电话:
+86 (0512) 65829739
传真:
+86 (010) 6788 5057
电子邮件:
orders@antibodies-online.cn

PSMA7 抗体 (Center)

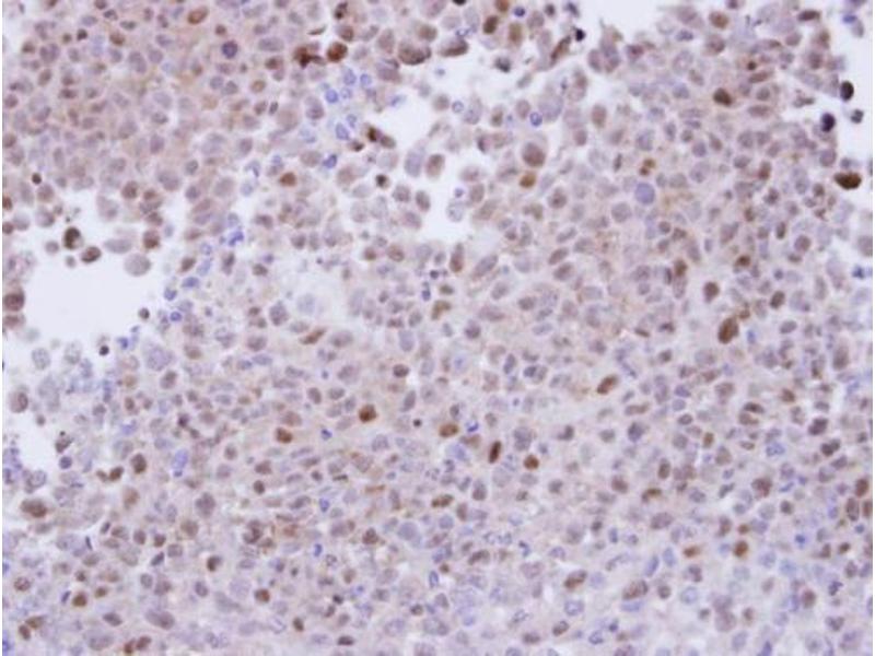
The 兔 多克隆 anti-PSMA7 antibody (ABIN2855151) specifically detects PSMA7 in WB 和 IHC (p). The antibody is reactive with 人 和 小鼠 samples.
产品编号 ABIN2855151
发货至: 中国
Contact our Customer Service for availability and price in your country. Contact Info

Our Local Distributor

中国
北京 101111
No. 88 KeChuang 6th Street
Beijing Economic Technological Development Area
Room 801-803
4A Biotech Co.,Ltd.
Tel +86 (0512) 65829739 传真 +86 (010) 6788 5057

Quick Overview for PSMA7 抗体 (Center) (ABIN2855151)

抗原

See all PSMA7 抗体
PSMA7 (Proteasome Subunit alpha 7 (PSMA7))

适用

  • 54
  • 26
  • 18
  • 1
人, 小鼠

宿主

  • 46
  • 8

克隆类型

  • 46
  • 8
多克隆

标记

  • 26
  • 5
  • 2
  • 2
  • 1
  • 1
  • 1
  • 1
  • 1
  • 1
  • 1
  • 1
  • 1
  • 1
  • 1
  • 1
  • 1
  • 1
  • 1
  • 1
  • 1
  • 1
  • 1
This PSMA7 antibody is un-conjugated

应用范围

  • 44
  • 18
  • 16
  • 13
  • 8
  • 8
  • 6
  • 5
  • 2
  • 1
  • 1
Western Blotting (WB), Immunohistochemistry (Paraffin-embedded Sections) (IHC (p))
  • 抗原表位

    • 6
    • 4
    • 3
    • 2
    • 1
    • 1
    • 1
    • 1
    • 1
    • 1
    • 1
    Center

    交叉反应

    小鸡, 猪, 大鼠, 牛, Xenopus tropicalis

    交叉反应 (详细)

    Chicken (96 %), Pig (98 %), Rat (98 %), Bovine (99 %), Xenopus tropicalis (97 %)

    产品特性

    Rabbit Polyclonal antibody to PSMA7 (proteasome (prosome, macropain) subunit, alpha type, 7)
    PSMA7 antibody [N1C3]

    纯化方法

    Purified by antigen-affinity chromatography.

    免疫原

    Recombinant protein encompassing a sequence within the center region of human Proteasome 20S alpha 7. The exact sequence is proprietary.

    亚型

    IgG
  • 应用备注

    Suggested dilution Reference IHC (Formalin-fixed paraffin-embedded sections) 1:100-1:1000* Western blot 1:500-1:3000* Not tested in other applications. *Optimal dilutions/concentrations should be determined by the researcher.Suggested dilutionReferenceIHC (Formalin-fixed paraffin-embedded sections)1:100-1:1000* Western blot1:500-1:3000*

    说明

    Positive Control: 293T , A431 , H1299 , HeLa , HepG2 , Molt-4 , Raji , mouse brain

    限制

    仅限研究用
  • 状态

    Liquid

    浓度

    0.32 mg/mL

    缓冲液

    0.1M Tris, 0.1M Glycine, 10 % Glycerol ( pH 7). 0.01 % Thimerosal was added as a preservative.

    储存液

    Thimerosal (Merthiolate)

    注意事项

    This product contains Thimerosal (Merthiolate): a POISONOUS AND HAZARDOUS SUBSTANCE which should be handled by trained staff only.

    储存条件

    -20 °C

    储存方法

    Keep as concentrated solution. Aliquot and store at -20°C or below. Avoid multiple freeze-thaw cycles.
  • 抗原

    PSMA7 (Proteasome Subunit alpha 7 (PSMA7))

    别名

    PSMA7

    背景

    The proteasome is a multicatalytic proteinase complex with a highly ordered ring-shaped 20S core structure. The core structure is composed of 4 rings of 28 non-identical subunits, 2 rings are composed of 7 alpha subunits and 2 rings are composed of 7 beta subunits. Proteasomes are distributed throughout eukaryotic cells at a high concentration and cleave peptides in an ATP/ubiquitin-dependent process in a non-lysosomal pathway. An essential function of a modified proteasome, the immunoproteasome, is the processing of class I MHC peptides. This gene encodes a member of the peptidase T1A family, that is a 20S core alpha subunit. This particular subunit has been shown to interact specifically with the hepatitis B virus X protein, a protein critical to viral replication. In addition, this subunit is involved in regulating hepatitis virus C internal ribosome entry site (IRES) activity, an activity essential for viral replication. This core alpha subunit is also involved in regulating the hypoxia-inducible factor-1alpha, a transcription factor important for cellular responses to oxygen tension. Multiple isoforms of this subunit arising from alternative splicing may exist but alternative transcripts for only two isoforms have been defined. A pseudogene has been identified on chromosome 9.

    Cellular Localization: Cytoplasm , Nucleus

    分子量

    28 kDa

    基因ID

    5688

    途径

    Mitotic G1-G1/S Phases, DNA Replication, Synthesis of DNA
You are here: