电话:
+86 (0512) 65829739
传真:
+86 (010) 6788 5057
电子邮件:
orders@antibodies-online.cn

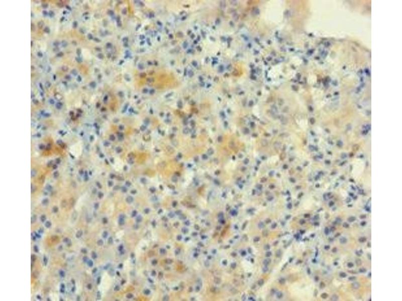
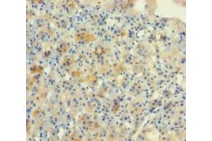
NUP153 抗体 (AA 657-880)

The 兔 多克隆 anti-NUP153 antibody is suitable to detect NUP153 in samples from 人. It has been validated for ELISA 和 IHC.
产品编号 ABIN7161819
发货至: 中国
Contact our Customer Service for availability and price in your country. Contact Info

Our Local Distributor

中国
北京 101111
No. 88 KeChuang 6th Street
Beijing Economic Technological Development Area
Room 801-803
4A Biotech Co.,Ltd.
Tel +86 (0512) 65829739 传真 +86 (010) 6788 5057

Quick Overview for NUP153 抗体 (AA 657-880) (ABIN7161819)

抗原

See all NUP153 抗体
NUP153 (Nucleoporin 153kDa (NUP153))

适用

  • 45
  • 8
  • 3
  • 2
  • 2
  • 1
  • 1
  • 1
  • 1
  • 1
  • 1

宿主

  • 44
  • 1
  • 1
  • 1

克隆类型

  • 25
  • 22
多克隆

标记

  • 27
  • 3
  • 2
  • 2
  • 2
  • 2
  • 2
  • 2
  • 2
  • 1
  • 1
  • 1
This NUP153 antibody is un-conjugated

应用范围

  • 35
  • 17
  • 16
  • 16
  • 11
  • 8
  • 4
  • 2
  • 1
  • 1
ELISA, Immunohistochemistry (IHC)
  • 抗原表位

    • 4
    • 4
    • 3
    • 2
    • 2
    • 2
    • 2
    • 2
    • 1
    • 1
    • 1
    • 1
    AA 657-880

    原理

    NUP153 Antibody

    纯化方法

    Protein G purified

    纯度

    >95 %

    免疫原

    Recombinant Human Nuclear pore complex protein Nup153 protein (657-880AA)

    亚型

    IgG
  • 应用备注

    Optimal working dilution should be determined by the investigator.

    限制

    仅限研究用
  • 状态

    Liquid

    缓冲液

    Preservative: 0.03 % Proclin 300
    Constituents: 50 % Glycerol, 0.01M PBS, PH 7.4

    储存液

    ProClin

    注意事项

    This product contains ProClin: a POISONOUS AND HAZARDOUS SUBSTANCE which should be handled by trained staff only.

    储存条件

    -20 °C,-80 °C

    储存方法

    Upon receipt, store at -20°C or -80°C. Avoid repeated freeze.
  • 抗原

    NUP153 (Nucleoporin 153kDa (NUP153))

    别名

    NUP153

    背景

    Background: Component of the nuclear pore complex (NPC), a complex required for the trafficking across the nuclear envelope. Functions as a scaffolding element in the nuclear phase of the NPC essential for normal nucleocytoplasmic transport of proteins and mRNAs. Involved in the quality control and retention of unspliced mRNAs in the nucleus, in association with TPR, regulates the nuclear export of unspliced mRNA species bearing constitutive transport element (CTE) in a NXF1- and KHDRBS1-independent manner. Mediates TPR anchoring to the nuclear membrane at NPC. The repeat-containing domain may be involved in anchoring other components of the NPC to the pore membrane. Possible DNA-binding subunit of the nuclear pore complex (NPC).

    Aliases: 153 kDa nucleoporin antibody, HNUP153 antibody, N153 antibody, NU153_HUMAN antibody, Nuclear pore complex protein hnup153 antibody, Nuclear pore complex protein Nup153 antibody, Nucleoporin 153 kDa antibody, Nucleoporin Nup153 antibody, Nup 153 antibody, Nup153 antibody

    UniProt

    P49790

    途径

    Protein targeting to Nucleus
You are here: