电话:
+86 (0512) 65829739
传真:
+86 (010) 6788 5057
电子邮件:
orders@antibodies-online.cn

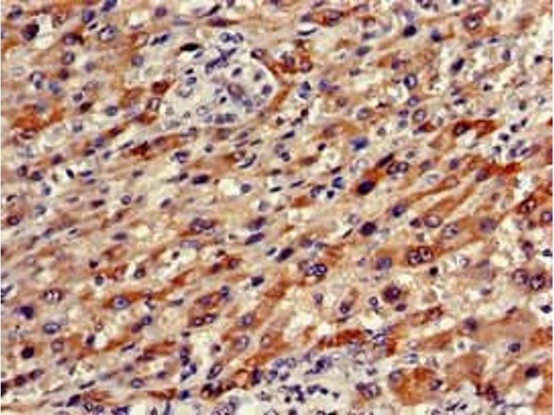
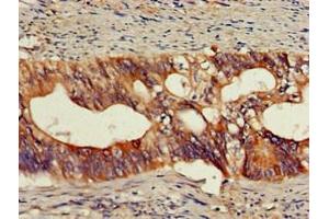
Olfactomedin 1 抗体 (AA 374-441)

The 兔 多克隆 anti-Olfactomedin 1 antibody (ABIN7161673) specifically detects Olfactomedin 1 in WB, ELISA 和 IHC. The antibody is reactive with 人 samples.
产品编号 ABIN7161673
发货至: 中国
Contact our Customer Service for availability and price in your country. Contact Info

Our Local Distributor

中国
北京 101111
No. 88 KeChuang 6th Street
Beijing Economic Technological Development Area
Room 801-803
4A Biotech Co.,Ltd.
Tel +86 (0512) 65829739 传真 +86 (010) 6788 5057

Quick Overview for Olfactomedin 1 抗体 (AA 374-441) (ABIN7161673)

抗原

See all Olfactomedin 1 (OLFM1) 抗体
Olfactomedin 1 (OLFM1)

适用

  • 65
  • 22
  • 14
  • 4
  • 3
  • 3
  • 3
  • 3
  • 2
  • 2
  • 2
  • 1
  • 1
  • 1

宿主

  • 62
  • 10
  • 1

克隆类型

  • 63
  • 10
多克隆

标记

  • 31
  • 7
  • 6
  • 4
  • 2
  • 2
  • 1
  • 1
  • 1
  • 1
  • 1
  • 1
  • 1
  • 1
  • 1
  • 1
  • 1
  • 1
  • 1
  • 1
  • 1
  • 1
  • 1
  • 1
  • 1
  • 1
  • 1
This Olfactomedin 1 antibody is un-conjugated

应用范围

  • 55
  • 34
  • 20
  • 13
  • 13
  • 7
  • 7
  • 3
  • 2
  • 1
  • 1
  • 1
Western Blotting (WB), ELISA, Immunohistochemistry (IHC)
  • 抗原表位

    • 15
    • 9
    • 8
    • 8
    • 7
    • 6
    • 6
    • 5
    • 2
    • 2
    • 1
    • 1
    • 1
    • 1
    • 1
    • 1
    AA 374-441

    原理

    OLFM1 Antibody

    交叉反应

    小鼠

    纯化方法

    Protein G purified

    纯度

    >95 %

    免疫原

    Recombinant Human Noelin protein (374-441AA)

    亚型

    IgG
  • 应用备注

    Optimal working dilution should be determined by the investigator.

    限制

    仅限研究用
  • 状态

    Liquid

    缓冲液

    Preservative: 0.03 % Proclin 300
    Constituents: 50 % Glycerol, 0.01M PBS, pH 7.4

    储存液

    ProClin

    注意事项

    This product contains ProClin: a POISONOUS AND HAZARDOUS SUBSTANCE which should be handled by trained staff only.

    储存条件

    -20 °C,-80 °C

    储存方法

    Upon receipt, store at -20°C or -80°C. Avoid repeated freeze.
  • 抗原

    Olfactomedin 1 (OLFM1)

    别名

    OLFM1

    背景

    Background: Contributes to the regulation of axonal growth in the embryonic and adult central nervous system by inhibiting interactions between RTN4R and LINGO1. Inhibits RTN4R-mediated axon growth cone collapse (By similarity). May play an important role in regulating the production of neural crest cells by the neural tube (By similarity). May be required for normal responses to olfactory stimuli (By similarity).

    Aliases: AMY antibody, NEUROBLASTOMA PROTEIN antibody, Neuronal olfactomedin-related ER localized protein antibody, Noe1 antibody, NOE1_HUMAN antibody, Noel antibody, Noel1 antibody, Noelin antibody, Noelin1 antibody, OlfA antibody, Olfactomedin 1 antibody, Olfactomedin-1 antibody, Olfm1 antibody, Pancortin 1 antibody, Pancortin antibody

    UniProt

    Q99784
You are here: