电话:
+86 (0512) 65829739
传真:
+86 (010) 6788 5057
电子邮件:
orders@antibodies-online.cn

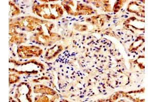
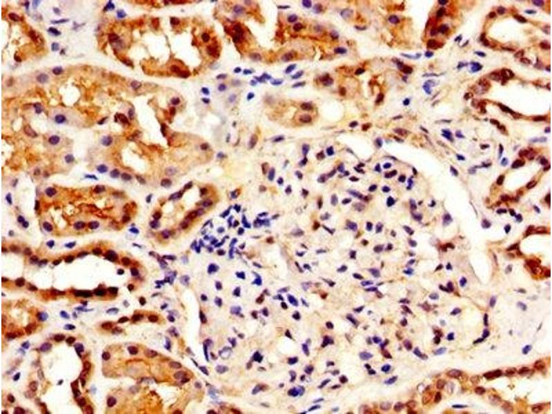
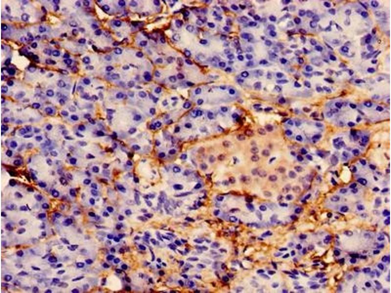
Indian Hedgehog 抗体 (AA 203-411)

The 兔 多克隆 anti-Indian Hedgehog antibody is suitable to detect Indian Hedgehog in samples from 人. It has been validated for ELISA, IHC 和 IF.
产品编号 ABIN7156203
发货至: 中国
Contact our Customer Service for availability and price in your country. Contact Info

Our Local Distributor

中国
北京 101111
No. 88 KeChuang 6th Street
Beijing Economic Technological Development Area
Room 801-803
4A Biotech Co.,Ltd.
Tel +86 (0512) 65829739 传真 +86 (010) 6788 5057

Quick Overview for Indian Hedgehog 抗体 (AA 203-411) (ABIN7156203)

抗原

See all Indian Hedgehog (IHH) 抗体
Indian Hedgehog (IHH)

适用

  • 64
  • 23
  • 21
  • 2
  • 2
  • 1
  • 1
  • 1
  • 1
  • 1
  • 1
  • 1
  • 1
  • 1
  • 1

宿主

  • 73
  • 5
  • 4

克隆类型

  • 71
  • 11
多克隆

标记

  • 37
  • 8
  • 7
  • 6
  • 4
  • 3
  • 1
  • 1
  • 1
  • 1
  • 1
  • 1
  • 1
  • 1
  • 1
  • 1
  • 1
  • 1
  • 1
  • 1
  • 1
  • 1
  • 1
This Indian Hedgehog antibody is un-conjugated

应用范围

  • 53
  • 36
  • 26
  • 13
  • 13
  • 10
  • 8
  • 3
  • 3
  • 2
  • 2
  • 2
ELISA, Immunohistochemistry (IHC), Immunofluorescence (IF)
  • 抗原表位

    • 15
    • 11
    • 8
    • 8
    • 6
    • 4
    • 3
    • 2
    • 2
    • 1
    • 1
    • 1
    • 1
    • 1
    • 1
    • 1
    • 1
    • 1
    • 1
    AA 203-411

    原理

    IHH Antibody

    纯化方法

    Protein G purified

    纯度

    >95 %

    免疫原

    Recombinant Human Indian hedgehog protein (203-411AA)

    亚型

    IgG
  • 应用备注

    Optimal working dilution should be determined by the investigator.

    限制

    仅限研究用
  • 状态

    Liquid

    缓冲液

    Preservative: 0.03 % Proclin 300
    Constituents: 50 % Glycerol, 0.01M PBS, PH 7.4

    储存液

    ProClin

    注意事项

    This product contains ProClin: a POISONOUS AND HAZARDOUS SUBSTANCE which should be handled by trained staff only.

    储存条件

    -20 °C,-80 °C

    储存方法

    Upon receipt, store at -20°C or -80°C. Avoid repeated freeze.
  • 抗原

    Indian Hedgehog (IHH)

    别名

    IHH

    背景

    Background: Intercellular signal essential for a variety of patterning events during development. Binds to the patched (PTC) receptor, which functions in association with smoothened (SMO), to activate the transcription of target genes. Implicated in endochondral ossification: may regulate the balance between growth and ossification of the developing bones. Induces the expression of parathyroid hormone-related protein (PTHRP)

    Aliases: BDA1 antibody, HHG-2 antibody, HHG2 antibody, IHH antibody, IHH_HUMAN antibody, Indian Hedgehog antibody, Indian hedgehog homolog antibody, Indian hedgehog protein antibody, Indian hedgehog protein C-product antibody, Indian hedgehog protein N-product antibody

    UniProt

    Q14623

    途径

    Hedgehog Signaling
You are here: