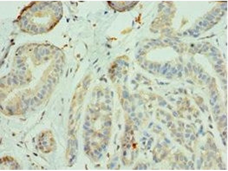
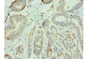
IRS1 抗体 (AA 1-160)
Our Local Distributor
北京 101111
Quick Overview for IRS1 抗体 (AA 1-160) (ABIN7156335)
抗原
See all IRS1 抗体适用
宿主
克隆类型
标记
应用范围
-
-
抗原表位
- AA 1-160
-
原理
- IRS1 Antibody
-
纯化方法
- Antigen Affinity Purified
-
免疫原
- Recombinant Human Insulin receptor substrate 1 protein (1-160AA)
-
亚型
- IgG
-
-
-
-
应用备注
- Optimal working dilution should be determined by the investigator.
-
限制
- 仅限研究用
-
-
-
状态
- Liquid
-
缓冲液
- PBS with 0.02 % sodium azide, 50 % glycerol, pH 7.3.
-
储存液
- Sodium azide
-
注意事项
- This product contains Sodium azide: a POISONOUS AND HAZARDOUS SUBSTANCE which should be handled by trained staff only.
-
储存条件
- -20 °C,-80 °C
-
储存方法
- Upon receipt, store at -20°C or -80°C. Avoid repeated freeze.
-
-
- IRS1 (Insulin Receptor Substrate 1 (IRS1))
-
别名
- IRS1
-
背景
-
Background: May mediate the control of various cellular processes by insulin. When phosphorylated by the insulin receptor binds specifically to various cellular proteins containing SH2 domains such as phosphatidylinositol 3-kinase p85 subunit or GRB2. Activates phosphatidylinositol 3-kinase when bound to the regulatory p85 subunit.
Aliases: HIRS 1 antibody, HIRS1 antibody, Insulin receptor substrate 1 antibody, IRS 1 antibody, IRS-1 antibody, IRS1 antibody, IRS1_HUMAN antibody, OTTHUMP00000164234 antibody
-
UniProt
- P35568
-
途径
- Fc-epsilon Receptor Signaling Pathway, EGFR Signaling Pathway, Neurotrophin Signaling Pathway, Positive Regulation of Peptide Hormone Secretion, Hormone Transport, Negative Regulation of Hormone Secretion, Response to Growth Hormone Stimulus, Carbohydrate Homeostasis, Regulation of Carbohydrate Metabolic Process
抗原
-