电话:
+86 (0512) 65829739
传真:
+86 (010) 6788 5057
电子邮件:
orders@antibodies-online.cn

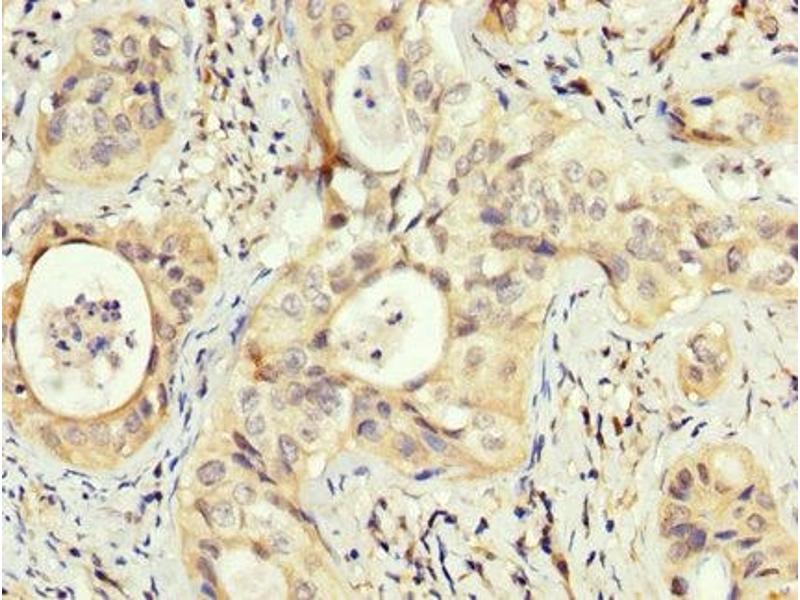
PEX5 抗体 (AA 149-283)

The 兔 多克隆 anti-PEX5 antibody is suitable to detect PEX5 in samples from 人. It has been validated for WB, ELISA 和 IHC.
产品编号 ABIN7162986
发货至: 中国
Contact our Customer Service for availability and price in your country. Contact Info

Our Local Distributor

中国
北京 101111
No. 88 KeChuang 6th Street
Beijing Economic Technological Development Area
Room 801-803
4A Biotech Co.,Ltd.
Tel +86 (0512) 65829739 传真 +86 (010) 6788 5057

Quick Overview for PEX5 抗体 (AA 149-283) (ABIN7162986)

抗原

See all PEX5 抗体
PEX5 (Peroxisomal Biogenesis Factor 5 (PEX5))

适用

  • 32
  • 31
  • 16
  • 5
  • 4
  • 4
  • 3
  • 3
  • 2
  • 2
  • 1

宿主

  • 41
  • 4
  • 1

克隆类型

  • 42
  • 4
多克隆

标记

  • 20
  • 3
  • 3
  • 2
  • 1
  • 1
  • 1
  • 1
  • 1
  • 1
  • 1
  • 1
  • 1
  • 1
  • 1
  • 1
  • 1
  • 1
  • 1
  • 1
  • 1
  • 1
This PEX5 antibody is un-conjugated

应用范围

  • 19
  • 14
  • 13
  • 13
  • 6
  • 4
  • 4
  • 3
  • 2
  • 2
  • 1
Western Blotting (WB), ELISA, Immunohistochemistry (IHC)
  • 抗原表位

    • 15
    • 4
    • 3
    • 2
    • 2
    • 1
    • 1
    • 1
    • 1
    • 1
    AA 149-283

    原理

    PEX5 Antibody

    纯化方法

    Protein G purified

    纯度

    >95 %

    免疫原

    Recombinant Human Peroxisomal targeting signal 1 receptor protein (149-283AA)

    亚型

    IgG
  • 应用备注

    Optimal working dilution should be determined by the investigator.

    限制

    仅限研究用
  • 状态

    Liquid

    缓冲液

    Preservative: 0.03 % Proclin 300
    Constituents: 50 % Glycerol, 0.01M PBS, pH 7.4

    储存液

    ProClin

    注意事项

    This product contains ProClin: a POISONOUS AND HAZARDOUS SUBSTANCE which should be handled by trained staff only.

    储存条件

    -20 °C,-80 °C

    储存方法

    Upon receipt, store at -20°C or -80°C. Avoid repeated freeze.
  • 抗原

    PEX5 (Peroxisomal Biogenesis Factor 5 (PEX5))

    别名

    PEX5

    背景

    Background: Binds to the C-terminal PTS1-type tripeptide peroxisomal targeting signal (SKL-type) and plays an essential role in peroxisomal protein import.

    Aliases: FLJ50634 antibody, FLJ50721 antibody, FLJ51948 antibody, PBD2A antibody, PBD2B antibody, Peroxin 5 antibody, Peroxin-5 antibody, Peroxisomal biogenesis factor 5 antibody, Peroxisomal C terminal targeting signal import receptor antibody, Peroxisomal C-terminal targeting signal import receptor antibody, Peroxisomal targeting signal 1 (SKL type) receptor antibody, Peroxisomal targeting signal 1 receptor antibody, Peroxisomal targeting signal import receptor antibody, Peroxisomal targeting signal receptor 1 antibody, Peroxisome receptor 1 antibody, pex5 antibody, PEX5_HUMAN antibody, PTS1 BP antibody, PTS1 receptor antibody, PTS1-BP antibody, PTS1R antibody, PXR1 antibody

    UniProt

    P50542

    途径

    Monocarboxylic Acid Catabolic Process
You are here: