电话:
+86 (0512) 65829739
传真:
+86 (010) 6788 5057
电子邮件:
orders@antibodies-online.cn

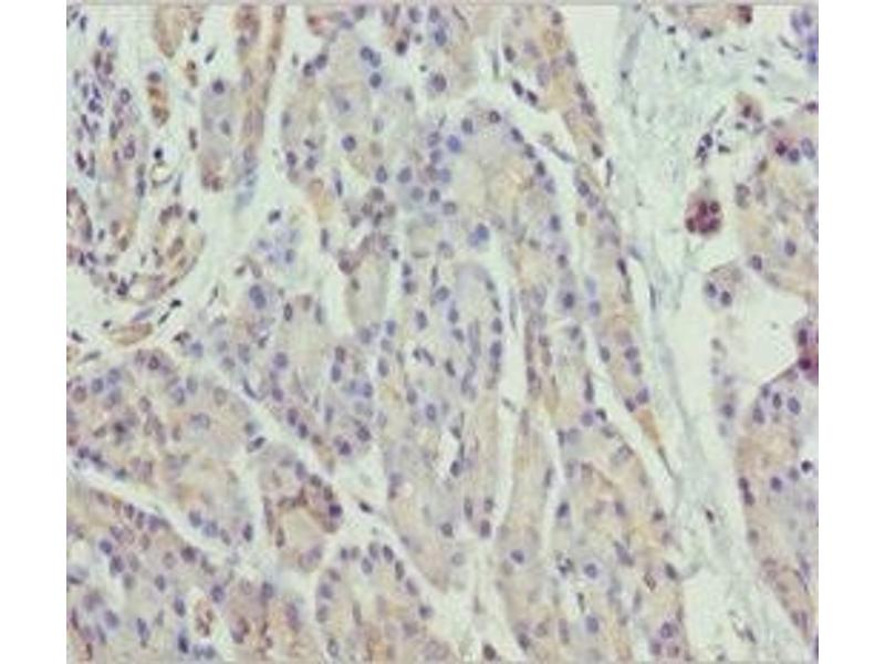
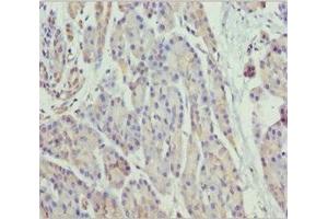
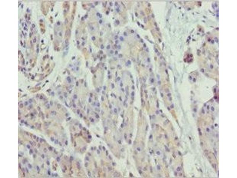
SCYL1 抗体 (N-Term)

The 兔 多克隆 anti-SCYL1 antibody is suitable to detect SCYL1 in samples from 人. It has been validated for IHC 和 ELISA.
产品编号 ABIN7160787
发货至: 中国
Contact our Customer Service for availability and price in your country. Contact Info

Our Local Distributor

中国
北京 101111
No. 88 KeChuang 6th Street
Beijing Economic Technological Development Area
Room 801-803
4A Biotech Co.,Ltd.
Tel +86 (0512) 65829739 传真 +86 (010) 6788 5057

Quick Overview for SCYL1 抗体 (N-Term) (ABIN7160787)

抗原

See all SCYL1 抗体
SCYL1 (SCY1-Like 1 (SCYL1))

适用

  • 29
  • 4
  • 4
  • 2
  • 2
  • 1
  • 1

宿主

  • 28
  • 1

克隆类型

  • 28
  • 1
多克隆

标记

  • 17
  • 2
  • 1
  • 1
  • 1
  • 1
  • 1
  • 1
  • 1
  • 1
  • 1
  • 1
This SCYL1 antibody is un-conjugated

应用范围

  • 18
  • 11
  • 9
  • 4
  • 3
  • 1
  • 1
  • 1
Immunohistochemistry (IHC), ELISA
  • 抗原表位

    • 9
    • 2
    • 2
    • 2
    • 2
    • 1
    • 1
    • 1
    • 1
    AA 460-740, N-Term

    原理

    SCYL1 Antibody

    纯化方法

    Antigen Affinity Purified

    免疫原

    Recombinant Human N-terminal kinase-like protein (460-740AA)

    亚型

    IgG
  • 应用备注

    Optimal working dilution should be determined by the investigator.

    限制

    仅限研究用
  • 状态

    Liquid

    缓冲液

    PBS with 0.02 % sodium azide, 50 % glycerol, pH 7.3.

    储存液

    Sodium azide

    注意事项

    This product contains Sodium azide: a POISONOUS AND HAZARDOUS SUBSTANCE which should be handled by trained staff only.

    储存条件

    -20 °C,-80 °C

    储存方法

    Upon receipt, store at -20°C or -80°C. Avoid repeated freeze.
  • 抗原

    SCYL1 (SCY1-Like 1 (SCYL1))

    别名

    SCYL1

    背景

    Background: Regulates COPI-mediated retrograde traffic. Has no detectable kinase activity in vitro.

    Aliases: Coated vesicle associated kinase of 90 kDa antibody, Coated vesicle-associated kinase of 90 kDa antibody, CVAK90 antibody, GKLP antibody, HT019 antibody, Likely ortholog of mouse N terminal kinase like protein antibody, MGC78454 antibody, N terminal kinase like antibody, N terminal kinase like protein antibody, N-terminal kinase-like protein antibody, NKTL antibody, NTKL antibody, NTKL_HUMAN antibody, NTKLBP1 antibody, P105 antibody, SCY L1 antibody, SCY1 like 1 antibody, SCY1 like 1 protein 1 antibody, SCY1-like protein 1 antibody, SCYL 1 antibody, Scyl1 antibody, SCYL1BP1 antibody, TAPK antibody, TEIF antibody, Telomerase regulation associated protein antibody, Telomerase regulation-associated protein antibody, Telomerase transcriptional element interacting factor antibody, Telomerase transcriptional element-interacting factor antibody, Teratoma associated tyrosine kinase antibody, Teratoma-associated tyrosine kinase antibody, TRAP antibody

    UniProt

    Q96KG9

    途径

    p53 Pathway
You are here: