电话:
+86 (0512) 65829739
传真:
+86 (010) 6788 5057
电子邮件:
orders@antibodies-online.cn

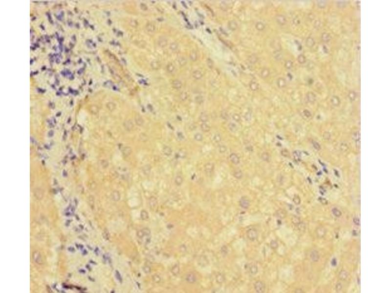
KDM1B 抗体 (AA 451-544)

This 兔 多克隆 antibody specifically detects KDM1B in ELISA 和 IHC. It exhibits reactivity toward 人.
产品编号 ABIN7158728
发货至: 中国
Contact our Customer Service for availability and price in your country. Contact Info

Our Local Distributor

中国
北京 101111
No. 88 KeChuang 6th Street
Beijing Economic Technological Development Area
Room 801-803
4A Biotech Co.,Ltd.
Tel +86 (0512) 65829739 传真 +86 (010) 6788 5057

Quick Overview for KDM1B 抗体 (AA 451-544) (ABIN7158728)

抗原

See all KDM1B 抗体
KDM1B (Lysine (K)-Specific Demethylase 1B (KDM1B))

适用

  • 45
  • 32
  • 27
  • 2
  • 2
  • 2
  • 2
  • 2
  • 1
  • 1
  • 1

宿主

  • 52
  • 9

克隆类型

  • 36
  • 25
多克隆

标记

  • 22
  • 5
  • 4
  • 3
  • 2
  • 2
  • 2
  • 2
  • 2
  • 2
  • 1
  • 1
  • 1
  • 1
  • 1
  • 1
  • 1
  • 1
  • 1
  • 1
  • 1
  • 1
  • 1
  • 1
  • 1
This KDM1B antibody is un-conjugated

应用范围

  • 34
  • 21
  • 19
  • 13
  • 13
  • 13
  • 11
  • 11
  • 8
  • 4
  • 3
  • 1
ELISA, Immunohistochemistry (IHC)
  • 抗原表位

    • 15
    • 8
    • 6
    • 4
    • 2
    • 2
    • 1
    • 1
    • 1
    AA 451-544

    原理

    KDM1B Antibody

    纯化方法

    Protein G purified

    纯度

    >95 %

    免疫原

    Recombinant Human Lysine-specific histone demethylase 1B protein (451-544AA)

    亚型

    IgG
  • 应用备注

    Optimal working dilution should be determined by the investigator.

    限制

    仅限研究用
  • 状态

    Liquid

    缓冲液

    Preservative: 0.03 % Proclin 300
    Constituents: 50 % Glycerol, 0.01M PBS, PH 7.4

    储存液

    ProClin

    注意事项

    This product contains ProClin: a POISONOUS AND HAZARDOUS SUBSTANCE which should be handled by trained staff only.

    储存条件

    -20 °C,-80 °C

    储存方法

    Upon receipt, store at -20°C or -80°C. Avoid repeated freeze.
  • 抗原

    KDM1B (Lysine (K)-Specific Demethylase 1B (KDM1B))

    别名

    KDM1B

    背景

    Background: Histone demethylase that demethylates \'Lys-4\' of histone H3, a specific tag for epigenetic transcriptional activation, thereby acting as a corepressor. Required for de novo DNA methylation of a subset of imprinted genes during oogenesis. Acts by oxidizing the substrate by FAD to generate the corresponding imine that is subsequently hydrolyzed. Demethylates both mono- and di-methylated \'Lys-4\' of histone H3. Has no effect on tri-methylated \'Lys-4\', mono-, di- or tri-methylated \'Lys-9\', mono-, di- or tri-methylated \'Lys-27\', mono-, di- or tri-methylated \'Lys-36\' of histone H3, or on mono-, di- or tri-methylated \'Lys-20\' of histone H4 (By similarity).

    Aliases: amine oxidase (flavin containing) domain 1 antibody, amine oxidase, flavin containing 1 antibody, AOF1 antibody, bA204B7.3 antibody, C6orf193 antibody, dJ298J15.2 antibody, Flavin-containing amine oxidase domain-containing protein 1 antibody, FLJ33898 antibody, FLJ34109 antibody, FLJ43328 antibody, KDM1B antibody, KDM1B_HUMAN antibody, LSD2 antibody, lysine (K)-specific demethylase 1B antibody, Lysine-specific demethylase 2 antibody, Lysine-specific histone demethylase 1B antibody, Lysine-specific histone demethylase 2 antibody

    UniProt

    Q8NB78

    途径

    Warburg Effect
You are here: