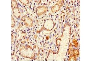
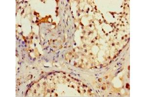
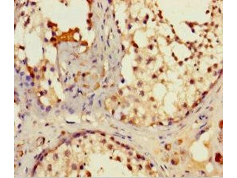
IFT80 抗体 (AA 1-268)
Our Local Distributor
北京 101111
Quick Overview for IFT80 抗体 (AA 1-268) (ABIN7157004)
抗原
See all IFT80 抗体适用
宿主
克隆类型
标记
应用范围
-
-
抗原表位
- AA 1-268
-
原理
- IFT80 Antibody
-
纯化方法
- Protein G purified
-
纯度
- >95 %
-
免疫原
- Recombinant Human Intraflagellar transport protein 80 homolog protein (1-268AA)
-
亚型
- IgG
-
-
-
-
应用备注
- Optimal working dilution should be determined by the investigator.
-
限制
- 仅限研究用
-
-
-
状态
- Liquid
-
缓冲液
-
Preservative: 0.03 % Proclin 300
Constituents: 50 % Glycerol, 0.01M PBS, PH 7.4 -
储存液
- ProClin
-
注意事项
- This product contains ProClin: a POISONOUS AND HAZARDOUS SUBSTANCE which should be handled by trained staff only.
-
储存条件
- -20 °C,-80 °C
-
储存方法
- Upon receipt, store at -20°C or -80°C. Avoid repeated freeze.
-
-
- IFT80 (Intraflagellar Transport 80 Homolog (IFT80))
-
别名
- IFT80
-
背景
-
Background: Component of the intraflagellar transport (IFT) complex B, which is essential for the development and maintenance of motile and sensory cilia.
Aliases: ATD2 antibody, Ift80 antibody, IFT80_HUMAN antibody, Intraflagellar transport 80 homolog (Chlamydomonas) antibody, Intraflagellar transport protein 80 homolog antibody, KIAA1374 antibody, WD repeat domain 56 antibody, WD repeat-containing protein 56 antibody, WDR56 antibody
-
UniProt
- Q9P2H3
-
途径
- Hedgehog Signaling
抗原
-