电话:
+86 (0512) 65829739
传真:
+86 (010) 6788 5057
电子邮件:
orders@antibodies-online.cn

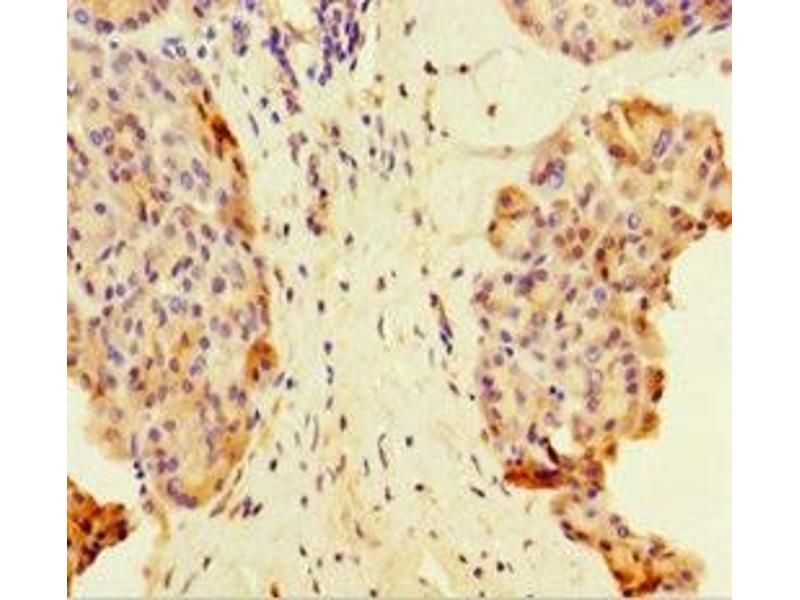
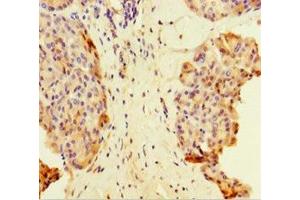
MAML1 抗体 (AA 1-45)

The 兔 多克隆 anti-MAML1 antibody (ABIN7159033) specifically detects MAML1 in ELISA 和 IHC. The antibody is reactive with 人 samples.
产品编号 ABIN7159033
发货至: 中国
Contact our Customer Service for availability and price in your country. Contact Info

Our Local Distributor

中国
北京 101111
No. 88 KeChuang 6th Street
Beijing Economic Technological Development Area
Room 801-803
4A Biotech Co.,Ltd.
Tel +86 (0512) 65829739 传真 +86 (010) 6788 5057

Quick Overview for MAML1 抗体 (AA 1-45) (ABIN7159033)

抗原

See all MAML1 抗体
MAML1 (Mastermind-Like 1 (MAML1))

适用

  • 25
  • 5
  • 2
  • 1
  • 1
  • 1
  • 1
  • 1

宿主

  • 24
  • 1
  • 1

克隆类型

  • 26
多克隆

标记

  • 17
  • 3
  • 2
  • 2
  • 1
  • 1
This MAML1 antibody is un-conjugated

应用范围

  • 21
  • 16
  • 9
  • 5
  • 4
  • 3
  • 3
  • 2
  • 2
  • 1
  • 1
  • 1
ELISA, Immunohistochemistry (IHC)
  • 抗原表位

    • 7
    • 4
    • 3
    • 2
    • 2
    • 2
    • 1
    • 1
    • 1
    • 1
    • 1
    • 1
    • 1
    • 1
    • 1
    AA 1-45

    原理

    MAML1 Antibody

    纯化方法

    Protein G purified

    纯度

    >95 %

    免疫原

    Recombinant Human Mastermind-like protein 1 protein (1-45AA)

    亚型

    IgG
  • 应用备注

    Optimal working dilution should be determined by the investigator.

    限制

    仅限研究用
  • 状态

    Liquid

    缓冲液

    Preservative: 0.03 % Proclin 300
    Constituents: 50 % Glycerol, 0.01M PBS, PH 7.4

    储存液

    ProClin

    注意事项

    This product contains ProClin: a POISONOUS AND HAZARDOUS SUBSTANCE which should be handled by trained staff only.

    储存条件

    -20 °C,-80 °C

    储存方法

    Upon receipt, store at -20°C or -80°C. Avoid repeated freeze.
  • 抗原

    MAML1 (Mastermind-Like 1 (MAML1))

    别名

    MAML1

    背景

    Background: Acts as a transcriptional coactivator for NOTCH proteins. Has been shown to amplify NOTCH-induced transcription of HES1. Enhances phosphorylation and proteolytic turnover of the NOTCH intracellular domain in the nucleus through interaction with CDK8. Binds to CREBBP/CBP which promotes nucleosome acetylation at NOTCH enhancers and activates transcription. Induces phosphorylation and localization of CREBBP to nuclear foci. Plays a role in hematopoietic development by regulating NOTCH-mediated lymphoid cell fate decisions.

    Aliases: Mam-1 antibody, Mam1 antibody, MAML 1 antibody, Maml1 antibody, MAML1_HUMAN antibody, Mastermind like 1 antibody, Mastermind-like protein 1 antibody

    UniProt

    Q92585

    途径

    Notch Signaling, Regulation of Muscle Cell Differentiation, Skeletal Muscle Fiber Development
You are here: