IL23R 抗体
Our Local Distributor
北京 101111
Quick Overview for IL23R 抗体 (ABIN7074355)
抗原
See all IL23R 抗体适用
宿主
克隆类型
标记
应用范围
-
-
交叉反应
- 大鼠
-
纯化方法
- Affinity purification
-
免疫原
- KLH conjugated Synthetic peptide corresponding to Mouse IL-23R
-
-
-
-
应用备注
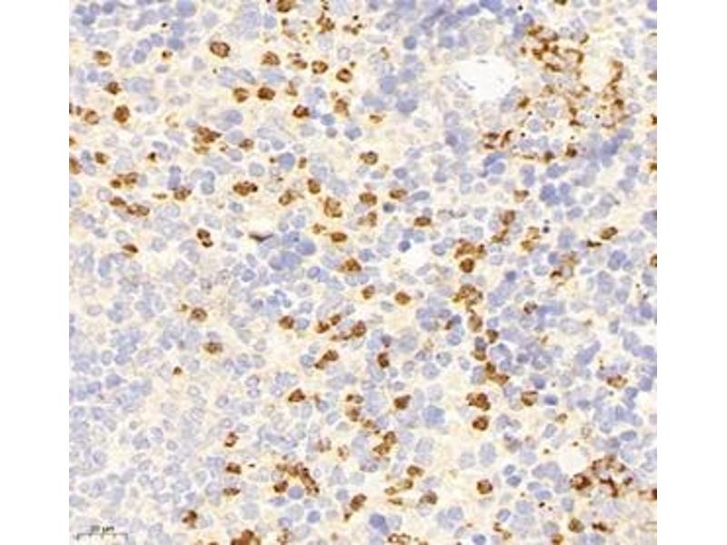
- IHC/IF (M,R) 1:200-1:400/1:100-1:400
-
限制
- 仅限研究用
-
-
-
状态
- Liquid
-
缓冲液
- PBS, pH 7.4, 0.02 % sodium azide
-
储存液
- Sodium azide
-
注意事项
- This product contains Sodium azide: a POISONOUS AND HAZARDOUS SUBSTANCE which should be handled by trained staff only.
-
储存条件
- -20 °C
-
-
- IL23R (Interleukin 23 Receptor (IL23R))
-
别名
- IL-23R
-
背景
- Interleukin-23 receptor is a type I cytokine receptor which is a subunit of the receptor for IL-23. This protein pairs with the receptor molecule IL-12Rβ1 (IL12RB1), together forming the IL-23 receptor complex, and both are required for IL-23 signaling. This protein associates constitutively with Janus kinase 2 (JAK2), and also binds to transcription activator STAT3 in a ligand-dependent manner.
-
基因ID
- 209590
-
NCBI登录号
- NP_653131
-
UniProt
- Q8K4B4
-
途径
- Regulation of Leukocyte Mediated Immunity, Positive Regulation of Immune Effector Process, Activated T Cell Proliferation
抗原
-