电话:
+86 (0512) 65829739
传真:
+86 (010) 6788 5057
电子邮件:
orders@antibodies-online.cn

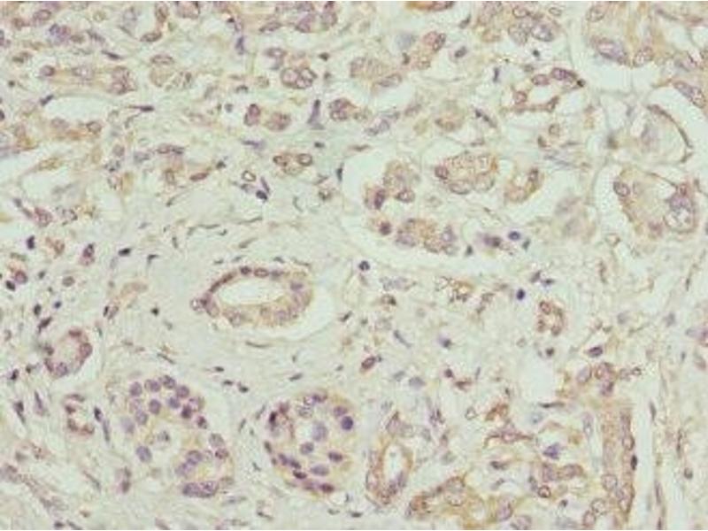
FcRn 抗体 (AA 24-297)

This 兔 多克隆 antibody specifically detects FcRn in WB, ELISA, IHC 和 IF. It exhibits reactivity toward 人.
产品编号 ABIN7156043
发货至: 中国
Contact our Customer Service for availability and price in your country. Contact Info

Our Local Distributor

中国
北京 101111
No. 88 KeChuang 6th Street
Beijing Economic Technological Development Area
Room 801-803
4A Biotech Co.,Ltd.
Tel +86 (0512) 65829739 传真 +86 (010) 6788 5057

Quick Overview for FcRn 抗体 (AA 24-297) (ABIN7156043)

抗原

See all FcRn 抗体
FcRn (neonatal Fc Receptor (FcRn))

适用

  • 66
  • 5
  • 4
  • 1
  • 1
  • 1
  • 1
  • 1
  • 1

宿主

  • 40
  • 18
  • 15
  • 1

克隆类型

  • 40
  • 32
  • 2
多克隆

标记

  • 34
  • 7
  • 6
  • 5
  • 4
  • 3
  • 2
  • 1
  • 1
  • 1
  • 1
  • 1
  • 1
  • 1
  • 1
  • 1
  • 1
  • 1
  • 1
  • 1
This FcRn antibody is un-conjugated

应用范围

  • 28
  • 27
  • 19
  • 10
  • 5
  • 3
  • 2
  • 2
  • 2
  • 2
  • 2
  • 1
  • 1
  • 1
  • 1
  • 1
  • 1
Western Blotting (WB), ELISA, Immunohistochemistry (IHC), Immunofluorescence (IF)
  • 抗原表位

    • 13
    • 12
    • 9
    • 6
    • 3
    • 1
    • 1
    • 1
    • 1
    • 1
    • 1
    AA 24-297

    原理

    FCGRT Antibody

    交叉反应

    小鼠

    纯化方法

    Protein G purified

    纯度

    >95 %

    免疫原

    Recombinant Human IgG receptor FcRn large subunit p51 protein (24-297AA)

    亚型

    IgG
  • 应用备注

    Optimal working dilution should be determined by the investigator.

    限制

    仅限研究用
  • 状态

    Liquid

    缓冲液

    Preservative: 0.03 % Proclin 300
    Constituents: 50 % Glycerol, 0.01M PBS, PH 7.4

    储存液

    ProClin

    注意事项

    This product contains ProClin: a POISONOUS AND HAZARDOUS SUBSTANCE which should be handled by trained staff only.

    储存条件

    -20 °C,-80 °C

    储存方法

    Upon receipt, store at -20°C or -80°C. Avoid repeated freeze.
  • 抗原

    FcRn (neonatal Fc Receptor (FcRn))

    别名

    FCGRT

    背景

    Alpha chain antibody, Fc fragment of IgG, receptor transporter, alpha antibody, FCGRN_HUMAN antibody, FCGRT antibody, FcRn alpha chain antibody, FcRn antibody, FCRN, alpha chain antibody, IgG Fc fragment receptor transporter alpha chain antibody, IgG Gc receptor antibody, IgG receptor FcRn large subunit p51 antibody, IgG receptor FcRn large subunit p51 precursor antibody, Immunoglobulin receptor, intestinal, heavy chain antibody, Neonatal Fc receptor antibody

    UniProt

    P55899

    途径

    Regulation of Leukocyte Mediated Immunity, Positive Regulation of Immune Effector Process
You are here: