电话:
+86 (0512) 65829739
传真:
+86 (010) 6788 5057
电子邮件:
orders@antibodies-online.cn

PRAS40 抗体 (AA 132-256)

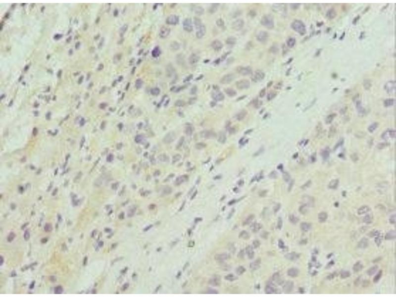
The 兔 多克隆 anti-PRAS40 antibody (ABIN7164754) specifically detects PRAS40 in IHC 和 ELISA. The antibody is reactive with 人 samples.
产品编号 ABIN7164754
发货至: 中国
Contact our Customer Service for availability and price in your country. Contact Info

Our Local Distributor

中国
北京 101111
No. 88 KeChuang 6th Street
Beijing Economic Technological Development Area
Room 801-803
4A Biotech Co.,Ltd.
Tel +86 (0512) 65829739 传真 +86 (010) 6788 5057

Quick Overview for PRAS40 抗体 (AA 132-256) (ABIN7164754)

抗原

See all PRAS40 (AKT1S1) 抗体
PRAS40 (AKT1S1) (AKT1 Substrate 1 (Proline-Rich) (AKT1S1))

适用

  • 107
  • 58
  • 40
  • 6
  • 5
  • 5
  • 4
  • 4
  • 2
  • 1
  • 1
  • 1
  • 1

宿主

  • 97
  • 12

克隆类型

  • 59
  • 50
多克隆

标记

  • 46
  • 8
  • 6
  • 4
  • 4
  • 4
  • 4
  • 4
  • 4
  • 4
  • 3
  • 3
  • 2
  • 2
  • 1
  • 1
  • 1
  • 1
  • 1
  • 1
  • 1
  • 1
  • 1
  • 1
  • 1
This PRAS40 antibody is un-conjugated

应用范围

  • 96
  • 44
  • 38
  • 29
  • 15
  • 15
  • 14
  • 13
  • 11
  • 10
  • 4
Immunohistochemistry (IHC), ELISA
  • 抗原表位

    • 17
    • 15
    • 7
    • 6
    • 3
    • 2
    • 2
    • 2
    • 2
    • 1
    • 1
    • 1
    • 1
    • 1
    • 1
    • 1
    • 1
    • 1
    AA 132-256

    原理

    AKT1S1 Antibody

    纯化方法

    Antigen Affinity Purified

    免疫原

    Recombinant Human Proline-rich AKT1 substrate 1 protein (132-256AA)

    亚型

    IgG
  • 应用备注

    Optimal working dilution should be determined by the investigator.

    限制

    仅限研究用
  • 状态

    Liquid

    缓冲液

    PBS with 0.02 % sodium azide, 50 % glycerol, pH 7.3.

    储存液

    Sodium azide

    注意事项

    This product contains Sodium azide: a POISONOUS AND HAZARDOUS SUBSTANCE which should be handled by trained staff only.

    储存条件

    -20 °C,-80 °C

    储存方法

    Upon receipt, store at -20°C or -80°C. Avoid repeated freeze.
  • 抗原

    PRAS40 (AKT1S1) (AKT1 Substrate 1 (Proline-Rich) (AKT1S1))

    别名

    AKT1S1

    背景

    Background: Subunit of mTORC1, which regulates cell growth and survival in response to nutrient and hormonal signals. mTORC1 is activated in response to growth factors or amino acids. Growth factor-stimulated mTORC1 activation involves a AKT1-mediated phosphorylation of TSC1-TSC2, which leads to the activation of the RHEB GTPase that potently activates the protein kinase activity of mTORC1. Amino acid-signaling to mTORC1 requires its relocalization to the lysosomes mediated by the Ragulator complex and the Rag GTPases. Activated mTORC1 up-regulates protein synthesis by phosphorylating key regulators of mRNA translation and ribosome synthesis. mTORC1 phosphorylates EIF4EBP1 and releases it from inhibiting the elongation initiation factor 4E (eiF4E). mTORC1 phosphorylates and activates S6K1 at \\\'Thr-389\\\', which then promotes protein synthesis by phosphorylating PDCD4 and targeting it for degradation. Within mTORC1, AKT1S1 negatively regulates mTOR activity in a manner that is dependent on its phosphorylation state and binding to 14-3-3 proteins. Inhibits RHEB-GTP-dependent mTORC1 activation. Substrate for AKT1 phosphorylation, but can also be activated by AKT1-independent mechanisms. May also play a role in nerve growth factor-mediated neuroprotection.

    Aliases: 40 kDa proline rich AKT substrate antibody, 40 kDa proline-rich AKT substrate antibody, AKT1 S1 antibody, AKT1 substrate 1 (proline rich) antibody, AKT1 substrate 1 antibody, AKT1S 1 antibody, AKT1S1 antibody, AKTS1_HUMAN antibody, Lobe antibody, MGC2865 antibody, PRAS 40 antibody, PRAS antibody, PRAS40 antibody, Proline rich akt substrate antibody, Proline rich Akt substrate 40 kDa antibody, Proline-rich AKT1 substrate 1 antibody

    UniProt

    Q96B36

    途径

    Fc-epsilon Receptor Signaling Pathway, EGFR Signaling Pathway, Neurotrophin Signaling Pathway, Regulation of Cell Size, Autophagy, BCR Signaling, Warburg Effect
You are here: