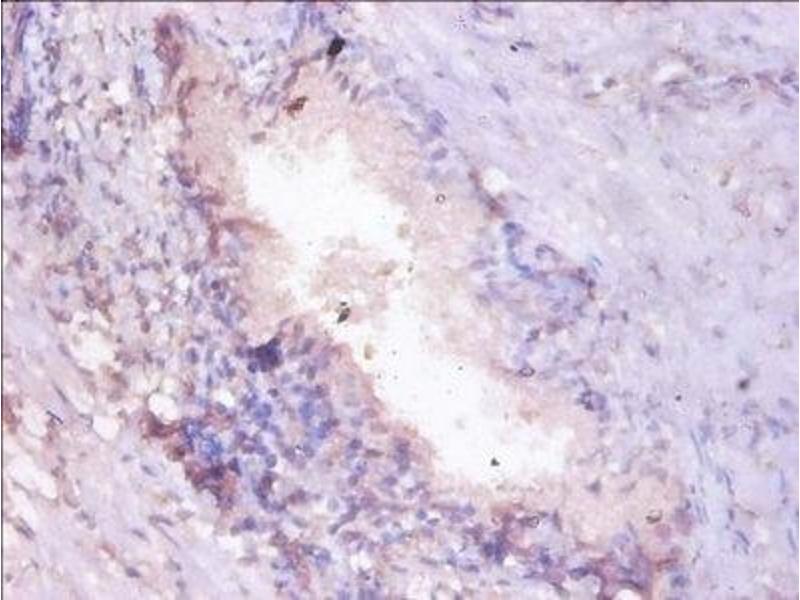
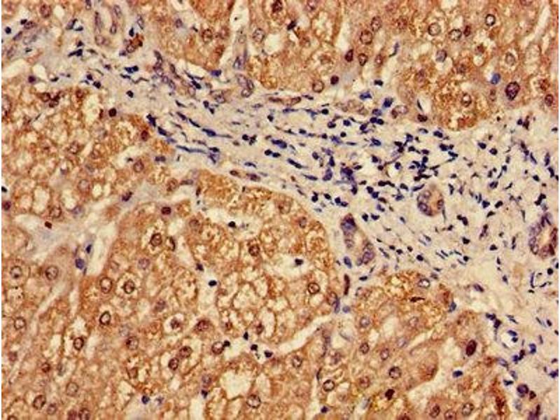
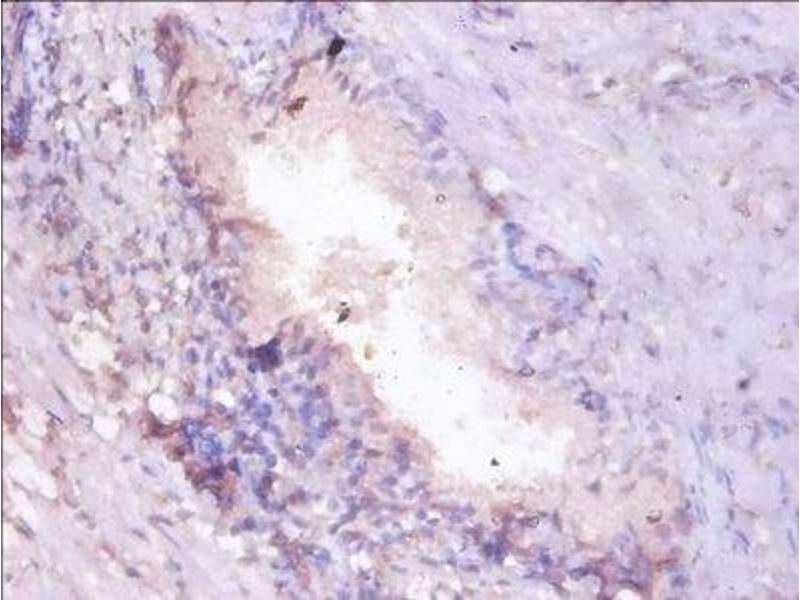
PSMA7 抗体 (AA 5-232)

The 兔 多克隆 anti-PSMA7 antibody (ABIN7164964) specifically detects PSMA7 in WB, IHC, ELISA 和 IF. The antibody is reactive with 人 samples.
产品编号 ABIN7164964
发货至: 中国
Contact our Customer Service for availability and price in your country. Contact Info

Our Local Distributor

中国
北京 101111
No. 88 KeChuang 6th Street
Beijing Economic Technological Development Area
Room 801-803
4A Biotech Co.,Ltd.
Tel +86 (0512) 65829739 传真 +86 (010) 6788 5057

Quick Overview for PSMA7 抗体 (AA 5-232) (ABIN7164964)

抗原

See all PSMA7 抗体
PSMA7 (Proteasome Subunit alpha 7 (PSMA7))

适用

  • 54
  • 27
  • 18
  • 1

宿主

  • 46
  • 8

克隆类型

  • 46
  • 8
多克隆

标记

  • 26
  • 5
  • 2
  • 2
  • 1
  • 1
  • 1
  • 1
  • 1
  • 1
  • 1
  • 1
  • 1
  • 1
  • 1
  • 1
  • 1
  • 1
  • 1
  • 1
  • 1
  • 1
  • 1
This PSMA7 antibody is un-conjugated

应用范围

  • 44
  • 17
  • 15
  • 13
  • 9
  • 7
  • 6
  • 5
  • 2
  • 1
  • 1
Western Blotting (WB), Immunohistochemistry (IHC), ELISA, Immunofluorescence (IF)
  • 抗原表位

    • 5
    • 4
    • 3
    • 2
    • 1
    • 1
    • 1
    • 1
    • 1
    • 1
    • 1
    • 1
    AA 5-232

    原理

    PSMA7 Antibody

    交叉反应

    小鼠

    纯化方法

    Protein G purified

    纯度

    >95 %

    免疫原

    Recombinant Human Proteasome subunit alpha type-7 protein (5-232AA)

    亚型

    IgG
  • 应用备注

    Optimal working dilution should be determined by the investigator.

    限制

    仅限研究用
  • 状态

    Liquid

    缓冲液

    Preservative: 0.03 % Proclin 300
    Constituents: 50 % Glycerol, 0.01M PBS, PH 7.4

    储存液

    ProClin

    注意事项

    This product contains ProClin: a POISONOUS AND HAZARDOUS SUBSTANCE which should be handled by trained staff only.

    储存条件

    -20 °C,-80 °C

    储存方法

    Upon receipt, store at -20°C or -80°C. Avoid repeated freeze.
  • 抗原

    PSMA7 (Proteasome Subunit alpha 7 (PSMA7))

    别名

    PSMA7

    背景

    Background: The proteasome is a multicatalytic proteinase complex which is characterized by its ability to cleave peptides with Arg, Phe, Tyr, Leu, and Glu adjacent to the leaving group at neutral or slightly basic pH . The proteasome has an ATP-dependent proteolytic activity. Plays an important role in the regulation of cell proliferation or cell cycle control, transcriptional regulation, immune and stress response, cell differentiation, and apoptosis. Interacts with some important proteins involved in transcription factor regulation, cell cycle transition, viral replication and even tumor initiation and progression. Inhibits the transactivation function of HIF-1A under both normoxic and hypoxia-mimicking conditions. The interaction with EMAP2 increases the proteasome-mediated HIF-1A degradation under the hypoxic conditions. Plays a role in hepatitis C virus internal ribosome entry site-mediated translation. Mediates nuclear translocation of the androgen receptor (AR) and thereby enhances androgen-mediated transactivation. Promotes MAVS degradation and thereby negatively regulates MAVS-mediated innate immune response

    Aliases: C6 antibody, HSPC antibody, MGC3755 antibody, OTTHUMP00000031449 antibody, OTTHUMP00000031450 antibody, OTTHUMP00000031453 antibody, Proteasome (prosome macropain) subunit alpha type 7 antibody, Proteasome alpha 7 subunit antibody, Proteasome subunit alpha 4 antibody, Proteasome subunit alpha type 7 antibody, Proteasome subunit alpha type-7 antibody, Proteasome subunit RC6 1 antibody, Proteasome subunit RC6-1 antibody, Proteasome subunit XAPC7 antibody, PSA7_HUMAN antibody, PSMA 7 antibody, PSMA7 antibody, RC6 1 antibody, XAPC7 antibody

    UniProt

    O14818

    途径

    Mitotic G1-G1/S Phases, DNA Replication, Synthesis of DNA
You are here: