电话:
+86 (0512) 65829739
传真:
+86 (010) 6788 5057
电子邮件:
orders@antibodies-online.cn

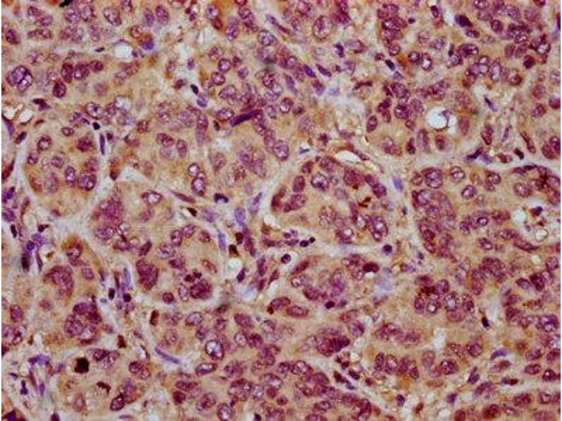
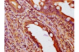
NOXO1 抗体 (AA 304-376)

The 兔 多克隆 anti-NOXO1 antibody (ABIN7161019) specifically detects NOXO1 in ELISA, IHC 和 IF. The antibody is reactive with 人 samples.
产品编号 ABIN7161019
发货至: 中国
Contact our Customer Service for availability and price in your country. Contact Info

Our Local Distributor

中国
北京 101111
No. 88 KeChuang 6th Street
Beijing Economic Technological Development Area
Room 801-803
4A Biotech Co.,Ltd.
Tel +86 (0512) 65829739 传真 +86 (010) 6788 5057

Quick Overview for NOXO1 抗体 (AA 304-376) (ABIN7161019)

抗原

See all NOXO1 抗体
NOXO1 (NADPH Oxidase Organizer 1 (NOXO1))

适用

  • 25
  • 4
  • 1
  • 1
  • 1

宿主

  • 23
  • 1
  • 1

克隆类型

  • 25
多克隆

标记

  • 17
  • 2
  • 2
  • 2
  • 1
  • 1
This NOXO1 antibody is un-conjugated

应用范围

  • 21
  • 15
  • 4
  • 1
ELISA, Immunohistochemistry (IHC), Immunofluorescence (IF)
  • 抗原表位

    • 7
    • 3
    • 3
    • 2
    • 2
    • 1
    • 1
    • 1
    • 1
    • 1
    • 1
    • 1
    • 1
    • 1
    • 1
    AA 304-376

    原理

    NOXO1 Antibody

    纯化方法

    Protein G purified

    纯度

    >95 %

    免疫原

    Recombinant Human NADPH oxidase organizer 1 protein (304-376AA)

    亚型

    IgG
  • 应用备注

    Optimal working dilution should be determined by the investigator.

    限制

    仅限研究用
  • 状态

    Liquid

    缓冲液

    Preservative: 0.03 % Proclin 300
    Constituents: 50 % Glycerol, 0.01M PBS, pH 7.4

    储存液

    ProClin

    注意事项

    This product contains ProClin: a POISONOUS AND HAZARDOUS SUBSTANCE which should be handled by trained staff only.

    储存条件

    -20 °C,-80 °C

    储存方法

    Upon receipt, store at -20°C or -80°C. Avoid repeated freeze.
  • 抗原

    NOXO1 (NADPH Oxidase Organizer 1 (NOXO1))

    别名

    NOXO1

    背景

    Background: Constitutively potentiates the superoxide-generating activity of NOX1 and NOX3 and is required for the biogenesis of otoconia/otolith, which are crystalline structures of the inner ear involved in the perception of gravity. Isoform 3 is more potent than isoform 1 in activating NOX3. Together with NOXA1, may also substitute to NCF1/p47phox and NCF2/p67phox in supporting the phagocyte NOX2/gp91phox superoxide-generating activity.

    Aliases: NADPH oxidase organizer 1 antibody, NADPH oxidase regulatory protein antibody, Nox organizer 1 antibody, Nox organizing protein 1 antibody, Nox-organizing protein 1 antibody, NOXO1 antibody, NOXO1_HUMAN antibody, P41NOX antibody, Regulatory protein P41NOX antibody, SH3 and PX domain-containing protein 5 antibody, SH3PXD5 antibody

    UniProt

    Q8NFA2
You are here: