电话:
+86 (0512) 65829739
传真:
+86 (010) 6788 5057
电子邮件:
orders@antibodies-online.cn

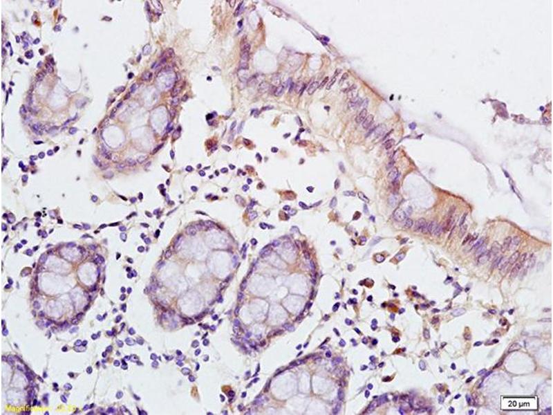
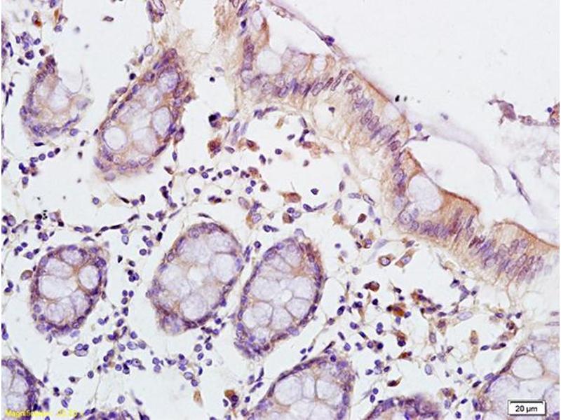
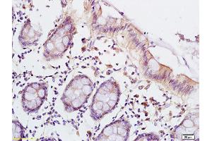
LSP1 抗体 (AA 241-339)

This 兔 多克隆 antibody specifically detects LSP1 in WB, ELISA, IF (p), IF (cc), IHC (p) 和 IHC (fro). It exhibits reactivity toward 人 和 小鼠.
产品编号 ABIN755632
发货至: 中国
Contact our Customer Service for availability and price in your country. Contact Info

Our Local Distributor

中国
北京 101111
No. 88 KeChuang 6th Street
Beijing Economic Technological Development Area
Room 801-803
4A Biotech Co.,Ltd.
Tel +86 (0512) 65829739 传真 +86 (010) 6788 5057

Quick Overview for LSP1 抗体 (AA 241-339) (ABIN755632)

抗原

See all LSP1 抗体
LSP1 (Lymphocyte-Specific Protein 1 (LSP1))

适用

  • 112
  • 56
  • 25
  • 6
  • 4
  • 4
  • 1
人, 小鼠

宿主

  • 94
  • 18
  • 2
  • 1

克隆类型

  • 79
  • 36
多克隆

标记

  • 39
  • 7
  • 4
  • 4
  • 3
  • 3
  • 3
  • 3
  • 3
  • 3
  • 3
  • 3
  • 3
  • 3
  • 3
  • 3
  • 2
  • 2
  • 2
  • 2
  • 2
  • 2
  • 1
  • 1
  • 1
  • 1
  • 1
  • 1
  • 1
  • 1
  • 1
  • 1
  • 1
  • 1
  • 1
This LSP1 antibody is un-conjugated

应用范围

  • 92
  • 38
  • 38
  • 37
  • 26
  • 15
  • 15
  • 14
  • 11
  • 10
  • 8
  • 4
  • 2
  • 1
  • 1
  • 1
Western Blotting (WB), ELISA, Immunofluorescence (Paraffin-embedded Sections) (IF (p)), Immunofluorescence (Cultured Cells) (IF (cc)), Immunohistochemistry (Paraffin-embedded Sections) (IHC (p)), Immunohistochemistry (Frozen Sections) (IHC (fro))
  • 抗原表位

    • 19
    • 16
    • 14
    • 14
    • 7
    • 3
    • 2
    • 2
    • 2
    • 1
    • 1
    • 1
    • 1
    • 1
    • 1
    • 1
    • 1
    • 1
    • 1
    • 1
    • 1
    AA 241-339

    交叉反应

    人, 小鼠

    预测反应

    Rat,Dog

    纯化方法

    Purified by Protein A.

    免疫原

    KLH conjugated synthetic peptide derived from human LSP1

    亚型

    IgG
  • 应用备注

    WB 1:300-5000
    ELISA 1:500-1000
    IHC-P 1:200-400
    IHC-F 1:100-500
    IF(IHC-P) 1:50-200
    IF(IHC-F) 1:50-200
    IF(ICC) 1:50-200

    限制

    仅限研究用
  • 状态

    Liquid

    浓度

    1 μg/μL

    缓冲液

    0.01M TBS( pH 7.4) with 1 % BSA, 0.02 % Proclin300 and 50 % Glycerol.

    储存液

    ProClin

    注意事项

    This product contains ProClin: a POISONOUS AND HAZARDOUS SUBSTANCE, which should be handled by trained staff only.

    储存条件

    4 °C,-20 °C

    储存方法

    Shipped at 4°C. Store at -20°C for one year. Avoid repeated freeze/thaw cycles.

    有效期

    12 months
  • 抗原

    LSP1 (Lymphocyte-Specific Protein 1 (LSP1))

    别名

    LSP1

    背景

    Synonyms: WP34, pp52, Lymphocyte-specific protein 1, 47 kDa actin-binding protein, 52 kDa phosphoprotein, Lymphocyte-specific antigen WP34, LSP1

    Background: May play a role in mediating neutrophil activation and chemotaxis. This gene encodes an intracellular F-actin binding protein. The protein is expressed in lymphocytes, neutrophils, macrophages, and endothelium and may regulate neutrophil motility, adhesion to fibrinogen matrix proteins, and transendothelial migration. Alternative splicing results in multiple transcript variants encoding different isoforms. [provided by RefSeq, Jul 2008]

    基因ID

    4046

    UniProt

    P33241
You are here: