电话:
+86 (0512) 65829739
传真:
+86 (010) 6788 5057
电子邮件:
orders@antibodies-online.cn

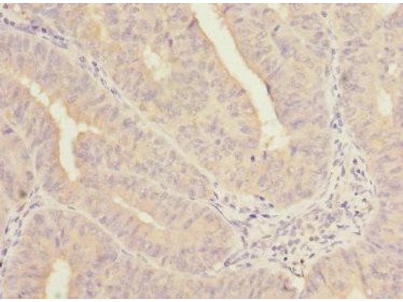
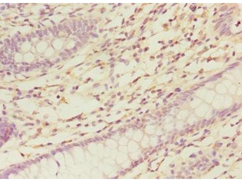
COBRA1 抗体 (AA 8-199)

The 兔 多克隆 anti-COBRA1 antibody (ABIN7161139) specifically detects COBRA1 in WB, ELISA, IHC 和 ChIP. The antibody is reactive with 人 samples.
产品编号 ABIN7161139
发货至: 中国
Contact our Customer Service for availability and price in your country. Contact Info

Our Local Distributor

中国
北京 101111
No. 88 KeChuang 6th Street
Beijing Economic Technological Development Area
Room 801-803
4A Biotech Co.,Ltd.
Tel +86 (0512) 65829739 传真 +86 (010) 6788 5057

Quick Overview for COBRA1 抗体 (AA 8-199) (ABIN7161139)

抗原

See all COBRA1 抗体
COBRA1 (Cofactor of BRCA1 (COBRA1))

适用

  • 48
  • 17
  • 7
  • 1
  • 1
  • 1
  • 1

宿主

  • 42
  • 6

克隆类型

  • 41
  • 7
多克隆

标记

  • 25
  • 5
  • 5
  • 3
  • 2
  • 2
  • 1
  • 1
  • 1
  • 1
  • 1
  • 1
This COBRA1 antibody is un-conjugated

应用范围

  • 37
  • 20
  • 11
  • 6
  • 5
  • 3
  • 3
  • 2
  • 2
  • 1
  • 1
  • 1
Western Blotting (WB), ELISA, Immunohistochemistry (IHC), Chromatin Immunoprecipitation (ChIP)
  • 抗原表位

    • 6
    • 4
    • 4
    • 4
    • 4
    • 3
    • 3
    • 1
    • 1
    • 1
    • 1
    • 1
    • 1
    AA 8-199

    原理

    NELFB Antibody

    交叉反应

    小鼠

    纯化方法

    Protein G purified

    纯度

    >95 %

    免疫原

    Recombinant Human Negative elongation factor B protein (8-199AA)

    亚型

    IgG
  • 应用备注

    Optimal working dilution should be determined by the investigator.

    限制

    仅限研究用
  • 状态

    Liquid

    缓冲液

    Preservative: 0.03 % Proclin 300
    Constituents: 50 % Glycerol, 0.01M PBS, PH 7.4

    储存液

    ProClin

    注意事项

    This product contains ProClin: a POISONOUS AND HAZARDOUS SUBSTANCE which should be handled by trained staff only.

    储存条件

    -20 °C,-80 °C

    储存方法

    Upon receipt, store at -20°C or -80°C. Avoid repeated freeze.
  • 抗原

    COBRA1 (Cofactor of BRCA1 (COBRA1))

    别名

    NELFB

    背景

    Background: Essential component of the NELF complex, a complex that negatively regulates the elongation of transcription by RNA polymerase II. The NELF complex, which acts via an association with the DSIF complex and causes transcriptional pausing, is counteracted by the P-TEFb kinase complex. The NELF complex is involved in HIV-1 latency possibly involving recruitment of PCF11 to paused RNA polymerase II. Binds RNA which may help to stabilize the NELF complex on nucleic acid. In vitro, binds weakly to the HIV-1 TAR RNA which is located in the long terminal repeat (LTR) of HIV-1. May be able to induce chromatin unfolding.

    Aliases: NELFB antibody, COBRA1 antibody, KIAA1182 antibody, Negative elongation factor B antibody, NELF-B antibody, Cofactor of BRCA1 antibody

    UniProt

    Q8WX92
You are here: