电话:
+86 (0512) 65829739
传真:
+86 (010) 6788 5057
电子邮件:
orders@antibodies-online.cn

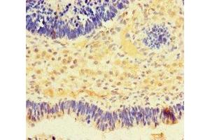
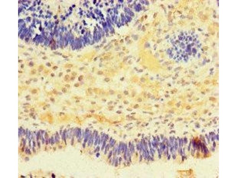
NMNAT2 抗体 (AA 1-153)

The 兔 多克隆 anti-NMNAT2 antibody (ABIN7161580) specifically detects NMNAT2 in ELISA 和 IHC. The antibody is reactive with 人 samples.
产品编号 ABIN7161580
发货至: 中国
Contact our Customer Service for availability and price in your country. Contact Info

Our Local Distributor

中国
北京 101111
No. 88 KeChuang 6th Street
Beijing Economic Technological Development Area
Room 801-803
4A Biotech Co.,Ltd.
Tel +86 (0512) 65829739 传真 +86 (010) 6788 5057

Quick Overview for NMNAT2 抗体 (AA 1-153) (ABIN7161580)

抗原

See all NMNAT2 抗体
NMNAT2 (Nicotinamide Nucleotide Adenylyltransferase 2 (NMNAT2))

适用

  • 23
  • 3
  • 2

宿主

  • 15
  • 8
  • 1

克隆类型

  • 17
  • 7
多克隆

标记

  • 12
  • 4
  • 2
  • 2
  • 2
  • 2
This NMNAT2 antibody is un-conjugated

应用范围

  • 19
  • 17
  • 4
  • 4
  • 3
ELISA, Immunohistochemistry (IHC)
  • 抗原表位

    • 6
    • 5
    • 4
    • 2
    • 1
    • 1
    • 1
    • 1
    • 1
    • 1
    AA 1-153

    原理

    NMNAT2 Antibody

    纯化方法

    Protein G purified

    纯度

    >95 %

    免疫原

    Recombinant Human Nicotinamide/nicotinic acid mononucleotide adenylyltransferase 2 protein (1-153AA)

    亚型

    IgG
  • 应用备注

    Optimal working dilution should be determined by the investigator.

    限制

    仅限研究用
  • 状态

    Liquid

    缓冲液

    Preservative: 0.03 % Proclin 300
    Constituents: 50 % Glycerol, 0.01M PBS, PH 7.4

    储存液

    ProClin

    注意事项

    This product contains ProClin: a POISONOUS AND HAZARDOUS SUBSTANCE which should be handled by trained staff only.

    储存条件

    -20 °C,-80 °C

    储存方法

    Upon receipt, store at -20°C or -80°C. Avoid repeated freeze.
  • 抗原

    NMNAT2 (Nicotinamide Nucleotide Adenylyltransferase 2 (NMNAT2))

    别名

    NMNAT2

    背景

    Background: Catalyzes the formation of NAD(+) from nicotinamide mononucleotide (NMN) and ATP. Can also use the deamidated form, nicotinic acid mononucleotide (NaMN) as substrate but with a lower efficiency. Cannot use triazofurin monophosphate (TrMP) as substrate. Also catalyzes the reverse reaction, i.e. the pyrophosphorolytic cleavage of NAD(+). For the pyrophosphorolytic activity prefers NAD(+), NADH and NaAD as substrates and degrades nicotinic acid adenine dinucleotide phosphate (NHD) less effectively. Fails to cleave phosphorylated dinucleotides NADP(+), NADPH and NaADP(+).

    Aliases: C1orf15 antibody, KIAA0479 antibody, MGC2756 antibody, NaMN adenylyltransferase 2 antibody, Nicotinamide mononucleotide adenylyltransferase 2 antibody, Nicotinamide nucleotide adenylyltransferase 2 antibody, Nicotinate-nucleotide adenylyltransferase 2 antibody, NMN adenylyltransferase 2 antibody, NMNA2_HUMAN antibody, NMNAT 2 antibody, Nmnat2 antibody, PNAT 2 antibody, PNAT2 antibody, Pyridine nucleotide adenylyltransferase 2 antibody

    UniProt

    Q9BZQ4
You are here: