电话:
+86 (0512) 65829739
传真:
+86 (010) 6788 5057
电子邮件:
orders@antibodies-online.cn

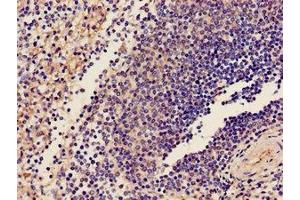
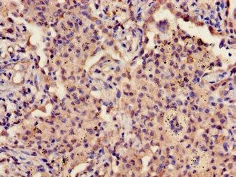
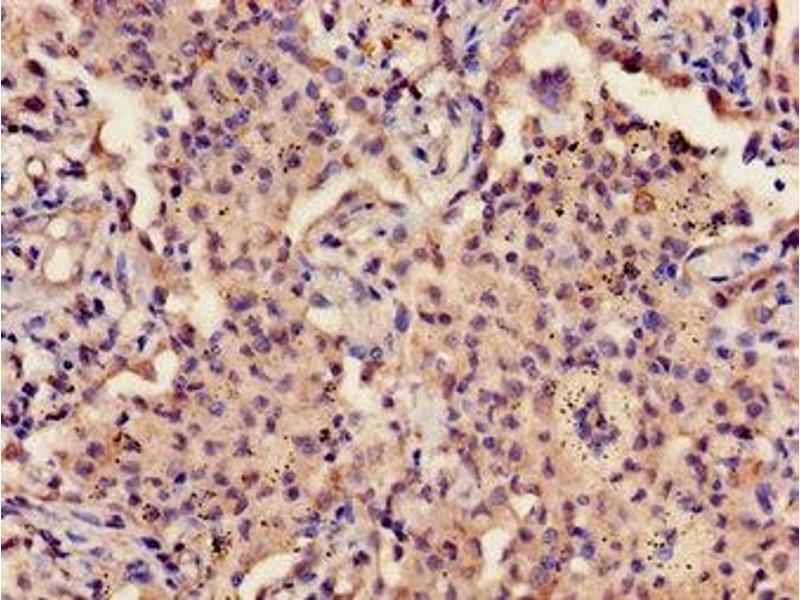
CD42a 抗体 (AA 17-88)

The 兔 多克隆 anti-CD42a antibody is suitable to detect CD42a in samples from 人. It has been validated for IHC, ELISA 和 IF.
产品编号 ABIN7163589
发货至: 中国
Contact our Customer Service for availability and price in your country. Contact Info

Our Local Distributor

中国
北京 101111
No. 88 KeChuang 6th Street
Beijing Economic Technological Development Area
Room 801-803
4A Biotech Co.,Ltd.
Tel +86 (0512) 65829739 传真 +86 (010) 6788 5057

Quick Overview for CD42a 抗体 (AA 17-88) (ABIN7163589)

抗原

See all CD42a (GP9) 抗体
CD42a (GP9) (Glycoprotein IX (Platelet) (GP9))

适用

  • 69
  • 14
  • 8
  • 7
  • 6
  • 2
  • 2
  • 1
  • 1
  • 1

宿主

  • 42
  • 31

克隆类型

  • 43
  • 29
  • 1
多克隆

标记

  • 34
  • 9
  • 6
  • 5
  • 4
  • 2
  • 1
  • 1
  • 1
  • 1
  • 1
  • 1
  • 1
  • 1
  • 1
  • 1
  • 1
  • 1
  • 1
This CD42a antibody is un-conjugated

应用范围

  • 31
  • 31
  • 19
  • 16
  • 9
  • 9
  • 8
  • 2
  • 2
  • 1
  • 1
Immunohistochemistry (IHC), ELISA, Immunofluorescence (IF)
  • 抗原表位

    • 12
    • 8
    • 4
    • 3
    • 3
    • 2
    • 2
    • 2
    • 1
    • 1
    • 1
    AA 17-88

    原理

    GP9 Antibody

    纯化方法

    Protein G purified

    纯度

    >95 %

    免疫原

    Recombinant Human Platelet glycoprotein IX protein (17-88AA)

    亚型

    IgG
  • 应用备注

    Optimal working dilution should be determined by the investigator.

    限制

    仅限研究用
  • 状态

    Liquid

    缓冲液

    Preservative: 0.03 % Proclin 300
    Constituents: 50 % Glycerol, 0.01M PBS, pH 7.4

    储存液

    ProClin

    注意事项

    This product contains ProClin: a POISONOUS AND HAZARDOUS SUBSTANCE which should be handled by trained staff only.

    储存条件

    -20 °C,-80 °C

    储存方法

    Upon receipt, store at -20°C or -80°C. Avoid repeated freeze.
  • 抗原

    CD42a (GP9) (Glycoprotein IX (Platelet) (GP9))

    别名

    GP9

    背景

    Background: The GPIb-V-IX complex functions as the vWF receptor and mediates vWF-dependent platelet adhesion to blood vessels. The adhesion of platelets to injured vascular surfaces in the arterial circulation is a critical initiating event in hemostasis. GP-IX may provide for membrane insertion and orientation of GP-Ib.

    Aliases: CD42a antibody, Glycoprotein 9 antibody, Glycoprotein IX antibody, Glycoprotein IX (platelet) antibody, Glycoprotein IX precursor antibody, GP IX antibody, GP-IX antibody, GP9 antibody, GPIX antibody, GPIX_HUMAN antibody, Platelet glycoprotein IX antibody

    UniProt

    P14770
You are here: