电话:
+86 (0512) 65829739
传真:
+86 (010) 6788 5057
电子邮件:
orders@antibodies-online.cn

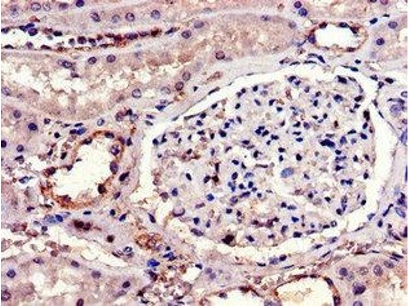
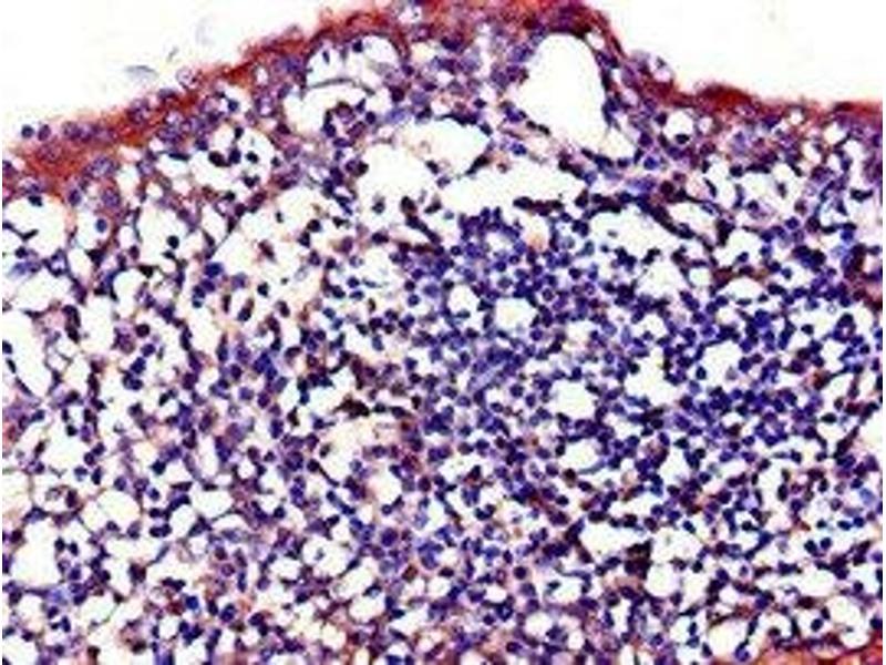
IL23R 抗体 (AA 15-125)

The 兔 多克隆 anti-IL23R antibody (ABIN7156864) specifically detects IL23R in WB, ELISA, IHC 和 IF. The antibody is reactive with 人 samples.
产品编号 ABIN7156864
发货至: 中国
Contact our Customer Service for availability and price in your country. Contact Info

Our Local Distributor

中国
北京 101111
No. 88 KeChuang 6th Street
Beijing Economic Technological Development Area
Room 801-803
4A Biotech Co.,Ltd.
Tel +86 (0512) 65829739 传真 +86 (010) 6788 5057

Quick Overview for IL23R 抗体 (AA 15-125) (ABIN7156864)

抗原

See all IL23R 抗体
IL23R (Interleukin 23 Receptor (IL23R))

适用

  • 48
  • 24
  • 16
  • 1

宿主

  • 45
  • 6
  • 4
  • 3
  • 1

克隆类型

  • 49
  • 10
多克隆

标记

  • 33
  • 4
  • 3
  • 3
  • 2
  • 2
  • 2
  • 2
  • 2
  • 2
  • 2
  • 1
  • 1
This IL23R antibody is un-conjugated

应用范围

  • 37
  • 20
  • 13
  • 4
  • 4
  • 3
  • 3
  • 3
  • 2
  • 1
  • 1
  • 1
  • 1
  • 1
Western Blotting (WB), ELISA, Immunohistochemistry (IHC), Immunofluorescence (IF)
  • 抗原表位

    • 8
    • 5
    • 4
    • 3
    • 3
    • 2
    • 2
    • 1
    • 1
    • 1
    • 1
    • 1
    • 1
    • 1
    • 1
    • 1
    • 1
    • 1
    • 1
    AA 15-125

    原理

    IL23R Antibody

    交叉反应

    小鼠

    纯化方法

    Protein G purified

    纯度

    >95 %

    免疫原

    Recombinant Human Interleukin-23 receptor protein (15-125AA)

    亚型

    IgG
  • 应用备注

    Optimal working dilution should be determined by the investigator.

    限制

    仅限研究用
  • 状态

    Liquid

    缓冲液

    Preservative: 0.03 % Proclin 300
    Constituents: 50 % Glycerol, 0.01M PBS, PH 7.4

    储存液

    ProClin

    注意事项

    This product contains ProClin: a POISONOUS AND HAZARDOUS SUBSTANCE which should be handled by trained staff only.

    储存条件

    -20 °C,-80 °C

    储存方法

    Upon receipt, store at -20°C or -80°C. Avoid repeated freeze.
  • 抗原

    IL23R (Interleukin 23 Receptor (IL23R))

    别名

    IL23R

    背景

    Background: Associates with IL12RB1 to form the interleukin-23 receptor. Binds IL23 and mediates T-cells, NK cells and possibly certain macrophage/myeloid cells stimulation probably through activation of the Jak-Stat signaling cascade. IL23 functions in innate and adaptive immunity and may participate in acute response to infection in peripheral tissues. IL23 may be responsible for autoimmune inflammatory diseases and be important for tumorigenesis.

    Aliases: IL 23R antibody, IL-23 receptor antibody, IL-23R antibody, IL23 Receptor antibody, Il23r antibody, IL23R_HUMAN antibody, Interleukin 23 receptor antibody, Interleukin-23 receptor antibody

    UniProt

    Q5VWK5

    途径

    Regulation of Leukocyte Mediated Immunity, Positive Regulation of Immune Effector Process, Activated T Cell Proliferation
You are here: