电话:
+86 (0512) 65829739
传真:
+86 (010) 6788 5057
电子邮件:
orders@antibodies-online.cn

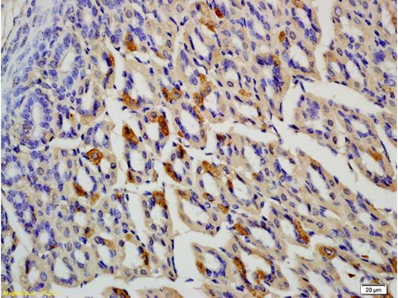
Olfactomedin 1 抗体 (AA 101-200)

The 兔 多克隆 anti-Olfactomedin 1 antibody is suitable to detect Olfactomedin 1 in samples from 人 和 大鼠. It has been validated for WB, ELISA, IF (cc), IF (p), IHC (p) 和 IHC (fro).
产品编号 ABIN678308
发货至: 中国
Contact our Customer Service for availability and price in your country. Contact Info

Our Local Distributor

中国
北京 101111
No. 88 KeChuang 6th Street
Beijing Economic Technological Development Area
Room 801-803
4A Biotech Co.,Ltd.
Tel +86 (0512) 65829739 传真 +86 (010) 6788 5057

Quick Overview for Olfactomedin 1 抗体 (AA 101-200) (ABIN678308)

抗原

See all Olfactomedin 1 (OLFM1) 抗体
Olfactomedin 1 (OLFM1)

适用

  • 65
  • 21
  • 14
  • 4
  • 3
  • 3
  • 3
  • 3
  • 2
  • 2
  • 2
  • 1
  • 1
  • 1
人, 大鼠

宿主

  • 62
  • 10
  • 1

克隆类型

  • 63
  • 10
多克隆

标记

  • 31
  • 7
  • 6
  • 4
  • 2
  • 2
  • 1
  • 1
  • 1
  • 1
  • 1
  • 1
  • 1
  • 1
  • 1
  • 1
  • 1
  • 1
  • 1
  • 1
  • 1
  • 1
  • 1
  • 1
  • 1
  • 1
  • 1
This Olfactomedin 1 antibody is un-conjugated

应用范围

  • 55
  • 34
  • 21
  • 12
  • 12
  • 7
  • 6
  • 2
  • 2
  • 1
  • 1
  • 1
Western Blotting (WB), ELISA, Immunofluorescence (Cultured Cells) (IF (cc)), Immunofluorescence (Paraffin-embedded Sections) (IF (p)), Immunohistochemistry (Paraffin-embedded Sections) (IHC (p)), Immunohistochemistry (Frozen Sections) (IHC (fro))
  • 抗原表位

    • 14
    • 9
    • 8
    • 8
    • 7
    • 6
    • 6
    • 6
    • 2
    • 2
    • 1
    • 1
    • 1
    • 1
    • 1
    • 1
    AA 101-200

    交叉反应

    人, 大鼠

    预测反应

    Mouse,Horse,Chicken

    纯化方法

    Purified by Protein A.

    免疫原

    KLH conjugated synthetic peptide derived from human Noelin

    亚型

    IgG
  • 应用备注

    WB 1:300-5000
    ELISA 1:500-1000
    IHC-P 1:200-400
    IHC-F 1:100-500
    IF(IHC-P) 1:50-200
    IF(IHC-F) 1:50-200
    IF(ICC) 1:50-200

    限制

    仅限研究用
  • 状态

    Liquid

    浓度

    1 μg/μL

    缓冲液

    0.01M TBS( pH 7.4) with 1 % BSA, 0.02 % Proclin300 and 50 % Glycerol.

    储存液

    ProClin

    注意事项

    This product contains ProClin: a POISONOUS AND HAZARDOUS SUBSTANCE, which should be handled by trained staff only.

    储存条件

    4 °C,-20 °C

    储存方法

    Shipped at 4°C. Store at -20°C for one year. Avoid repeated freeze/thaw cycles.

    有效期

    12 months
  • 抗原

    Olfactomedin 1 (OLFM1)

    别名

    Noelin

    背景

    Synonyms: AMY, NOE1, OlfA, NOELIN1, Noelin, Neuronal olfactomedin-related ER localized protein, Olfactomedin-1, OLFM1, NOEL1

    Background: The Olfactomedin family comprises a diverse group of secreted glycoproteins, which includes OLFM1 (Noelin-1), OLFM2 (Noelin-2), OLFM3 (Noelin-3), OLFM4 (Noelin-4), tiarin, pancortin, gliomedin and mycocilin. These proteins are implicated in the development of the nervous system. Specifically, OLFM1 and OLFM2 expression is observed in the neural plate and neural crest, as well as in the cranial ganglia in mouse at E8-10, and later in brain tissue and in the zone of polarizing activity in the limb. Overexpression of OLFM1 causes an excess of neural crest emigrations and prolonged neural crest production. OLFM2 participates in the regulation of the development of the anterior nervous system. An Arg144Gln mutation in OLFM2 has been implicated as a possible cause for open-angle glaucoma (OAG).

    基因ID

    10439

    UniProt

    Q99784
You are here: