电话:
+86 (0512) 65829739
传真:
+86 (010) 6788 5057
电子邮件:
orders@antibodies-online.cn

NOXO1 抗体 (C-Term)

There is 1 publication for this product available. The 山羊 多克隆 anti-NOXO1 antibody is suitable to detect NOXO1 in samples from 人. It has been validated for ELISA 和 IHC.
产品编号 ABIN185195
发货至: 中国
Contact our Customer Service for availability and price in your country. Contact Info

Our Local Distributor

中国
北京 101111
No. 88 KeChuang 6th Street
Beijing Economic Technological Development Area
Room 801-803
4A Biotech Co.,Ltd.
Tel +86 (0512) 65829739 传真 +86 (010) 6788 5057

Quick Overview for NOXO1 抗体 (C-Term) (ABIN185195)

抗原

See all NOXO1 抗体
NOXO1 (NADPH Oxidase Organizer 1 (NOXO1))

适用

  • 25
  • 4
  • 1
  • 1
  • 1

宿主

  • 24
  • 1
山羊

克隆类型

  • 25
多克隆

标记

  • 17
  • 2
  • 2
  • 2
  • 1
  • 1
This NOXO1 antibody is un-conjugated

应用范围

  • 21
  • 15
  • 4
  • 1
  • 1
ELISA, Immunohistochemistry (IHC)

质量等级

Verified
  • 抗原表位

    • 7
    • 4
    • 2
    • 2
    • 2
    • 1
    • 1
    • 1
    • 1
    • 1
    • 1
    • 1
    • 1
    • 1
    • 1
    C-Term

    原理

    NOXO1

    序列

    RGCVDSVPHP TTEQ

    特异性

    This antibody is expected to recognise all three reported isoforms (as represented by NP_653204.1, NP_751907.1and NP_751908.1).

    交叉反应

    纯化方法

    Purified from goat serum by ammonium sulphate precipitation followed by antigen affinity chromatography using the immunizing peptide.

    免疫原

    Peptide with sequence RGCVDSVPHPTTEQ, from the C Terminus of the protein sequence according to NP_653204.1, NP_751907.1, NP_751907.1.

    亚型

    IgG
  • 应用备注

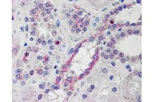
    Immunohistochemistry: In paraffin embedded Human Kidney Cortex shows cytoplasmic stain in epithelial cells of some PCT. Recommended concentration, 10-20 μg/mL.

    Western Blot: Preliminary experiments gave no signal but low background in Hela and Human Heart lysates at up to 1 μg/mL.

    Peptide ELISA: antibody detection limit dilution 1:16000.

    限制

    仅限研究用
  • 状态

    Liquid

    浓度

    0.5 mg/mL

    缓冲液

    Supplied at 0.5 mg/mL in Tris saline, 0.02 % sodium azide, pH 7.3 with 0.5 % bovine serum albumin.

    储存液

    Sodium azide

    注意事项

    This product contains Sodium azide: a POISONOUS AND HAZARDOUS SUBSTANCE which should be handled by trained staff only.

    注意事项

    Minimize freezing and thawing.

    储存条件

    -20 °C

    储存方法

    Aliquot and store at -20°C, with minimal freeze/thawing. A working aliquot may be refrigerated at 4°C for a few weeks and still remain viable.
  • Wu, Gao, Ohlemeyer, Roos, Niessen, Köttgen, Gessner: "Activation of AP-1 through reactive oxygen species by angiotensin II in rat cardiomyocytes." in: Free radical biology & medicine, Vol. 39, Issue 12, pp. 1601-10, (2005) (PubMed).

  • 抗原

    NOXO1 (NADPH Oxidase Organizer 1 (NOXO1))

    别名

    NOXO1

    背景

    NOXO1, P41NOX, P41NOXA, P41NOXB, P41NOXC, MGC20258, NADPH oxidase organizer 1, regulatory protein P41NOX, SH3PXD5, SNX28, Nox organizer 1

    基因ID

    124056

    NCBI登录号

    NP_653204, NP_751907
You are here: