电话:
+86 (0512) 65829739
传真:
+86 (010) 6788 5057
电子邮件:
orders@antibodies-online.cn

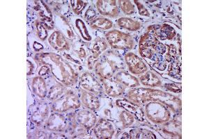
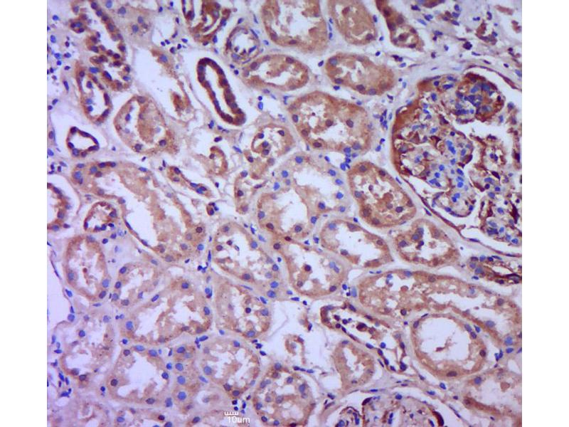
NADPH Oxidase 4 抗体 (AA 201-300)

This 兔 多克隆 antibody specifically detects NADPH Oxidase 4 in WB, ELISA 和 FACS. It exhibits reactivity toward 人.
产品编号 ABIN1385266
发货至: 中国
Contact our Customer Service for availability and price in your country. Contact Info

Our Local Distributor

中国
北京 101111
No. 88 KeChuang 6th Street
Beijing Economic Technological Development Area
Room 801-803
4A Biotech Co.,Ltd.
Tel +86 (0512) 65829739 传真 +86 (010) 6788 5057

Quick Overview for NADPH Oxidase 4 抗体 (AA 201-300) (ABIN1385266)

抗原

See all NADPH Oxidase 4 (NOX4) 抗体
NADPH Oxidase 4 (NOX4)

适用

  • 106
  • 57
  • 53
  • 4
  • 3
  • 2
  • 2
  • 2
  • 2
  • 2
  • 1
  • 1

宿主

  • 98
  • 15

克隆类型

  • 78
  • 36
多克隆

标记

  • 37
  • 11
  • 7
  • 5
  • 4
  • 3
  • 3
  • 3
  • 3
  • 3
  • 3
  • 2
  • 2
  • 2
  • 2
  • 2
  • 2
  • 2
  • 2
  • 2
  • 2
  • 2
  • 1
  • 1
  • 1
  • 1
  • 1
  • 1
  • 1
  • 1
  • 1
  • 1
This NADPH Oxidase 4 antibody is un-conjugated

应用范围

  • 88
  • 41
  • 40
  • 34
  • 28
  • 19
  • 18
  • 14
  • 13
  • 10
  • 8
  • 4
  • 2
Western Blotting (WB), ELISA, Flow Cytometry (FACS)
  • 抗原表位

    • 16
    • 15
    • 11
    • 7
    • 4
    • 3
    • 2
    • 2
    • 2
    • 2
    • 2
    • 1
    • 1
    • 1
    • 1
    • 1
    • 1
    AA 201-300

    交叉反应

    纯化方法

    Purified by Protein A.

    免疫原

    KLH conjugated synthetic peptide derived from human NOX4

    亚型

    IgG
  • 应用备注

    WB 1:300-5000
    ELISA 1:500-1000
    FCM 1:20-100

    限制

    仅限研究用
  • 状态

    Liquid

    浓度

    1 μg/μL

    缓冲液

    0.01M TBS( pH 7.4) with 1 % BSA, 0.02 % Proclin300 and 50 % Glycerol.

    储存液

    ProClin

    注意事项

    This product contains ProClin: a POISONOUS AND HAZARDOUS SUBSTANCE, which should be handled by trained staff only.

    储存条件

    4 °C,-20 °C

    储存方法

    Shipped at 4°C. Store at -20°C for one year. Avoid repeated freeze/thaw cycles.

    有效期

    12 months
  • 抗原

    NADPH Oxidase 4 (NOX4)

    别名

    NADPH oxidase 4

    背景

    Synonyms: Kidney oxidase-1, Kidney superoxide-producing NADPH oxidase, KOX 1, KOX, Kox-1, NADPH, NADPH oxidase 4, Nox4, NOX4_HUMAN, Renal NADPH-oxidase, RENOX.

    Background: Nox4 is a renal gp91-phox homolog highly expressed at the site of erythropoietin production in the proximal convoluted tubule epithelial cells of the renal cortex. Nox4 is also expressed in fetal tissues, placenta, glioblastoma and vascular cells. Like gp91-phox, the enzymatic activity of Nox4 produces superoxide anions. In vascular cells, the addition of angiotensin II increases Nox4 expression, which suggests a role for Nox-4 in vascular oxidative stress response.

    基因ID

    50507

    UniProt

    Q9NPH5

    途径

    Carbohydrate Homeostasis, Smooth Muscle Cell Migration
You are here: