电话:
+86 (0512) 65829739
传真:
+86 (010) 6788 5057
电子邮件:
orders@antibodies-online.cn

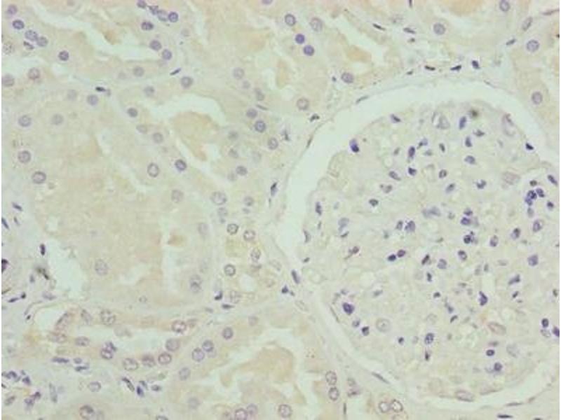
NADPH Oxidase 4 抗体 (AA 210-424)

The 兔 多克隆 anti-NADPH Oxidase 4 antibody (ABIN7161010) specifically detects NADPH Oxidase 4 in ELISA, IHC 和 IF. The antibody is reactive with 人 samples.
产品编号 ABIN7161010
发货至: 中国
Contact our Customer Service for availability and price in your country. Contact Info

Our Local Distributor

中国
北京 101111
No. 88 KeChuang 6th Street
Beijing Economic Technological Development Area
Room 801-803
4A Biotech Co.,Ltd.
Tel +86 (0512) 65829739 传真 +86 (010) 6788 5057

Quick Overview for NADPH Oxidase 4 抗体 (AA 210-424) (ABIN7161010)

抗原

See all NADPH Oxidase 4 (NOX4) 抗体
NADPH Oxidase 4 (NOX4)

适用

  • 106
  • 57
  • 53
  • 4
  • 3
  • 2
  • 2
  • 2
  • 2
  • 2
  • 1
  • 1

宿主

  • 98
  • 15

克隆类型

  • 78
  • 36
多克隆

标记

  • 37
  • 11
  • 7
  • 5
  • 4
  • 3
  • 3
  • 3
  • 3
  • 3
  • 3
  • 2
  • 2
  • 2
  • 2
  • 2
  • 2
  • 2
  • 2
  • 2
  • 2
  • 2
  • 1
  • 1
  • 1
  • 1
  • 1
  • 1
  • 1
  • 1
  • 1
  • 1
This NADPH Oxidase 4 antibody is un-conjugated

应用范围

  • 89
  • 41
  • 41
  • 33
  • 27
  • 19
  • 18
  • 14
  • 13
  • 10
  • 8
  • 4
  • 2
ELISA, Immunohistochemistry (IHC), Immunofluorescence (IF)
  • 抗原表位

    • 16
    • 16
    • 10
    • 7
    • 4
    • 3
    • 2
    • 2
    • 2
    • 2
    • 2
    • 1
    • 1
    • 1
    • 1
    • 1
    • 1
    AA 210-424

    原理

    NOX4 Antibody

    纯化方法

    Protein G purified

    纯度

    >95 %

    免疫原

    Recombinant Human NADPH oxidase 4 protein (210-424AA)

    亚型

    IgG
  • 应用备注

    Optimal working dilution should be determined by the investigator.

    限制

    仅限研究用
  • 状态

    Liquid

    缓冲液

    Preservative: 0.03 % Proclin 300
    Constituents: 50 % Glycerol, 0.01M PBS, PH 7.4

    储存液

    ProClin

    注意事项

    This product contains ProClin: a POISONOUS AND HAZARDOUS SUBSTANCE which should be handled by trained staff only.

    储存条件

    -20 °C,-80 °C

    储存方法

    Upon receipt, store at -20°C or -80°C. Avoid repeated freeze.
  • 抗原

    NADPH Oxidase 4 (NOX4)

    别名

    NOX4

    背景

    Background: Constitutive NADPH oxidase which generates superoxide intracellularly upon formation of a complex with CYBA/p22phox. Regulates signaling cascades probably through phosphatases inhibition. May function as an oxygen sensor regulating the KCNK3/TASK-1 potassium channel and HIF1A activity. May regulate insulin signaling cascade. May play a role in apoptosis, bone resorption and lipolysaccharide-mediated activation of NFKB. May produce superoxide in the nucleus and play a role in regulating gene expression upon cell stimulation. Isoform 3 is not functional. Isoform 5 and isoform 6 display reduced activity.

    Aliases: Kidney oxidase 1 antibody, Kidney oxidase-1 antibody, Kidney superoxide producing NADPH oxidase antibody, Kidney superoxide-producing NADPH oxidase antibody, KOX 1 antibody, KOX antibody, Kox-1 antibody, KOX1 antibody, NADPH antibody, NADPH oxidase 4 antibody, Nox4 antibody, NOX4_HUMAN antibody, Renal NAD(P)H oxidase antibody, Renal NAD(P)H-oxidase antibody, RENOX antibody

    UniProt

    Q9NPH5

    途径

    Carbohydrate Homeostasis, Smooth Muscle Cell Migration
You are here: