电话:
+86 (0512) 65829739
传真:
+86 (010) 6788 5057
电子邮件:
orders@antibodies-online.cn

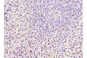
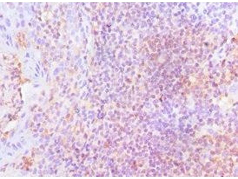
LSP1 抗体 (AA 1-339)

The 兔 多克隆 anti-LSP1 antibody (ABIN7158655) specifically detects LSP1 in IHC 和 ELISA. The antibody is reactive with 人 samples.
产品编号 ABIN7158655
发货至: 中国
Contact our Customer Service for availability and price in your country. Contact Info

Our Local Distributor

中国
北京 101111
No. 88 KeChuang 6th Street
Beijing Economic Technological Development Area
Room 801-803
4A Biotech Co.,Ltd.
Tel +86 (0512) 65829739 传真 +86 (010) 6788 5057

Quick Overview for LSP1 抗体 (AA 1-339) (ABIN7158655)

抗原

See all LSP1 抗体
LSP1 (Lymphocyte-Specific Protein 1 (LSP1))

适用

  • 112
  • 57
  • 25
  • 6
  • 4
  • 4
  • 1

宿主

  • 94
  • 18
  • 2
  • 1

克隆类型

  • 79
  • 36
多克隆

标记

  • 39
  • 7
  • 4
  • 4
  • 3
  • 3
  • 3
  • 3
  • 3
  • 3
  • 3
  • 3
  • 3
  • 3
  • 3
  • 3
  • 2
  • 2
  • 2
  • 2
  • 2
  • 2
  • 1
  • 1
  • 1
  • 1
  • 1
  • 1
  • 1
  • 1
  • 1
  • 1
  • 1
  • 1
  • 1
This LSP1 antibody is un-conjugated

应用范围

  • 93
  • 39
  • 39
  • 36
  • 26
  • 16
  • 15
  • 14
  • 11
  • 10
  • 9
  • 4
  • 2
  • 1
  • 1
  • 1
Immunohistochemistry (IHC), ELISA
  • 抗原表位

    • 19
    • 16
    • 15
    • 14
    • 7
    • 2
    • 2
    • 2
    • 2
    • 1
    • 1
    • 1
    • 1
    • 1
    • 1
    • 1
    • 1
    • 1
    • 1
    • 1
    • 1
    AA 1-339

    原理

    LSP1 Antibody

    纯化方法

    Antigen Affinity Purified

    免疫原

    Recombinant Human Lymphocyte-specific protein 1 protein (1-339AA)

    亚型

    IgG
  • 应用备注

    Optimal working dilution should be determined by the investigator.

    限制

    仅限研究用
  • 状态

    Liquid

    缓冲液

    PBS with 0.02 % sodium azide, 50 % glycerol, pH 7.3.

    储存液

    Sodium azide

    注意事项

    This product contains Sodium azide: a POISONOUS AND HAZARDOUS SUBSTANCE which should be handled by trained staff only.

    储存条件

    -20 °C,-80 °C

    储存方法

    Upon receipt, store at -20°C or -80°C. Avoid repeated freeze.
  • 抗原

    LSP1 (Lymphocyte-Specific Protein 1 (LSP1))

    别名

    LSP1

    背景

    Background: May play a role in mediating neutrophil activation and chemotaxis.

    Aliases: 47 kDa actin binding protein antibody, 47 kDa actin-binding protein antibody, 52 kDa phosphoprotein antibody, F actin binding and cytoskeleton associated protein antibody, Leufactin (leukocyte F-actin binding protein) antibody, Leufactin antibody, Leukocyte F actin binding protein antibody, Leukocyte specific protein 1 antibody, LSP 1 antibody, Lsp1 antibody, LSP1_HUMAN antibody, Lymphocyte specific antigen WP34 antibody, Lymphocyte specific protein 1 antibody, Lymphocyte specific protein pp52 antibody, Lymphocyte-specific antigen WP34 antibody, Lymphocyte-specific protein 1 antibody, OTTHUMP00000014138 antibody, OTTHUMP00000014139 antibody, OTTHUMP00000014140 antibody, OTTHUMP00000069612 antibody, OTTHUMP00000069614 antibody, OTTHUMP00000069615 antibody, OTTHUMP00000069616 antibody, pp52 antibody, Protein pp52 antibody, S37 protein antibody, WP 34 antibody, WP34 antibody

    UniProt

    P33241
You are here: