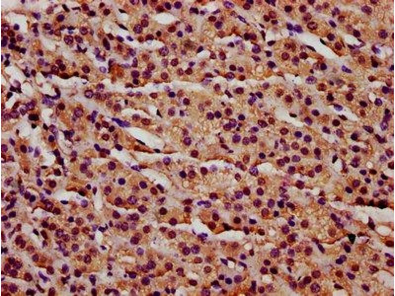
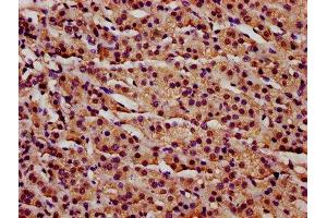
IFT140 抗体 (AA 1291-1462)
Our Local Distributor
北京 101111
Quick Overview for IFT140 抗体 (AA 1291-1462) (ABIN7156969)
抗原
See all IFT140 抗体适用
宿主
克隆类型
标记
应用范围
-
-
抗原表位
- AA 1291-1462
-
原理
- IFT140 Antibody
-
纯化方法
- Protein G purified
-
纯度
- >95 %
-
免疫原
- Recombinant Human Intraflagellar transport protein 140 homolog protein (1291-1462AA)
-
亚型
- IgG
-
-
-
-
应用备注
- Optimal working dilution should be determined by the investigator.
-
限制
- 仅限研究用
-
-
-
状态
- Liquid
-
缓冲液
-
Preservative: 0.03 % Proclin 300
Constituents: 50 % Glycerol, 0.01M PBS, pH 7.4 -
储存液
- ProClin
-
注意事项
- This product contains ProClin: a POISONOUS AND HAZARDOUS SUBSTANCE which should be handled by trained staff only.
-
储存条件
- -20 °C,-80 °C
-
储存方法
- Upon receipt, store at -20°C or -80°C. Avoid repeated freeze.
-
-
- IFT140 (Intraflagellar Transport 140 Homolog (IFT140))
-
别名
- IFT140
-
背景
-
Background: Component of the IFT complex A (IFT-A), a complex required for retrograde ciliary transport. Plays a pivotal role in proper development and function of ciliated cells. Involved in ciliogenesis and cilia maintenance (PubMed:22503633). May play a role in ciliary assembly. Required for the development and maintenance of the outer segments of rod and cone photoreceptor cells. Plays a role in maintenance and the delivery of opsin to the outer segment of photoreceptor cells (By similarity).
Aliases: IFT140 antibody, KIAA0590 antibody, WDTC2 antibody, Intraflagellar transport protein 140 homolog antibody, WD and tetratricopeptide repeats protein 2 antibody
-
UniProt
- Q96RY7
-
途径
- Hedgehog Signaling
抗原
-