电话:
+86 (0512) 65829739
传真:
+86 (010) 6788 5057
电子邮件:
orders@antibodies-online.cn

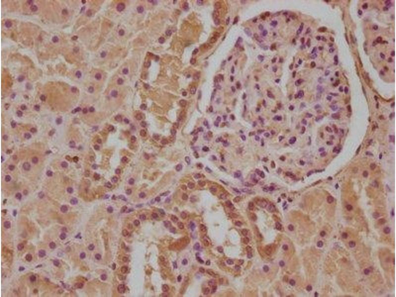
IL13 Receptor alpha 1 抗体 (AA 22-234)

This 兔 多克隆 antibody specifically detects IL13 Receptor alpha 1 in IHC, ELISA 和 IF. It exhibits reactivity toward 人.
产品编号 ABIN7156793
发货至: 中国
Contact our Customer Service for availability and price in your country. Contact Info

Our Local Distributor

中国
北京 101111
No. 88 KeChuang 6th Street
Beijing Economic Technological Development Area
Room 801-803
4A Biotech Co.,Ltd.
Tel +86 (0512) 65829739 传真 +86 (010) 6788 5057

Quick Overview for IL13 Receptor alpha 1 抗体 (AA 22-234) (ABIN7156793)

抗原

See all IL13 Receptor alpha 1 (IL13RA1) 抗体
IL13 Receptor alpha 1 (IL13RA1) (Interleukin 13 Receptor, alpha 1 (IL13RA1))

适用

  • 81
  • 18
  • 9
  • 2
  • 2
  • 1
  • 1
  • 1
  • 1
  • 1
  • 1

宿主

  • 64
  • 13
  • 9

克隆类型

  • 54
  • 32
多克隆

标记

  • 49
  • 12
  • 4
  • 3
  • 2
  • 2
  • 2
  • 2
  • 2
  • 2
  • 2
  • 2
  • 2
This IL13 Receptor alpha 1 antibody is un-conjugated

应用范围

  • 49
  • 27
  • 17
  • 13
  • 12
  • 9
  • 7
  • 4
  • 3
  • 3
  • 2
  • 2
  • 2
  • 2
  • 1
  • 1
  • 1
  • 1
Immunohistochemistry (IHC), ELISA, Immunofluorescence (IF)
  • 抗原表位

    • 8
    • 5
    • 3
    • 3
    • 3
    • 3
    • 3
    • 3
    • 2
    • 2
    • 2
    • 2
    • 2
    • 2
    • 1
    • 1
    • 1
    • 1
    • 1
    • 1
    • 1
    • 1
    AA 22-234

    原理

    IL13RA1 Antibody

    纯化方法

    Antigen Affinity Purified

    免疫原

    Recombinant Human Interleukin-13 receptor subunit alpha-1 protein (22-234AA)

    亚型

    IgG
  • 应用备注

    Optimal working dilution should be determined by the investigator.

    限制

    仅限研究用
  • 状态

    Liquid

    缓冲液

    Preservative: 0.03 % Proclin 300
    Constituents: 50 % Glycerol, 0.01M PBS, pH 7.4

    储存液

    ProClin

    注意事项

    This product contains ProClin: a POISONOUS AND HAZARDOUS SUBSTANCE which should be handled by trained staff only.

    储存条件

    -20 °C,-80 °C

    储存方法

    Upon receipt, store at -20°C or -80°C. Avoid repeated freeze.
  • 抗原

    IL13 Receptor alpha 1 (IL13RA1) (Interleukin 13 Receptor, alpha 1 (IL13RA1))

    别名

    IL13RA1

    背景

    Background: Binds with low affinity to interleukin-13 (IL13). Together with IL4RA can form a functional receptor for IL13. Also serves as an alternate accessory protein to the common cytokine receptor gamma chain for interleukin-4 (IL4) signaling, but cannot replace the function of IL2RG in allowing enhanced interleukin-2 (IL2) binding activity.

    Aliases: bB128O4.2.1 (interleukin 13 receptor, alpha 1) antibody, Cancer/testis antigen 19 antibody, CD213a1 antibody, CD213A1 Antigen antibody, CT 19 antibody, CT19 antibody, I13R1_HUMAN antibody, IL 13 receptor subunit alpha 1 antibody, IL 13R alpha 1 antibody, IL 13R subunit alpha 1 antibody, IL 13Ra antibody, IL 13RA1 antibody, IL-13 receptor subunit alpha-1 antibody, IL-13R subunit alpha-1 antibody, IL-13R-alpha-1 antibody, IL-13RA1 antibody, IL13 receptor alpha 1 chain antibody, IL13R antibody, IL13RA antibody, Il13ra1 antibody, Interleukin 13 receptor alpha 1 antibody, Interleukin 13 receptor alpha 1 chain antibody, interleukin 13 receptor subunit alpha 1 antibody, Interleukin-13 receptor subunit alpha-1 antibody, NR 4 antibody, NR4 antibody

    UniProt

    P78552

    途径

    JAK/STAT Signaling, Positive Regulation of Immune Effector Process, Production of Molecular Mediator of Immune Response
You are here: